沃利替尼治疗MET 14外显子跳跃突变的晚期肺鳞癌1例
沃利替尼治疗MET 14外显子跳跃突变的晚期肺鳞癌1例
韩森 马旭 方健
( 北京大学肿瘤医院)
01
病例简介
患者男性,68,主因“咳嗽、咳痰1年余”于2016年12月就诊于北京大学肿瘤医院。胸部CT检查提示左肺上叶尖后段占位并纵隔淋巴结肿大。左肺占位行穿刺活检,病理回报:低分化鳞状细胞癌。完善分期检查后诊断为:左肺上叶低分化鳞癌T4NxM0,纵隔及左肺门淋巴结转移不除外。
于2017年2月4日行新辅助化疗2个周期,方案为吉西他滨+顺铂+恩度,2个周期后评效为部分缓解(partial response,PR)。2017年4月1日行胸腔镜辅助左肺上叶切除、纵隔淋巴结清扫术,术后病理示:(左肺上叶)低分化鳞状细胞癌,病理分期为pT2aN0M0。术后行辅助化疗2个周期(方案同前),此后定期复查未见明显肿瘤复发转移。
至2017年12月患者出现左侧背部疼痛,进行性加重,伴左侧背部皮下包块,并逐渐增大。2018年1月复查胸部CT检查示:左侧胸膜增厚并局部软组织肿,范围约49 mm×27 mm,考虑转移;第8后肋骨质密度不均;左侧少量胸腔积液。全身骨扫描示:左8、9后肋骨代谢旺盛,考虑骨转移可能性大。
因患者肿瘤转移,定期输注唑来磷酸抑制骨破坏。考虑患者肺癌术后复发转移,于2018年2月13日行二线多西他赛+贝伐珠单抗治疗,2个周期后复查评效为增大的疾病稳定(stable disease,SD),并且患者疼痛症状无明显缓解。
2018年4月23日将手术组织标本进行高通量基因检测,提示MET基因14外显子跳跃突变,EGFR、ALK和ROS-1基因均为野生型。患者符合一项“评价沃利替尼治疗MET 14外显子突变的局部晚期或转移性肉瘤样癌(pulmonary sarcomatoid carcinoma,PSC)和其他非小细胞肺癌(non-small cell lnurg cancer,NSCLC)患者的有效性、安全性和耐受性的多中心、开放的Ⅱ期临床研究”。经过筛选,患者知情同意并入组该临床试验,于2018年5月8日行沃利替尼治疗(600 mg,qd,po)。患者用药后疼痛症状较前减轻,恶心1级(CTCAE4.03),无其他明显不良反应。沃利替尼用药6周后复查,靶病灶较前缩小19%,总体评效为SD。继续口服沃利替尼,疼痛症状完全缓解,逐渐停用止痛药物。
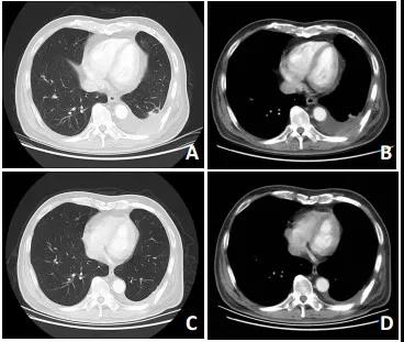
至2019年2月26日复查,肿瘤继续缩小(较基线缩小23%),无新增病灶,总体评效为缩小的SD(图 1)。用药期间患者间断恶心1级,并出现双上肢和双下肢水肿1级(图 2)。下肢水肿原因在排除心源性水肿、肾源性水肿、下肢静脉血栓和营养不良等因素后,考虑为沃利替尼导致的外周水肿。给予利尿消肿药物治疗后水肿有所好转,但停药后反复。综合考虑患者不良反应较轻,未调整用药。
2019年12月出现左侧胸背部疼痛症状,2019年12月24日复查提示原病灶稳定,其他部位无新发病灶,但左侧胸腔积液明显增多,故综合评效为疾病进展(progressive disease,PD)。停止服用沃利替尼,临床试验出组。
至此,患者接受沃利替尼治疗的无进展生存期(progression-free survival,PFS)为19.6个月。2020年1月患者开始口服谷美替尼治疗至今,目前仍在继续随访中。

A,B:沃利替尼治疗前(2018年5月2日);C,D:沃利替尼治疗后(2019年2月26日)
图 1 胸部CT检查

图 2 沃利替尼用药期间出现的双上肢和双下肢水肿1级
病例小结
MET基因为NSCLC的肿瘤驱动基因之一,编码的蛋白质c- Met是肝细胞生长因子(hepatocyte growth factor,HGF)的酪氨酸激酶受体,在胚胎发生、肿瘤生长和转移中发挥重要作用[1]。有研究表明,MET 14外显子跳跃突变在总体NSCLC病例中约占3%~6%[2-3],在不同病理亚型中其突变率有所不同,如在肺肉瘤样癌中高达13%~22%,而肺鳞癌中仅为3%[4-5]。MET 14外显子跳跃突变的NSCLC患者对MET抑制剂,如克唑替尼、卡博替尼和tepotinib反应良好,提示MET基因可能是NSCLC靶向治疗的新靶点[3]。沃利替尼是一种新型高选择性的针对MET突变的小分子酪氨酸激酶抑制剂。目前已完成临床试验,但暂未上市。本病例报道已获得临床试验申办方同意,支持文章发表。
本研究中患者为老年男性,诊断为晚期肺鳞癌,治疗前肿瘤负荷较大,伴有MET 14外显子跳跃突变。接受沃利替尼治疗后,肿瘤缩小,疼痛症状缓解,患者临床获益明显。因此提示沃利替尼对于MET 14外显子跳跃突变的肺鳞癌可能具有良好的抗肿瘤效果。该临床试验的中期结果显示,沃利替尼用于MET 14外显子跳跃突变的晚期NSCLC患者客观缓解率高达51.6%(16/31)[6]。但靶向治疗的耐药不可避免。目前,对于沃利替尼的耐药原因已有初步探索[7],下一步应加强对耐药机制的研究,探寻可抑制或逆转耐药的方法,使携带MET 14外显子跳跃突变的NSCLC患者获得更大的临床获益。对于沃利替尼的不良反应,初步研究显示与治疗相关的不良反应大部分为1~2级,包括恶心、呕吐、外周水肿和肝功能异常[6]。该患者出现的外周水肿可能是沃利替尼较为特殊的不良反应,虽然在其他靶向药物中也曾有类似报道,但其发生机制尚未明确[8]。查询相关文献,外周水肿的处理暂无特效方法,以对症处理为主,但需要排除下肢深静脉血栓等其他原因导致的水肿。
综上所述,该例MET 14外显子跳跃突变的晚期肺鳞癌患者接受MET抑制剂沃利替尼治疗后效果较好、不良反应可耐受,为患者带来显著的临床获益。沃利替尼用于治疗MET 14外显子跳跃突变的晚期NSCLC患者的疗效和安全性的最终临床试验结果值得期待。
参考文献:
[1]
Sadiq A, Salgia R. MET as a possible target for non-smallcell lung cancer[J]. J Clin Oncol, 2013, 31(8): 1089-1096. DOI:10.1200/JCO.2012.43.9422
[2]
Salgia R. MET in lung cancer: biomarker selection based on scientific rationale[J]. Mol Cancer Ther, 2017, 16(4): 555-565. DOI:10.1158/1535-7163.MCT-16-0472
[3]
Drilon A, Cappuzzo F, Ou SI, et al. Targeting MET in lung cancer: will expectations finally be met[J]. ? J Thorac Oncol, 2017, 12(1): 15-26. DOI:10.1016/j.jtho.2016.10.014
[4]
Cancer Genome Atlas Research Network. Comprehensive genomic characterization of squamous cell lung cancers[J]. Nature, 2012, 489(7417): 519-525. DOI:10.1038/nature11404
[5]
Lee GD, Lee SE, Oh DY, et al. MET exon 14 skipping mutations in lung adenocarcinoma: clinicopathologic implications and prognostic values[J]. J Thorac Oncol, 2017, 12(8): 1233-1246. DOI:10.1016/j.jtho.2017.04.031
[6]
Lu S, Fang J, Cao L, et al. Preliminary efficacy and safety results of savolitinib treating patients with pulmonary sarcomatoid carcinoma(PSC) and other types of non-small cell lung cancer(NSCLC) harboring MET exon 14 skipping mutations[J]. Cancer Res, 2019, 79(Suppl 13): 31.
[7]
Han S, Fang J, Lu S, et al. Response and acquired resistance to savolitinib in a patient with pulmonary sarcomatoid carcinoma harboring MET exon 14 skipping mutation: a case report[J]. Onco Targets Ther, 2019, 12: 7323-7328. DOI:10.2147/OTT.S210365
[8]
Yang Y, Liu YH, Sun X, et al. Risk of peripheral edema in cancer patients treated with MEK inhibitors: a systematic review and meta-analysis of clinical trials[J]. Curr Med Res Opin, 2017, 33(9): 1663-1675. DOI:10.1080/03007995.2017.1349657