剧烈运动后,一侧面部潮红,对侧少汗……据说只有 1% 的肿瘤医生知道这种病
2015 年 BMJ 杂志将一位剧烈运动后一侧面部潮红、对侧少汗的 28 岁女性带入我们的视野。
这是什么病?
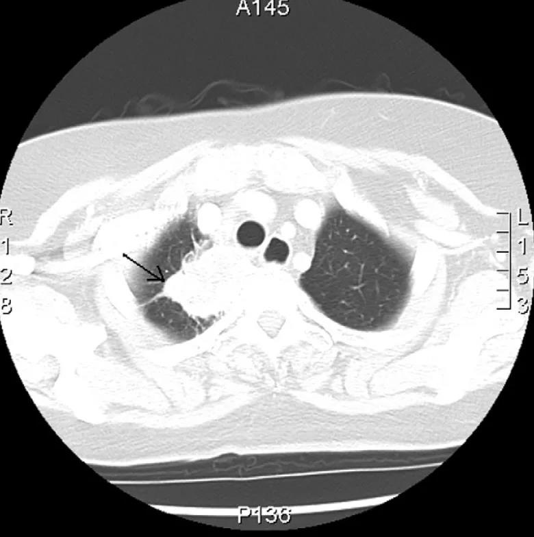
该女性患者无呼吸系统症状,因拍摄胸片偶然发现「右肺尖」不明占位,才引发患者就诊求医。随后进行的 MRI 提示右肺尖神经鞘肿瘤,手术切除后的组织学病理证实是雪旺氏细胞瘤(Schwannoma)。术后患者的症状显著缓解 [1]。

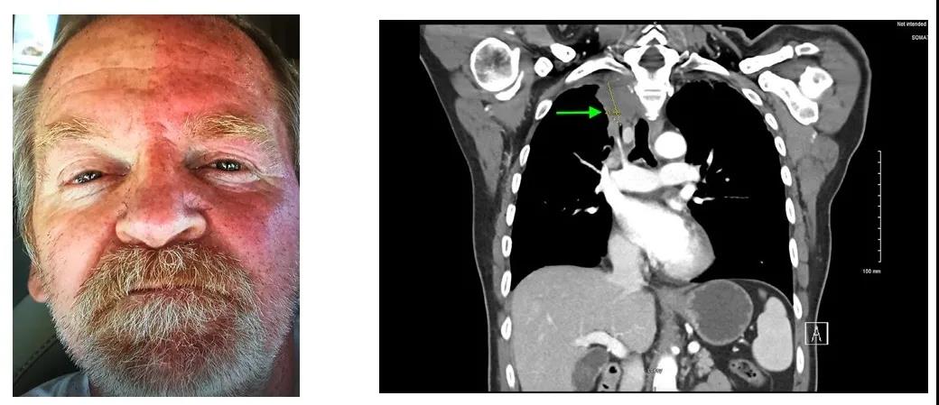
无独有偶,2020 年 Current Problems in Cancer 杂志上另一位体力劳动后仅一侧面部出汗和潮红的 59 岁男性再一次进入我们的眼球。同时患者也有右侧上睑下垂和瞳孔缩小。胸部 CT 提示「从中作梗」的同样是右肺尖的不明占位——4.1 cm 的占位性病变且延至 T2/T3 神经孔,后期活检证实为肺腺癌 [2]。

这种不太为人所知的现象正是江湖传闻的「丑角综合征(Harlequin Syndrome)」或「丑角征(Harlequin sign)」。目前尚未有共识将这互用的两种名称严格区分开来。
丑角综合征 vs. 鲜红斑痣 vs. Horner 综合征
顾名思义,丑角综合征通常是在运动后出现的面部不对称性出汗和潮红,犹如「戴上丑角面具半遮面」。这点和与生俱来、不随运动等因素而发生变化的鲜红斑痣(Port wine stain)截然不同,尽管两者均是以面部中线为明显边界的红斑。
众所周知,还有另一个以面部中线为明显症状边界的疾病,那就是以上睑下垂、瞳孔缩小、眼球下陷和患侧面部无汗为主要表现的颈交感神经受压所致的 Horner 综合征。
不过此时,因患侧少汗或无汗,对侧出汗增多或潮红是对侧(正常侧)的一种代偿性过度反应,其目的是调节面部温度 [2]。
事实上,Horner 综合征和丑角综合征这两种综合征实际上是同一致病因素或机制导致的面部两侧不一致,这也提示当临床遇到 Horner 综合征的患者时,也应尝试探索是否同时合并丑角综合征。
自 1988 年全球首例有关丑角综合征的病例被报道 [3] 之后,医学界对该综合征的重视度逐渐提高。但笔者试图搜索各大数据库中的中文文献,仅有一例「丑角综合征」的个案报道。由此可见,作为一种罕见综合征,国内临床医生对丑角综合征的认识不足。
如何识别丑角综合征背后的真相?
继发于自主神经功能紊乱的丑角综合征,其病因包括特发性、颈动脉夹层、局部创伤(如乳房切除术并一期背阔肌皮瓣乳房重建术后、颈内静脉插管损伤)和嗜神经病毒感染、上纵隔神经源性肿瘤、肺尖肿瘤、脑干梗塞等 [4-6]。

在国外文献中,如上所述最终发现引起丑角综合征的始作俑者为肺尖肿瘤(Pancoast 瘤、肺上沟癌)的报道更是屈指可数。其中一例因反复发作性胸痛、右肩痛的 74 岁女性一开始被误诊为急性冠脉综合征,一波三折之后,最终正是因为「丑角综合征现身」而及时通过胸部 CT 发现是右肺尖肿瘤在作祟 [7]。
值得一提的是,具体对于肺尖肿瘤而言,丑角综合征并非仅对右侧肺尖情有独钟。早于 30 年前,就在丑角综合征面世后的 2 年,左肺尖 Pancoast 综合征合并 Horner 综合征引起的丑角综合征 [8] 已被载入史册。
要想识别出丑角综合征背后的真相,还是要在临床诊疗过程中,多观察多总结,多问一个为什么,希望我们他日若遇到此病,都能揭下这层丑角面具,让肺尖的「不明占位」原形毕露。