我科胸部微创手术迈入智能精准新时代 我科首例达芬奇机器人手术成功实施!
2020 年 11 月 3 日,国家癌症中心、中国医学科学院肿瘤医院胸外科首例达芬奇机器人部分肺叶切除手术顺利完成。该例手术由赫捷院士主刀完成。达芬奇机器人的临床应用,一举填补我院胸外科机器人手术的空白,标志着我院胸部微创手术迈入智能精准新时代。
赫捷院士在离手术台约 3 米远的的控制台前,操纵机器人手臂进行精细手术操作


此次手术由赫捷院士带领团队实施,赫捷院士亲自主刀操作,利用达芬奇手术机器人这一高精尖技术,成功为一名 51 岁的女性患者进行了微创肺癌根治性手术。此例手术成功为我科达芬奇手术机器人的应用打响了头炮,也为我科日后达芬奇机器人手术技术的临床应用与研究奠定了坚实的基础。
患者情况简介
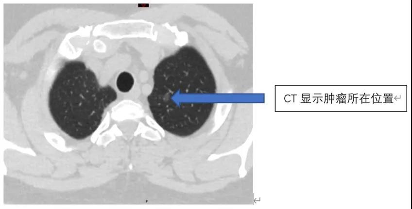
该名女性患者,约一年前体检时发现左肺上叶小结节。一年内多次 CT 复查提示左肺上叶结节有增大趋势,患者强烈希望通过手术方式进行治疗。

由于该患者的肿瘤发病属于早期,肿瘤直径小,在满足肿瘤根治原则的前提下,为了帮助患者更多地保留健康肺组织,实现快速康复,尽可能地提高术后长期生活质量,我科团队提出采用达芬奇机器人进行左肺上叶部分肺叶切除的外科方案,充分发挥智能微创精准外科的优势,让患者可以得到最大的手术获益。也得到了患者和家属的认可。
“人机协作” 的手术


11 月 3 日早 8 点半,手术顺利开始。赫捷院士操作控制台手法娴熟,与机器人手臂互相配合犹如一体;机器人手臂操作稳定而灵巧,其携带的微型摄像头能把图像放大 10 倍、并合成高清的 3D 图像,充分发挥了精准外科的优势。

手术完成顺利,术中几乎无出血。术后第二天,患者恢复顺利并已能下地活动,没有咳嗽、咳痰这些常见的术后症状,术后也几乎没有疼痛感。术后胸片检查提示双肺复张良好,胸水渗出极少。
达芬奇手术机器人优势

达芬奇机器人手术系统是当今外科领域先进的高科技产品,它不仅几乎具备了胸腔镜微创外科手术技术的所有优点,还具有人手操作无法比拟的稳定性与精确性;尤其在进行人体内狭小空间下的复杂手术操作时,其稳定、精准、灵活的优势更为明显。对患者而言,可以进一步减少手术创伤、缩小伤口、减轻疼痛,减少感染机率,进而加速患者术后的康复。
赫捷院士简介

中国科学院 院士
主任医师,博士生导师
中国国家癌症中心 主任
中国医学科学院肿瘤医院 院长
国家肿瘤临床医学研究中心 主任
国家肿瘤质控中心 主任
中华医学会胸心血管外科学专业委员会 主任委员
中国医师协会胸外科医师分会 会长
中国临床肿瘤学会 理事长
中国医院协会副会长兼肿瘤医院管理分会 主任委员
亚洲胸外科医师协会(ATS) 主席
中国抗癌协会 副理事长
《中华肿瘤杂志》、《中国肿瘤》杂志 主编
随着我科达芬奇机器人手术的开展,将使我科智能微创精准外科技术的应用如虎添翼。我科会充分利用其精准、微创、智能的优势,更好地为广大患者服务,切实保证每一位患者的治疗获益最大化!