亚急性甲状腺炎的超声诊断
亚急性甲状腺炎又称亚急性肉芽肿性甲状腺炎、巨细胞性甲状腺炎,是一种自限性非化脓性炎症,是最常见的甲状腺疼痛疾病,一般认为由病毒感染引起的甲状腺组织损伤伴全身炎症反应。常在上呼吸道病毒感染后1~3周发病,多在夏秋季节发病,女性多见,30~50岁为发病高峰。
亚急性甲状腺炎临床可分三期:1、甲状腺毒症阶段;2、甲状腺功能减退阶段;3、甲状腺功能恢复阶段,整个病程约6-12个月,极少数会复发及反复发作。
临床表现:大部分有上呼吸道感染史、发热、甲状腺部位疼痛及触痛,部分患者出现心悸、多汗、消瘦等甲状腺毒症症状,甲状腺功能显示一过性甲亢,少部分出现一过性甲减,极少数出现永久性甲减;血沉升高、甲状腺131I摄取率降低而甲状腺激素水平升高即“分离现象”。大多数患者临床症状典型,诊断并不困难。但是缺乏典型临床症状的患者,需要相关检查辅助诊断,甲状腺超声已成为诊断亚急性甲状腺炎并监测其治疗用药的重要方法。
治疗:适当休息,多饮水,以非甾体抗炎剂或糖皮质激素药物治疗为主。
超声表现:急性期超声显示单侧或双侧甲状腺肿大,病灶局限性单发或多发,为形态不规则的低回声,边界模糊不清,回声不均匀,病灶回声从外向内逐渐降低,病灶处甲状腺包膜模糊不清,与颈前肌间的间隙消失,CDFI周边血流多,内部血流少,原有甲状腺血管可穿过病灶(“血管漂浮”),周边无明显环绕血管;颈部淋巴结可见反应性肿大;
超声探头加压低回声区一般压痛明显;
超声复查显示短期内病灶变化明显为其特征(增大或缩小、新出现病灶或原有病灶消失);恢复期回声增强、不均,低回声区缩小甚至消失,恢复为正常腺体回声。
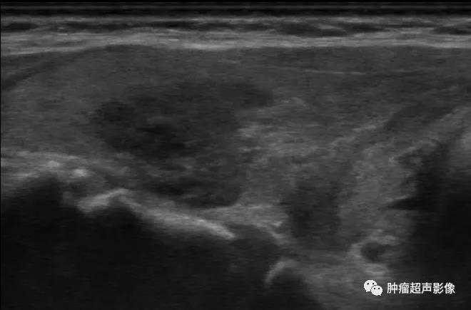
病灶小,尤其是无症状时容易误诊为甲状腺癌。
不确定者可以短期随访观察,病灶一般变化明显。

颈部疼痛,双侧甲状腺肿大,形态不规则的低回声,边界模糊不清,回声不均匀,病灶回声从外向内降低,甲状腺前方包膜模糊不清,与颈前肌间的间隙消失,CDFI血流稀少。

右侧颈部疼痛,右侧甲状腺肿大,形态不规则的低回声,边界模糊不清,回声不均匀,病灶回声从外向内逐渐降低,CDFI血流稀少;弹性成像显示质硬。

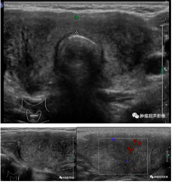
右侧甲状腺低回声,边缘不光整,回声不均匀, CDFI血流稍丰富。与甲状腺癌的鉴别超声并不好区分。
请继续看下面1个月、3个月后超声复查图像

与上面同一个病例1月后复查:
左图:甲状腺右叶低回声,一个月后复查显示变化明显
右图:1月前正常甲状腺左叶出现两个低回声

同一个病例2月后继续复查:
左图:甲状腺右叶低回声,两个月后复查显示缩小明显
右图:甲状腺左叶低回声明显变大。
(因为左右叶明显反转变化,医师及患者有可能认为你报告写反了,还会过来质疑,此情况恰恰说明了亚甲炎图像短期变化明显,符合亚甲炎的诊断)

男47,无压痛、无发热,甲状腺左叶低回声,边缘毛刺,无血流,国内某甲状腺顶级医院查左侧甲状腺低回声4类,与甲状腺乳头状癌不好鉴别,病理示肉芽肿性甲状腺炎。