“披着羊皮的狼”-甲状腺囊性乳头状癌的超声诊断
甲状腺乳头状癌其中约1%-5%伴有囊性成分或以囊性成分为主,其机制并不明确,一般认为囊性变是甲状腺结节的良性指标,因此甲状腺囊性乳头状癌很容易被误诊为结甲囊性变。正确掌握其超声特征,可以避免误诊。
超声表现:
1、微钙化:与实性甲状腺乳头状癌相同,实性部分的微钙化对甲状腺囊性乳头状癌的诊断具有极高特异性(被部分学者描述为“海岛珍珠征”)。


2、形态不规则:虽然甲状腺囊性乳头状癌的壁恶性肿瘤细胞分布较少,但是部分仍然按浸润性生长方式,导致形态不规则,而结甲囊性变一般呈光滑的圆形或椭圆形,因此形态不规则诊断甲状腺囊性乳头状癌具有高度的特异性。
3、内部实性结构:包括偏心单发壁结节、实性部分形态不规则、实性部分向周边的壁伸出多个较细的分隔(“蜘蛛征”),此征象诊断的敏感性及特异性一般。
4、CDFI:实性部分丰富动脉血流,尤其是由中心向四周发出的分支动脉血流特异性较高(“烟花征”)。

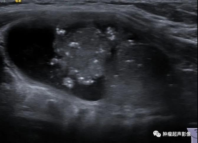
多年体检诊断为结节囊性变,肿块整体形态不规则,内部实性部分形态也不规则,因此我考虑乳头状癌,术后病理证实为乳头状癌





来自微信会诊病例:形态不规则,微钙化,实性部分向周边的壁伸出多个较细的分隔(“蜘蛛征”),血流由中心向四周发出的分支动脉血流(“烟花征”)符合典型囊性乳头状癌,术后病理证实为乳头状癌

