膀胱血管周上皮细胞样肿瘤复发1例
膀胱血管周上皮细胞样肿瘤复发1例
高沛 毛昌琳 陈峰 刘守财 管勇 毕东滨
( 山东大学附属
山东省立医院)
01
病例简介
患者女性,27,2019年3月因查体发现子宫肌瘤于当地医院就诊,初步诊断为多发性子宫肌瘤、宫颈肌瘤、阴道肿物,于当地医院行手术切除。术中探查发现膀胱肿瘤,大小约6.0 cm×7.0 cm,膀胱肿瘤位于膀胱三角左侧壁近尿道内口处,部分肿瘤凸向阴道前壁,同时进行膀胱肿瘤切除。术中出血约3 000 mL,术中输注红细胞12 U、血浆1 000 mL。术后病理诊断为膀胱血管周上皮样细胞肿瘤(perivascular epithelioid cell neoplasm,PEComa)。
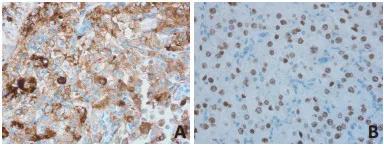
2019年8月患者于山东大学附属山东省立医院行CT检查,提示膀胱下方、阴道前方的富血供肿物,再次复查CT检查提示肿块较前无明显变化。为进一步治疗,2020年1月于本院行盆腔肿瘤切除术,术中发现肿瘤位于尿道与阴道前壁之间偏左侧,大小为4.5 cm×3.0 cm×2.5 cm,肿瘤与膀胱、尿道及阴道黏连极为紧密,术中出血约1 000 mL,术中输注红细胞4 U、血浆400 mL。术后病理为盆腔PEComa。其中组织病理显示,肿瘤细胞体积较大,核体积大,可见核仁,胞浆丰富,嗜酸性,颗粒状,可见黑色素颗粒(图 1);免疫组织化学法检测显示,肿瘤细胞胞浆中的HMB45染色阳性(图 2A),TFE3核染色阳性(图 2B)。术后患者无明显并发症。术后定期随访2个月,尚未见复发或转移。

图 1 患者盆腔PEComa组织病理特征(H & E×400)

A:Envision二步法×400;B:Envision二步法×200
图 2 免疫组织化学法检测患者盆腔PEComa
病例小结
2013年世界卫生组织(WHO)定义PEComa为一种形态学以及免疫组织化学法检测均不同于血管周上皮细胞的间叶组织肿瘤[1],其中子宫是最常见的发病部位,泌尿系PEComa较为少见,膀胱更是非常罕见的发病部位。PEComa发病男女比约为1:1,中位年龄为32岁[2]。膀胱PEComa多为囊实性肿物,一般大小>5.0 cm,边界较为清晰,临床症状无特异性。本例膀胱PEComa患者无明显的泌尿系症状,肿瘤因妇科手术探查而发现,大小约6.0 cm×7.0 cm,两次手术均有较多出血,这与膀胱PEComa肿瘤体积较大且血供丰富的特点相符。PEComa诊断主要依靠影像学检查,对于一些较小的肿瘤,膀胱镜检查是唯一的方法,最终确诊还需依赖组织病理学诊断。
Folpe等[3]将PEComa分为良性、不确定的恶性和潜在恶性,其中恶性PEComa通常大小 > 5.0 cm、肿瘤细胞有丝分裂活性高以及坏死、浸润和血管侵犯明显,但针对泌尿系统,这种分类方法是否可行仍未可知[4]。目前,大部分的PEComa为良性,通常行手术切除。研究报道,对局部进展或转移性PEComa可采用手术联合化疗、放疗和免疫治疗等综合治疗方案[5-6],但使患者最大获益的治疗仍有待进一步研究。
参考文献:
[1]
Jo VY, Fletcher CDM. WHO classification of soft tissue tumours: an update based on the 2013(4th) edition[J]. Pathology, 2014, 46(2): 95-104. DOI:10.1097/PAT.0000000000000050
[2]
Musella A, Felice FD, Kyriacou AK, et al. Perivascular epithelioid cell neoplasm(PEComa) of the uterus: a systematic review[J]. Int J Surg, 2015, 19(7): 1-5.
[3]
Folpe AL, Mentzel T, Lehr HA, et al. Perivascular epithelioid cell neoplasms of soft tissue and gynecologic origin: a clinicopathologic study of 26 cases and review of the literature[J]. Am J Surg Pathol, 2005, 29(12): 1558-1575. DOI:10.1097/01.pas.0000173232.22117.37
[4]
Nese N, Martignoni G, Fletcher CD, et al. Pure epithelioid PEComas(socalled epithelioid angiomyolipoma) of the kidney: a clinicopathologic study of 41 cases: detailed assessment of morphology and risk stratification[J]. Am J Surg Pathol, 2011, 35(2): 161-176. DOI:10.1097/PAS.0b013e318206f2a9
[5]
Wagner AJ, Malinowska-Kolodziej I, Morgan JA, et al. Clinical activity of mTOR inhibition with sirolimus in malignant perivascular epithelioid cell tumors: targeting the pathogenic activation of mTORC1 in tumors[J]. J Clin Oncol, 2010, 28(5): 835-840. DOI:10.1200/JCO.2009.25.2981
[6]
Italiano A, Delcambre C, Hostein I, et al. Treatment with the mTOR inhibitor temsirolimus in patients with malignant PEComa[J]. Ann Oncol, 2010, 21(5): 1135-1137. DOI:10.1093/annonc/mdq044