1400亿个免疫细胞抗击7个肿瘤病灶 TILs疗法挑战实体瘤再次告捷!!
TILs疗法中文称肿瘤浸润的淋巴细胞,简单点讲就是将手术切除的肿瘤组织中的淋巴细胞分离纯化,挑选出其中能特异性抗癌的淋巴细胞,扩增活化后回输。这类疗法拥有30多年的历史,最早用于恶性黑色素瘤,近年来在宫颈癌、肺癌等多种实体瘤中都给出了不俗的数据。

去年的ASCO会议上,基于TILS细胞的创新型疗法LN-144(Lifileucel)在治疗宫颈癌和黑色素瘤的临床结果一经公布,就引起了医学界的广泛关注,其中黑色素瘤中的TIL治疗具有持续数十年的完全应答(CR)的潜力,这种长期的作用归功于记忆T细胞的持久性。
今天小编专门找到一些关于TILs治疗各类癌症的相关临床病例,以供各位癌友们参考,也希望给各位带来更多生存的希望!
结直肠癌:1400亿个免疫细胞进入体内打败7个肿瘤病灶
2013年,席琳·瑞安(Celine Ryan)不幸患上结肠癌,在接受放疗与化疗之后癌症还是不断复发,并且癌细胞又结肠转移到肺部,长出了7个肿瘤。在走投无路的情况下,席琳参与到了美国国立癌症研究所的一项临床试验中,负责此次临床试验的,是全球知名的肿瘤学家Steven Rosenberg教授。
Ryan及其家人合照,左数第三个为Ryan
医生先为Ryan女士做了手术,从她的十个肺部病灶里切除了三个获得足够新鲜的肿瘤组织。
接下来才是最关键的部分,研究人员将新鲜肿瘤组织中提取出来的肿瘤浸润淋巴细胞,在专有的GMP设施被分离出不同种类的T淋巴细胞并扩增,在三周内产生千亿TIL。同时,Rosenberg博士将Ryan女士的肿瘤组织进行了基因测序,看是否有基因突变,发现Ryan女士存在KRAS G12D突变。
研究人员进一步筛选并提取出能够特异性识别突变KRAS G12D的CD8 + T细胞,这部分细胞就是可以精准杀伤Ryan女士肿瘤细胞的最强大免疫细胞。之后,研究人员将这部分珍贵的细胞进行扩增培养,最终达到1480亿。
最后,研究人员将1480亿个体外培养好的肿瘤浸润淋巴细胞注射进了席琳体内,让这些肿瘤浸润淋巴细胞去对抗癌细胞。
在随后的9个月中,席琳肺部的7个肿瘤中,有6个明显缩小,并最终消失。最后一个对治疗没有反应的肿瘤则通过手术被医生切除。如今,她的体内已经检测不到任何癌细胞了。
这则病例也被刊登在2016年的国际知名医学杂志《新英格兰医学杂志》上,虽然目前TILs疗法在实体瘤中可谓是成绩不俗,但是不得不说这款疗法令致命的晚期KRAS突变的结直肠癌患者肺部7个专业病灶全部消退,属实令人惊艳!

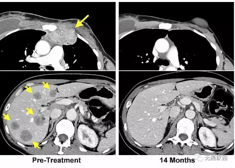
乳腺癌:TILs疗法让生存期仅剩3个月的患者重获新生
2015年,49岁的Judy Perkins 是一名ER+/HER-晚期乳腺癌患者,接受过化疗、内分泌等标准治疗,但是全部耐药,全身多处转移。
鉴于病情较严重,已经没有办法通过常规的方法治疗,所以医生预测,她最多只能活3个月。早在此前,她曾经也接受过免疫治疗的临床试验。
研究人员们在她的肿瘤里寻找到了肿瘤浸润性免疫细胞。在分离出这些免疫细胞后,科学家们决定对它们进行大量扩增,再输回到患者体内。
一周过后,Judy Perkins感觉自己的身体起了明显的变化。比如她长在胸部的肿瘤,感觉逐渐缩小。又过了一两周,胸腔内的肿瘤荡然无存。

左图黄色箭头是治疗前肿瘤位置;右图是治疗结束14个月后的复查:肿瘤完全消失
除了上述提到的结直肠癌患者外,之前无癌家园小编还提到过采用TILs疗法治疗的胆管癌患者的治疗经历!
胆管癌:首位接受TIL疗法的超级幸存者已成功跨过10年
2009年对于Melinda Bachini来说终生难忘,就在儿子14岁生日的当天,她竟被诊断出患有罕见的胆管癌。美国国家癌症研究所的Dr. Steven Rosenberg 博士很不幸地告诉她生存期只有几个月时,她的心情犹如掉进冰窟里。然而人生总是会经历大起大落,神奇的是,她现在不仅从6个孩子的母亲晋升为祖母,更是成为了晚期胆管癌超过十年的幸存者!
这一幸事全都得益于她参加了美国Dr. Steven Rosenberg团队研发的最新的免疫疗法的临床试验,在试验中研究团队采用高度个性化的肿瘤浸润淋巴细胞TILS疗法治愈了Melinda Bachini的肿瘤,这个重大突破被报道在《Science》杂志上,她的抗癌经历也给无数患者带来了信心。

量身定制,TILs疗法精准杀灭肿瘤细胞
除了上述提到的重要癌种外,TILs疗法还在头颈鳞状细胞癌、晚期结直肠癌、晚期胆管癌、晚期乳腺癌等实体瘤方面取得了显著的疗效!
其实,TILs疗法尤其独特之处,与一般的细胞免疫疗法有很大的差别,被认为是为患者“量身定制”。
1
免疫细胞来源不同
TIL的免疫细胞来自于肿瘤组织,而其他细胞免疫疗法大部分来取自血液。这直接决定了免疫细胞识别肿瘤的能力。据估计,肿瘤里分离出的免疫细胞,有60%以上能识别肿瘤,而血液里面分离的免疫细胞,不到0.5%。
2
利用突变精准识别癌细胞
这种新型的疗法不是简单的扩增回输,而是要确定患者病例中特定的突变,之后利用突变信息找到能够最有效瞄准这些突变的T细胞,最后提取出专门患者肿瘤中细胞突变的T细胞,这些细胞具有精准识别癌细胞的能力。
3
联合PD-1抑制剂效果更佳
这些免疫细胞经过体外培养后,重新注入到患者体内。同时,研究团队联合使用了免疫增强药物白细胞介素2和另一种“明星抗癌药”PD-1抑制剂Keytruda,Keytruda即属于另一种免疫疗法免疫检查点阻断,在某些癌症中有显著的效果。
TILs新疗法独特的制备方式
(1)得到患者的肿瘤组织块,其中混杂着体积较大的肿瘤细胞以及体积小而圆的T淋巴细胞;
(2)将不同种类的T淋巴细胞在细胞板上克隆化,并加入高浓度的IL-2来选择培养;
(3)在IL-2的刺激下不同种类的T淋巴细胞都得到了克隆扩增,形成了细胞群;
(4)用患者的肿瘤细胞和扩增后的T淋巴细胞反应,凡是能够发生杀瘤效应的T淋巴细胞群作为阳性TIL群留下(红色),其余的丢弃;
(5)用负载了肿瘤特异性抗原的树突状细胞(DC)进一步扩增培养肿瘤特异性的TIL;最后,回输给预先做了清髓的肿瘤患者。

目前,这款新型的免疫疗法暂未上市,但在全球范围内开展了多项针对各类实体肿瘤(非小细胞肺癌、结直肠癌、卵巢癌、黑色素瘤...)的临床研究,若想了解更多请持续关注无癌家园位点(400-626-9916)。
小编有话说
近年来,科学家们已经做出了相当大的努力来开发新的细胞免疫疗法攻克实体瘤的障碍。我们期待着,越来越多的临床前/临床试验数据能够拼凑出一幅完整的拼图,充分展示TILs细胞疗法治疗众多实体瘤的真正实力。
参考文献
1.https://www.nejm.org/doi/full/10.1056/NEJMoa1609279
2.https://www.inquirer.com/philly/health/cancer/In-a-first-immune-therapy-tames-mutation-in-colon-and-pancreatic-cancers.html