18岁女大学生患癌捐赠遗体,脂肪肉瘤究竟离我们多远?
近日,18岁大一女生曹依婷决定捐献遗体和器官一事,感动千万网友。她身患脂肪肉瘤,经历3次手术,6次化疗,25次放疗,在生命的最后一程,做出了这样的选择。
她说眼角膜捐献,
可以让别人替她多看看这世界
她也想捐献心脏,
希望继续感受那种心跳
只有痛得不行,整个人很难受的情况下
她才会哭
她知道最后的结局是什么,依然坦然面对
就想“在”一天,就过好每一天
她请同学加妈妈微信,
拜托以后他们多安慰一下
她拿妈妈的手机去录了很多视频
和妈妈说,“到时候我‘不在’了,你可以看看”
她把各种账号和密码都告诉了妈妈……

主治医生郭晓彤说她的脂肪肉瘤目前暂无特效药,发病率约十万分之一。
对于这种癌症,我们究竟了解多少呢?
01
脂肪肉瘤和脂肪瘤的区别
脂肪肉瘤和脂肪瘤,都跟脂肪有关,一字之差到底有什么区别呢?
脂肪瘤是一种良性肿瘤,不致癌。
它是大量的脂肪细胞堆积形成的肿物,对身体没有危害。我们有时触碰皮肤,感觉到的柔软凸起可能就是脂肪瘤。它们一般会出现在手臂、大腿等部位。脂肪瘤通常无痛感。
而脂肪肉瘤却是一种恶性肿瘤,会致癌。
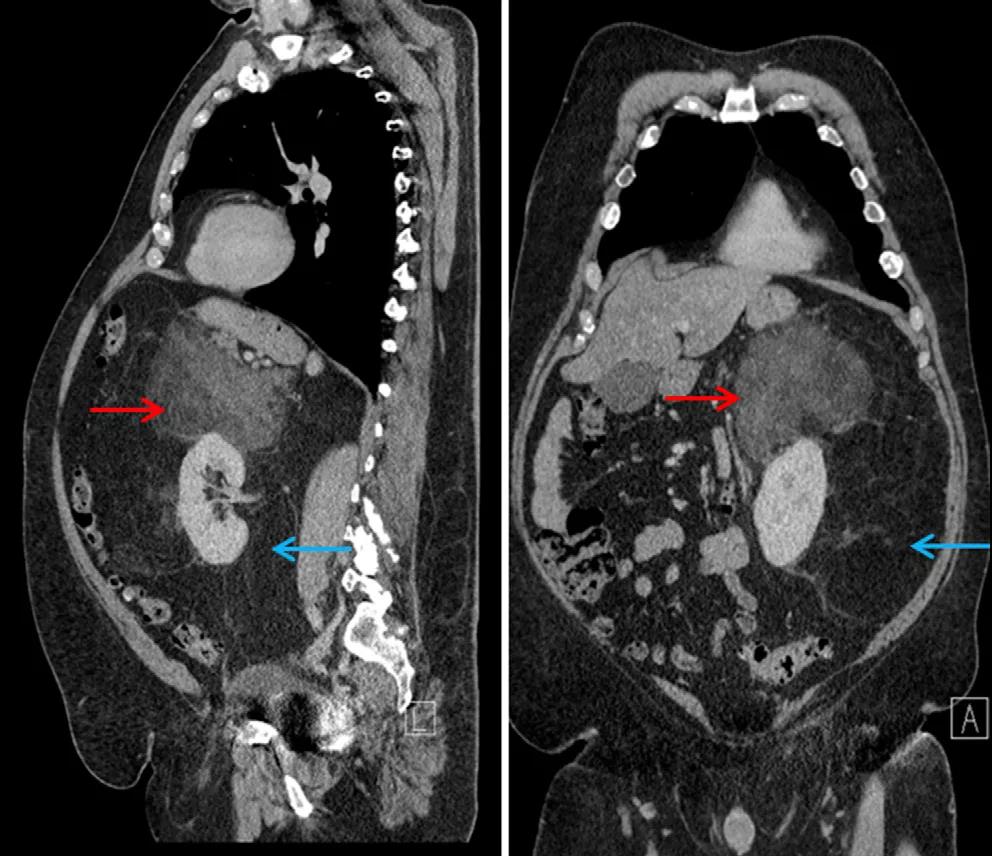
它是由脂肪细胞异常增生导致的,属于软组织肉瘤的一种,可发生在身体的各种脂肪组织,但在腹膜后或者大腿内侧更为常见。脂肪肉瘤会藏的很深,刚开始摸不到。但是长大后变得较硬。
脂肪肉瘤要比脂肪瘤硬,通常只长一个。脂肪肉瘤在早期没有外在表现,我们触摸皮肤可能感受不到异常,除非晚期某些部位会出现疼痛感。
02
脂肪肉瘤的病因和分类
导致脂肪肉瘤的主要因素尚不明确,主要是遗传因素,例如染色体易位、基因融合,创伤、辐射等。
脂肪肉瘤主要有4种类型:高分化脂肪肉瘤、去分化脂肪肉瘤、黏液状脂肪肉瘤和多形型脂肪肉瘤,它们四兄弟的攻击部位、杀伤力、对化疗和放疗的敏感性各有不同。
高分化脂肪肉瘤:通常发生在腹膜后或近端出现缓慢增长的肿块,占脂肪肉瘤的50%。通常恶性程度低,一般不会转移,完全切除后预后良好。发生在腹膜后,纵隔或睾丸旁区域时,局部复发更为常见,对化疗和放疗不敏感。

去分化脂肪肉瘤:较罕见,具有高度侵袭性,通常发生在腹膜后。
黏液状脂肪肉瘤:较为常见,占脂肪肉瘤的30%,超过90%的患者是由染色体易位形成融合蛋白而导致的。对化疗和放疗较敏感。

多形型脂肪肉瘤:较罕见,多在四肢出现,躯干或腹膜后出现较少。
03
脂肪肉瘤的症状
脂肪肉瘤可发生在任何年龄段,一般在40-60岁的成人中较为高发。
一开始可能会无症状,但随着肿块的增大会出现压迫症状,如腹痛、呼吸困难、排尿时疼痛等。且在不同部位的症状也有所差别。
例如:生长在腹膜后的脂肪肉瘤通常会导致体重减轻、消瘦和腹痛,并且可能由于压迫肾脏与输尿管而导致肾衰竭。
生长在腿部的脂肪肉瘤会导致皮肤下出现肿块,疼痛肿胀,肢体无力。
04
脂肪肉瘤的症状
如果出现上述症状,一定要及时就医。
目前的诊断方法一般是通过影像学检查如X射线、CT扫描和MRI(磁共振成像)确定肉瘤的大小和发展程度,其次是通过活检、荧光原位杂交和分子遗传学方法等确定癌细胞类型,并制定相应的诊疗方案。
脂肪肉瘤的治疗可用手术、放射、化疗、靶向药物治疗等。
手术切除:手术的目的是去除所有癌细胞。医生一般会清除整个脂肪肉瘤。如果肿瘤累及附近器官,医生可能会建议其他治疗方法来缩小脂肪肉瘤,使其在手术过程中更容易去除。
放射治疗:放射疗法使用强大的能量束(例如X射线和质子)杀死癌细胞。手术后使用放射治疗有助于杀死残留的癌细胞,防止复发。医生也会在手术前使用放射疗法使肿瘤缩小,以便切除整个肿瘤。
化学疗法:化学药物可以杀死癌细胞,但并非所有类型的脂肪肉瘤都对化疗药物敏感。手术后可使用化学疗法杀死任何残留的癌细胞,或在手术前缩小肿瘤。化学疗法有时与放射疗法结合。
靶向药物治疗:随着精准医学在肿瘤检测及诊断治疗的广泛应用,对脂肪肉瘤的靶向用药和免疫治疗也在不断进展。2019年发布的《CSCO软组织肉瘤诊疗指南》推荐CDK4/6抑制剂哌柏西利(Palbociclib)获用于腹膜后的高分化和去分化脂肪肉瘤患者。
脂肪肉瘤的预后根据其不同类型有所差异,多形型、高分化、黏液状脂肪肉瘤五年存活率在50%以上。
05
胖子易患脂肪肉瘤或者脂肪瘤吗?
虽然脂肪肉瘤和脂肪瘤都与脂肪细胞有关,但它们与肥胖确实没有关系。
脂肪瘤是局部的脂肪组织堆积,与全身肥胖无关。而脂肪肉瘤的致病因素还不明确,可能与遗传、辐射、创伤等有关。
虽然和胖瘦无关,但是我们还是要在平时注意健康饮食,远离致癌因素,有一个健康的体魄,如果出现异常及时到医院就诊,以免错过最佳治疗时机。
参考文献
1.Lee, A.T.J. et al. Clinical and Molecular Spectrum of Liposarcoma. J Clin Oncol.2018. 36(2): p. 151-159.
2.Crozat, A. et al. Fusion of CHOP to a novel RNA-binding protein in human myxoid liposarcoma. Nature, 1993. 363(6430): p. 640-4.
3.Available.from: https://www.medicinenet.com/liposarcoma/article.htm.