甲状腺皱缩结节的超声诊断
本次讲解的甲状腺皱缩结节容易被误诊为乳头状癌。
甲状腺皱缩结节:甲状腺囊性结节或囊实性结节中囊液吸收,胶质减少、自发性塌陷、皱缩,导致结节缩小、形态学发生改变,也被一些专家称为“僵尸结节”“木乃尹结节”,名字很多,没必要纠结于名字,理解其为良性结节并诊断出来才是最重要的。
皱缩结节在超声上经常表现为低回声且部分纵横比大于1,内部可伴有微钙化或粗钙化,或两者同时出现,很容易被分为TI—RADS 4类甚至5类,易被误诊为甲状腺乳头状癌,有时单纯依据二维超声图像难以鉴别,如果有明确病史(此前甲状腺同一位置有囊性或囊实性结节),可以明确诊断为皱缩结节。但很多患者未经过正规随访甚至从未做过超声检查,往往首诊发现此类结节,此时鉴别诊断困难,易被误诊为恶性结节,从而进行不必要的穿刺活检或手术切除,而且FNA对这类结节的诊断可能并不令人满意(因为内部成分问题,经常出现取材不满意),此时需要观察一些征象,如“双环征”、连续完整的“蛋壳样钙化”等,这些征象并不是很可靠,只是提示你想到皱缩结节的可能性,另外血流有一定的参考价值,一般皱缩结节内部无任何血流(这取决于机器好坏及血流的调节),机器越好、血流调节越灵敏,此时显示无血流参考价值较大,如果机器较差或血流调节不当,此时不具有参考价值(大部分微小乳头状癌本身乏血供),当然如果机器配有超微血流成像,可以提供较大的价值,超微血流成像显示皱缩结节一般无任何血流,呈“黑洞征”。
如果还是难以确定,此时不建议选择FNA,建议选择超声造影,由于与乳头状癌的内部成分明显不同,超声造影显示相当一部分的皱缩结节呈现“无增强”,还有一少部分呈等增强,与乳头状癌动脉期向心性低增强或不均匀低增强区别明显,少部分出现低增强及少部分乳头状癌会出现等增强,此时鉴别困难,由于皱缩结节很多较小,如果未长在危险位置,可以选择先随访观察,如果病灶较前持续性缩小,可符合皱缩结节。诊断还是困难者可选择FNA穿刺有增强部分。


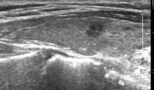
甲状腺结节呈低回声,局部边缘欠光整,内见粗钙化,可分到4类,内部无血流,
回顾以前检查可发现同一位置有一囊实性结节(下图),从而确诊皱缩结节,避免穿刺及手术。

/p>
上图:甲状腺结节呈低回声,边缘不光整,纵横比大于1,内见点状强回声,可分到5类,内部无血流,
回顾以前检查可发现同一位置有一囊实性结节(下图),从而确诊皱缩结节,避免穿刺及手术。



甲状腺下极结节,病史不明,呈低回声,边缘光整,呈双环征(周边低回声晕),内部无血流,采用超微血流成像显示内部无血流,呈“黑洞征”,从而增加诊断皱缩结节的信心,避免穿刺及手术。


甲状腺下极结节,病史不明,呈低回声,边缘尚光整,内见点状强回声及彗星样强回声,内部无血流,超声造影显示无增强,从而增加诊断皱缩结节的信心,避免穿刺及手术。


“蛋壳样钙化”,无血流,超声造影光滑的无增强,考虑皱缩结节。