3岁患髓母细胞瘤 抗癌1年防复发 放疗界黑科技质子疗法功不可没!
如果将人生分为两部分,3岁那年对于Mary McKernan(玛丽·麦凯南)来说是幸运的,那年她穿着粉红色的芭蕾舞裙,微笑着成为舞蹈界“小天鹅”;然而3岁那年又是不幸的,她竟被检查出患有髓母细胞瘤。
突如其来,呕吐头痛竟是患上脑瘤
噩梦就发生在2012年夏天,住在新泽西州海岸的Mary突如其来地开始不时呕吐、头痛欲裂,这个症状大概持续1周。心急如焚的父母带她去了当地急诊室看儿科医生,但是并未查明究竟是何原因。最终,在7月17日,她的儿科医生将Mary送入费城儿童医院进行MRI检查。
在Mary从镇静中苏醒后,她的父母被神经外科医生Phillip B.Storm告知Mary的小脑竟患有髓母细胞瘤。“起初我和妻子在打完电话后,完全感到震惊。一切都发生得如此之快,但Storm博士的举止和信心给了我们一些希望,”Mary的父亲回忆道。“但是我们觉得仍然有治愈的希望。”
撑过多次化疗+3次干细胞移植,她很坚强
Storm博士说道,根据肿瘤的位置,他很有可能切除整个肿瘤。随后Mary被送入儿科重症监护室(PICU)观察。3天后的手术十分顺利,Storm博士表示切除掉的整个肿瘤是髓母细胞瘤,这是一种罕见的恶性肿瘤,但是Mary的癌症并未发生转移让人格外欣慰。
此后,Mary于8月份返家开始化疗,在接下来的9个月内,她除了接受化疗还进行了3次干细胞移植。患病的这段期间,Mary表现的超脱于年轻的懂事,她会提出各种想要施行的想法,为了分散注意力,她的艺术品挂满了房间的墙上,哪怕是拒绝服用特别难吃的药时,护士也会将其与葡萄汁混合,鼓励其喝下。
质子治疗让她重新穿上芭蕾舞裙
若在几年前,治疗儿童脑肿瘤的辐射可能会对患儿造成无法弥补的损害。但目前可以借助质子治疗,精确地调节剂量分布,使高剂量区集中于肿瘤部位而降低靶区外器官及周围正常组织受量,可以在不影响脊柱的情况下达到很好的治疗效果。并且该治疗手段无痛苦,十分适合治疗儿童肿瘤。
最后,Storm博士给Mary进行了6个星期的质子治疗,治疗过程中全然没有任何痛苦,只需要往后定期实施脑MRI监测即可。将近1年的抗癌经历,让Mary变得愈发坚强,还有幸被评为2013四季百汇Run & Walk的患者大使,继续穿着心爱的芭蕾舞裙起舞。

图为妈妈带着Mary参加芭蕾舞课程
髓母细胞瘤恶性程度高、预后差
髓母细胞瘤是最常见的儿童恶性脑肿瘤,是中枢神经系统恶性程度最高的肿瘤之一,占所有儿童脑肿瘤的15%~20%。此肿瘤起源于胚胎残留组织,被定为4级肿瘤,不仅恶性程度高,预后也很差。发病高峰在5~15岁间,成人少见,其中男孩发病率高。
患儿经常会出现不明原因的头痛、呕吐,继而步态不稳、眼球震颤、复视,首先应考虑是否患有髓母细胞瘤。然而,髓母细胞瘤治疗预后较差,能选择的治疗手段极为有限,通常手术为主,加以辅助放化疗。
治疗手段有限 副作用难以控制
目前髓母细胞瘤主要治疗方式还是手术切除加放射治疗。手术行后正中开颅,应尽可能全切除或近全切除肿瘤,使梗阻的第四脑室恢复通畅,术后辅以必要的放射治疗。髓母细胞瘤对放疗敏感,但为防止肿瘤的脱落种植转移,通常要做全脑脊髓的放射治疗。
目前儿童髓母细胞瘤患者的治疗方案会根据年龄、手术切除的程度及有无转移等因素将患儿分为高危组和低危组,对于低危组,术后治疗的主要目的就在于预防肿瘤复发和蛛网膜下腔播散。但是为了防止放疗对患儿产生副作用,通常会减量放疗,然而有资料表明,减量放疗将会使髓母细胞瘤的远期疗效下降,增加复发及转移的发生,而高剂量又会造成周围组织损伤,影响患儿的脑部功能。因此,最佳剂量+最小副作用的质子治疗成为众多癌症患儿家长的一个新选择。
儿童脑瘤的新选择——质子治疗
有研究表明,儿童髓母细胞瘤使用质子治疗的最大效益在于减少脑部正常组织构造的损伤,进而降低长期伤害。质子治疗是一种比其他任何形式的放射治疗更准确,更精确地靶向肿瘤,同时保留健康组织,目前全球最先进的一种放疗技术。通过质子治疗,可以最大限度地避免靶标外部的绝大多数不必要的辐射。
与传统形式的辐射相比,质子束会到达肿瘤内部的精准位置而不是沿着光束离开人体的路径释放大部分辐射剂量。实际上,质子没有肿瘤之外的辐射“退出剂量”,这意味着质子停在肿瘤上,不会继续伤害身体的健康部位。

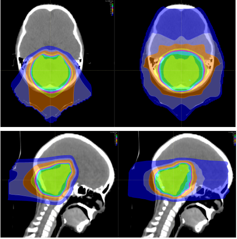
上图为髓母细胞瘤对全脑全脊髓照射剂量的分布图比较,传统放疗会对身体造成大范围的损害,波及脊柱周边的脏器,而质子治疗剂量分布图,脊髓周边的照射剂量机乎为零,不会造成损害及副作用。
质子治疗治疗儿童脑瘤2大优势
1
降低二次癌症可能性
常规放射线治疗在人体浅表处剂量高,具有穿透人体的特点,照射面积广,因此它对健康组织的辐射也是一个致癌原。有数据显示,传统放疗(X线)对儿科肿瘤来说,出现由放射导致的二次肿瘤的风险达是25%,质子在肿瘤外部所释放的放射源以及二次癌症的可能性被降低,这对儿童来讲是十分重要的。
2
对肿瘤周围组织损伤小不影响生长发育
随着儿童癌症治疗进步,儿童的存活率上升,存活下来的儿童患者日后之生活品质越来越受到关注,质子治疗具备能够减少散射剂量的优势,提升对肿瘤局部的控制,同时由于脑部神经组织多,易受辐射损害。质子治疗因具有布拉格峰的物理特性,使峰值部位对准肿瘤病灶处,发出最高剂量,产生最高峰,达到最佳杀瘤效果;峰后剂量趋于零,对周边脑组织几乎无影响。对于儿童脑瘤,可以避免有常规化疗引起的听力丧失、认知功能障碍、智力影响等。

儿童脑瘤质子治疗适应症范围广泛
儿童肿瘤质子治疗适应症
室管膜瘤、颅咽管瘤、髓母细胞瘤、横纹肌肉瘤、神经母细胞瘤、视网膜母细胞瘤、视神经脑膜瘤、PNET/低级别胶质瘤次全切除术后;
质子可减少认知功能损伤、减少耳蜗剂量、减少听力损伤;
脑和脑干高级别胶质瘤,可用质子,但难以达到真正肿瘤边界,难以实现适形。
质子治疗的机会不容错过!
对于质子治疗最简练的总结是安全、副反应小、疗效肯定。但是也不能盲目地认为质子治疗是癌症的克星,癌症治疗仍需要多学科综合治疗,选择权威的专家、医院,制定最适合自己的治疗方案才能达到好的治疗效果。
参考文献
https://www.chop.edu/stories/medulloblastoma-brain-tumor-marys-story
http://www.profproton.com/protons-for-children/
https://www.sccaprotontherapy.com/cancers-treated/childhood-cancer-treatment