超声造影结节大小变化在甲状腺微小乳头状癌诊断中的价值
超声造影结节大小变化在甲状腺微小乳头状癌诊断中的价值
李 刚1,2,贾 超2,高 峰2,张 凡2,史秋生2,吴 蓉2,杜联芳2,邢晋放1,3
1. 南京医科大学附属上海一院临床医学院超声医学科,上海 200080;
2. 上海交通大学附属第一人民医院超声科,上海 200080;
3. 复旦大学附属浦东医院超声医学科,上海 201399
[摘要]目的:探讨甲状腺结节大小超声造影(contrast-enhanced ultrasound,CEUS)与灰阶超声测值差异在甲状腺微小乳头状癌(papillary thyroid microcarcinoma,PTMC)诊断中的价值。方法:回顾并分析346例经手术后病理学检查证实的甲状腺结节患者(414个甲状腺结节,最大径≤10 mm),其中PTMC 313个(PTMC组),良性病变101个(良性组),术前所有结节均行二维灰阶超声及CEUS检查,并分别测量结节的大小,统计分析PTMC组和良性组的灰阶超声与CEUS结节大小测值是否存在差异。结果:CEUS与灰阶超声结节大小测值比较,良性组差异无统计学意义(P>0.05),PTMC组差异有统计学意义(P<0.05);PTMC组结节大小的CEUS测值明显小于灰阶超声测值。结论:对于最大径≤10 mm甲状腺结节,结节大小的CEUS测值小于灰阶超声测值是PTMC的一项特征,利用结节大小的灰阶超声和CEUS测值差异可以进行结节良恶性的鉴别,该项指标的临床诊断价值值得进一步深入研究。
[关键词] 超声造影;甲状腺微小乳头状癌;结节大小;诊断
[Abstract]Objective: To investigate the value of the difference between the size of thyroid nodules measured by contrast-enhanced ultrasound(CEUS) and gray-scale ultrasound in the diagnosis of papillary thyroid microcarcinoma(PTMC). Methods: Retrospectively analyzed 346 patients with thyroid nodules(414 thyroid nodules, maximum diameter ≤10 mm) confirmed by pathological examination after surgery, including 313 PTMC(PTMC group), benign lesions 101(benign group). All nodules were conducted by the two-dimensional gray-scale ultrasound and CEUS examination, and measured the size of the nodule. Statistical analysis was conducted to determine whether there was any difference in the size of nodules measured by gray-scale ultrasound and CEUS between the PTMC group and the benign group.Results: Comparison of the size of nodules measured by contrast-enhanced ultrasound and gray-scale ultrasound, there was no statistical difference in the benign group(P>0.05), and there was statistical difference in the PTMC group(P<0.05); the nodule size measured by contrast-enhanced ultrasound in PTMC group was significantly smaller than that measured by gray-scale ultrasound.Conclusion: For the thyroid nodule with the maximum diameter ≤10 mm, it is a characteristic of micropapillary carcinoma that the measured value of the nodule size by contrast-enhanced ultrasound is less than the measured value by gray-scale ultrasound. The difference between the measured value of the nodule size by gray-scale ultrasound and contrast-enhanced ultrasound can be used to identify the benign and malignant nodules. The clinical diagnostic value of this index is worth further study.
[Key words] Contrast-enhanced ultrasound; Papillary thyroid microcarcinoma; Nodule size; Diagnosis
世界卫生组织(World Health Organization,WHO)在甲状腺肿瘤分类系统中将肿瘤最大径≤10 mm的甲状腺乳头状癌(papillary thyroid carcinoma,PTC)定义为甲状腺微小乳头状癌(papillary thyroid microcarcinoma,PTMC)[1]。PTMC是甲状腺微小癌(thyroid microcarcinoma,TMC)中最常见的类型,其常同甲状腺良性结节并存,因原发灶微小、常规超声缺乏特异性声像图表现,术前仅行常规超声检查可与较小良性结节重叠而导致误诊、漏诊[2]。近年来,超声造影(contrast-enhanced ultrasound,CEUS)应用于PTMC的临床诊断中,可望提高诊断准确率。目前,CEUS对甲状腺恶性结节的研究主要集中在灌注模式方面,达峰时间晚、峰值灌注强度低、不均匀性低增强等为恶性结节的造影特征[3-5]。但对于CEUS后结节大小测值变化对诊断PTMC的价值鲜有报道。因此,本研究回顾并分析南京医科大学附属上海一院临床医学院超声医学科有病理学检查结果的甲状腺微小结节患者CEUS和灰阶超声图像资料,探讨CEUS后结节大小测值变化在诊断PTMC方面的价值,现报道如下。
1
资料和方法
1.1 一般资料
研究对象为2018年7月—2019年12月于南京医科大学附属上海一院临床医学院超声医学科实施甲状腺手术的346例患者,均有明确的病理学检查结果,共414个结节,且每个结节的最大径≤10 mm。患者术前均进行灰阶超声及CEUS检查,影像学资料符合以下标准。① 术前灰阶超声和CEUS检查由同一位从事超声检查工作有5年以上经验的医师完成;② 图像清晰、资料完整;③ 结节以实性、非囊性及囊性为主;④ 结节内无粗大钙化或环状钙化。所有患者的CEUS检查均经医院伦理审查委员会批准,检查前均已获得患者知情同意。
1.2 仪器与方法
超声检查仪器为日本Toshiba公司的Aplio 600,探头为线阵14L5(频率为5~14 MHz),造影剂采用意大利Bracco公司生产的声诺维(SonoVue)。患者取仰卧位,颈肩部垫高,充分暴露前颈部检查区域,嘱受试者保持平和、均匀呼吸且勿咳嗽或吞咽;先行灰阶超声检查,清晰显示甲状腺结节的灰阶图像,选择甲状腺长轴切面评估结节大小,采用十字交叉法(纵径×横径)测量结节大小,保持该测量切面不变,启动CEUS。将59 mg六氟化硫注入5.0 mL 0.9%的NaCl溶液摇匀成微泡混悬液制成造影剂,注入方式为经肘静脉团注,每次成像造影剂的剂量为2.0 mL微泡混悬液;检查过程实时存储图像,随后分析,在增强达峰时刻进行结节大小测量。
根据病理学诊断结果对结节进行分组,病理学诊断结果为PTMC的结节归入PTMC组,病理学诊断结果为良性病变的归入良性组。
1.3 统计学处理
分别对PTMC组和良性组结节大小的灰阶超声测值和CEUS测值进行统计学比较,采用配对符号秩和检验。统计软件采用SAS 9.4,P<0.05为差异有统计学意义。
2
结 果
2.1 PTMC组和良性组结节的一般资料
PTMC组共计313个结节,其中男性73例(23.3%),女性240例(76.7%),男性女性比例为1.0∶3.3,年龄为24~72,平均年龄(45.6±10.5)岁。良性组共计101个结节,其中男性27例(26.7%),女性74例(73.3%),男性女性比例为1.0∶2.7,年龄为18~70,平均年龄(56.3±10.3)岁。101个良性结节中结节性甲状腺肿86个,腺瘤7个,局灶性结节样增生6个,亚甲炎2个(表1)。

2.2 结节大小的灰阶超声和CEUS测值比较
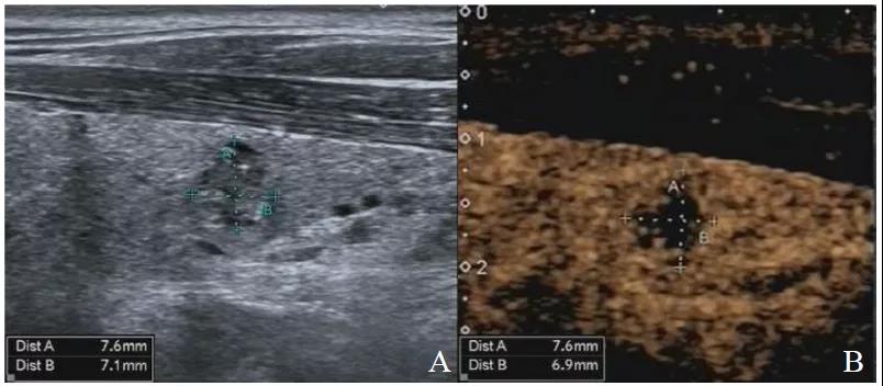
图1显示PTMC组结节大小的CEUS测值小于灰阶超声测值,图2显示良性组结节大小的CEUS测值与灰阶超声测量相近。表2显示PTMC组结节大小的CEUS测值明显小于灰阶超声测值(P<0.05)、良性组结节大小的CEUS测值与灰阶超声测值差异无统计学意义(P>0.05)。

图1 PTMC组结节大小测量
注:CEUS测量小于灰阶超声测值。A为灰阶超声图像;B为CEUS图像。

图2 良性组结节大小测量
注:CEUS测量与灰阶超声测值相近。A为灰阶超声图像;B为CEUS图像。

3
讨 论
随着CEUS应用与普及,有研究发现,甲状腺结节CEUS的增强回声强度与结节微循环血流灌注量之间存在高度正相关[6],CEUS检查在鉴别甲状腺结节良恶性方面具有较高临床应用价值。同时,相关研究发现,最大径≤10 mm的甲状腺良恶性结节的CEUS模式(增强强度、均匀性、边界)存在一定重叠[7-8],不同学者的研究结果之间存在分歧。CEUS结节大小测值在鉴别甲状腺结节良恶性方面的临床价值研究鲜见报道。
本研究发现,PTMC组结节大小的CEUS测值明显小于灰阶超声测值,而良性组结节大小的CEUS测值与灰阶超声测值无明显差异。有学者认为,甲状腺恶性结节呈浸润性生长,与正常组织交界处血管内皮生长因子的浓度较高可促进微小血管的生成,CEUS声像可显示恶性结节增强的范围较其灰阶超声显示增大;而良性结节周边组织与正常组织之间成分没有明显的差异,因而CEUS与灰阶超声图像显示结节的大小一致[9]。本研究结果与这一观点不一致,可能存在以下原因。肿瘤新生血管决定其生长与侵袭性的生物学行为,大部分恶性肿瘤具有丰富的新生血管并向周围组织浸润的特性,然而多数学者认为甲状腺癌的新生血管与其生物学行为并不相关。李小鹏等[10]研究发现,甲状腺恶性结节的微血管密度(microvessel density,MVD)显著低于甲状腺良性结节(如结节性甲状腺肿、腺瘤等),提示PTMC中新生血管较少,CEUS呈低增强。程红等[11]研究表明,PTMC边缘区域新生血管较中心区域分布密度高,故CEUS模式下PTMC周边区域增强强度高于中心区域,周边区域增强程度可与周围正常甲状腺实质增强后重叠,故CEUS模式下所显示的结节范围小于灰阶超声显示的范围;此外,有些甲状腺恶性结节中心及边缘常伴有钙化、显著的纤维化及瘢痕形成[11]。Inaba等[12]发现肿瘤内部40%~60%都表现为广泛的间质纤维化,由于钙化、纤维化及瘢痕区的血流灌注明显减少甚至消失,从而导致结节的造影增强范围减少,结节大小的CEUS测值小于灰阶超声测值。通过以上分析可以推测,对于PTMC结节来讲,CEUS测得的结节大小可能不是结节的实际大小,但是,可以利用CEUS显示结节范围较灰阶超声缩小这一特征进行PTMC和良性小结节的鉴别诊断。本研究尚存在一定的局限性,主要表现在对于形态不规则的结节来讲,采用交叉测量法(纵径×横径)评估结节大小的误差明显增大。
本项研究提示,结节大小的CUES测值可以进一步拓展超声检查在鉴别甲状腺良恶性方面的临床应用,结节大小CEUS测值小于灰阶超声测值可以作为诊断PTMC结节的一个孤立性指标,有必要开展进一步的临床和基础研究。
[参考文献]
慈 霞, 王 菲, 李若暄, 等. 超声在甲状腺微小乳头状癌诊疗方面的应用进展[J]. 临床超声医学杂志, 2019, 21(1): 40-42.
莫伶丽, 莫金霖, 陈伟杰, 等. 多模态超声诊断甲状腺良恶性结节的应用价值[J]. 广西医科大学学报, 2016, 33(6): 1015-1018.
ZHAO R N, ZHANG B, YANG X, et al. Logistic regression analysis of contrast-enhanced ultrasound and conventional ultrasound characteristic of sub-centimeter thyroid nodules[J]. Ultrasound Med Biol, 2015, 41(12): 3102-3108.
陈 霰, 徐丽伟, 华 娟, 等. 超声造影在甲状腺微小乳头状癌诊断中的应用价值[J]. 中国超声医学杂志, 2015, 31(4): 375-378.
李 晨, 郝玉芝, 王 勇, 等. 超声造影在甲状腺微小实性结节良恶性鉴别诊断中的价值[J]. 临床超声医学杂志, 2015, 17(7): 453-456.
曾红春, 路晓荔, 郑维喆. 血管因素与甲状腺乳头状癌侵袭风险相关性的研究进展[J]. 影像研究与医学应用, 2019, 3(17): 8-11.
ZHANG B, JIANG Y X, LIU J B, et al. Utility of contrast-enhanced ultrasound for evaluation of thyroid nodules[J]. Thyroid, 2010, 20(1): 51-57.
FRIEDRICH-RUST M, SPERBER A, HOLZER K, et al. Real-time elastography and contrast-enhanced ultrasound for the assessment of thyroid nodules[J]. Exp Clin Endocrinol Diabetes, 2010, 118(9): 602-609.
徐立峰. 超声造影特征变量对甲状腺乳头状癌的诊断价值[D]. 安徽: 安徽医科大学, 2019.
李小鹏, 张红丽, 何 鑫, 等. 甲状腺良恶性结节超声造影特征与病理微血管密度的相关性研究[J]. 中国临床医学影像杂志, 2015, 26(9): 631-634.
程 红, 孙红光, 施燕芸, 等. 甲状腺乳头状癌超声造影定量参数与微血管密度相关性研究[J]. 临床超声医学杂志, 2018, 20(2): 94-97.
纪小龙, 吉 米. 甲状腺病理诊断[M]. 北京: 人民军医出版社, 2011.
INABA M, UMEMURA S, SATOH H, et a1. Papillary thyroid carcinoma with fibromatosis-like stroma: a report of two cases[J]. Endocr Pathol, 2002, 13(3): 219-225.