颈部包块诊断不明?原来真相是……
直接甩出现病史供大家讨论:
患者,男性,因左颈部疼痛伴肿胀就诊于某院心内科。
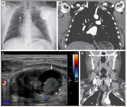
12 周前,患者在该院通过左头静脉放置了植入式心脏复律除颤器(ICD)(图 1)。植入后不久,他左手开始出现短暂的针刺样不适;患者之前也有过类似的症状,并伴有左臂尺神经分布区域的刺痛和感觉下降。神经电生理及 ICD 随访均提示正常。

植入 ICD 5 周后,患者醒来时出现头痛和左侧颈部持续性疼痛,1 天后出现左指尖麻木和刺痛感,伴左臂和脚趾出现放射痛时,遂转院治疗。
转院后患者进行了一系列影像学检查。头颅 CT 平扫正常。胸部和腹部血管造影排除了肺栓塞和主动脉夹层,但显示左锁骨上区有部分可见肿块(图 2b)。颈部超声检查显示一混合回声肿块,直径 4.3 厘米,未见彩色血流信号(图 2c),以上描述支持血肿诊断。

随着患者左臂的麻木和刺痛加剧,次日患者转入住该院心脏中心接受神经外科和血管外科的评估。检查发现左锁骨上窝有压痛和紧实感,无瘀斑或溢液,沿左手背外侧和左三叉神经的眼、上颌分支针刺感稍有减弱。
对左侧颈部和锁骨上窝进行再次行超声检查,发现一个直径为 4.5cm 的混合性低回声病变,提示有是一个不断发展的血肿。
B 超引导下穿刺出 5 ml 浅棕色液体,白细胞 104500 个/m3,中性比 79%,提示为陈旧性血液。革兰染色显示少量中性粒细胞和单核细胞,未见病原体。抗酸染色阴性,并进行了微生物培养。
诊断为左颈部血肿之后,给予患者停用氯吡格雷,增加阿司匹林剂量。病人 2 天后出院。同期头孢氨苄抗感染 7 天,加巴喷丁逐渐减量。
等等,进度条还没完。当我们以为患者好转的时候,疾病出现进一步转折。
出院后 2 周,患者于电生理门诊复查,此时患者诉颈部肿胀已大大减轻,但在左三、四、五指仍有残余的麻木感。5 天后,他出现左侧颈部和锁骨上区反复肿痛,左侧面部、肩部及手臂麻木和刺痛,轻度吞咽困难,左侧面部皮温升高,遂于急诊科就诊。查体发现左三、四、五指指尖仍然麻木,左三叉神经分布区域及左臂感觉异常。
遂转入心内科。血红蛋白水平为每分升 11.4 g(正常范围 13.5~17.5),红细胞比容 32.3%(正常范围 41~53)。其余实验室检查包括肌钙蛋白、肝功、尿常规等均正常。
再次超声检查显示左锁骨上区有直径 3.9 cm 的混合性低回声肿块;左颈内静脉、锁骨下静脉、腋窝静脉、肱静脉和基底静脉未闭。颈部增强 CT 显示一个直径为 4.0 cm 的不均匀肿块,位于颈部左侧的软组织中,深至胸锁乳突肌,紧靠左侧颈总动脉和臂丛(图 2d)。肿块中可见小钙化。未见动脉或静脉阻塞的迹象。
再次对肿块进行针吸,抽出 1.5 ml 血性液体。革兰染色显示有丰富的单核细胞,没有中性粒细胞或病原体。对抽吸物进行培养。并再次予以头孢氨苄和加巴喷丁治疗,2 天后出院。
出院 2 周后,在电生理门诊随访,患者诉左侧颈部和手臂疼痛缓解。他只有左三、四、五指麻木。于是,恢复应用氯吡格雷。
看到这里,我们似乎不能简单将其诊断为颈部血肿了,因为他的症状又回来了。
2 周后,患者左颈部肿胀复发。患者左锁骨上窝局部隐痛,向左耳和左斜方肌放射。除此之外,开始出现面部左侧局部肿胀和咽喉不适,无呼吸困难、声嘶、流涎等不适,再次就诊该院急诊科。
对病史进行回顾,该患者以神经痛和胸前区痛而主。无心力衰竭或心律失常、发热、寒战、出汗、胸痛、体重减轻、食欲改变、皮疹或瘙痒症状。
既往史:有高血压、血脂异常和冠心病。伴有两次 ST 段抬高型心肌梗死,目前左心室射血分数为 28%。
此外,患者有哮喘病史,曾使用糖皮质激素(逐渐减量),有多次插管病史。20 岁时因「睾丸癌」在外院接受了睾丸切除术和化疗。其余病史有:糜烂性食管炎和抑郁症的病史。平素药物包括阿司匹林、氯吡格雷、辛伐他汀、卡维地洛、赖诺普利、加巴喷丁、奎硫平和奥美拉唑。肝素引起血小板减少,各种他汀类药物引起肌痛。
个人史:从 16 岁开始每天抽半包烟,还抽大麻。酗酒,有可卡因使用史,但他在过去的 3 年中一直戒酒和戒可卡因。
入院时体格检查:T 36.7℃, HR 81 次/分,BP 124/74 mmHg,R 16 次/分,SPO2 98%。身高 170 厘米,体重 81.2 公斤,BMI 28.1 kg/m2。
入院时焦虑不安,诉不适。左锁骨上窝扪及一质韧不可移动的肿块,大小 6 cm*4 cm,皮肤无变化,无震颤或杂音。手术三角切口愈合良好。左胸骨上缘有收缩期杂音(1/6 级)。左右臂桡侧和尺侧脉搏、力量、精细的运动协调,对触觉、痛觉对称。余无异常。
实验室检查:血红蛋白水平为 12.2 g/dl,红细胞比容为 34.9%,血浆肌酐水平为 1.65 mg/dl(146μmol/L;正常范围为 0.6-1.5 mg/dl[53-133μmol/L])。心电图显示窦性心律,左心房扩大,陈旧性前侧壁心肌梗塞。
处理:入院后,停用阿司匹林和氯吡格雷,第二天,进行了经肱动脉造影,以评估锁骨下血管是否损伤。结果提示:锁骨下动脉系统正常,无外渗,但肿块区域有渗血迹象。
鉴别诊断
考虑到手术的时间与症状发生时间接近,锁骨上窝肿块的考虑是与 ICD 植入相关血肿。ICD 植入术后并发症(包括出血并发症,如局部血肿,血管并发症,如静脉血栓和感染)的总发生率大约 3%。
就这个病人而言,其抗凝联合抗血小板治疗需要考虑在内。肿块穿刺出棕红色的液体与血肿一致。然而,ICD 植入后出现的血肿通常位于植入部位,而不是锁骨上窝(图 1),它们通常是植入后早期并发症,而不是持续 3 个月的并发症。这个患者三次出现同样的问题,而且是不典型的位置,不典型的时间进程,因此需要与其他疾病相鉴别。
鉴别诊断包括血管原因(如锁骨下血管损伤或动静脉瘘),感染原因(如脓肿),淋巴结受累的疾病(如 Castleman 病、结节病或 Kimura 病),自身免疫性肿块、良性肿块(如复杂囊肿、骨软骨瘤、圆筒状瘤或毛状瘤)。原发性癌症(淋巴瘤、肉瘤或副神经节瘤)和转移性癌症(起源于呼吸道、消化道、甲状腺或既往的癌症)
最终对肿块进行了穿刺活检。
真相大白
病理讨论
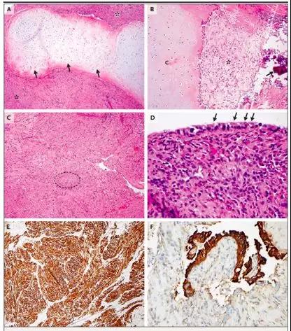
活检标本的显微镜检查(图 3)显示成熟组织类型的混合物,缺乏细胞异型性;这些组织包括透明软骨、骨、平滑肌和纤毛柱状上皮,与呼吸道上皮一致。肌分化标志物结蛋白免疫组化染色显示平滑肌束,角蛋白免疫组化染色显示纤毛柱状上皮细胞。
来自多个胚层(中胚层中的平滑肌、软骨和骨骼,以及内胚层中的呼吸上皮)的成熟元素的混合物,缺乏细胞异型性,支持成熟畸胎瘤的诊断。

原来患者既往的病理报告为:睾丸肿瘤混合生殖细胞肿瘤伴有部分未成熟畸胎瘤成分。他的原发肿瘤含有多种组织学亚型,60% 为未成熟畸胎瘤,30% 为胚胎性癌,10% 为绒毛膜癌。
畸胎瘤不是传统意义上的癌症,其转移也是主要因为生殖细胞的成分。生殖细胞肿瘤转移的任何典型部位复发,包括腹膜后(最常见)、肺、纵隔、颈部以及锁骨窝、骨盆和其他部位。
根据这些信息,病理结果与转移性未成熟畸胎瘤伴间充质成分成熟最为吻合。该肿块为混合性生殖细胞肿瘤的远处转移。
最终患者做了颈部肿块完整切除。病理与活检一致。
病例讨论
畸胎瘤有两个主要的危险。首先,持续生长但生长缓慢;其次,畸胎瘤可以进行体细胞转化,导致癌症,如原始神经外胚层肿瘤、横纹肌肉瘤和腺癌。
评估转移性非精原瘤患者预后不良需考虑一下三点:第一,存在纵隔原发肿瘤预后不良;第二,非肺脏转移的预后不良;第三,睾丸切除术后肿瘤标志物水平提示预后。
在接受治疗的转移性非精原性肿瘤的患者中,预后良好者五年生存率大于 90%、预后中等者五年生存率可达到 80%,不良预后者 50%。该患者诊断为原发性睾丸癌伴淋巴结转移。根据前两个标准,他会有很好的预后;因此他的预后将依赖于第三个标准的睾丸切除术后肿瘤标志物水平。
即使有转移,治疗这个病人第一步是睾丸切除术。因为肿瘤受血液-睾丸屏障保护,化疗药物无法进入。
转移性非精原瘤患者的标准治疗方案通常是以顺铂为基础的化疗方案,伴或不伴手术。他在切除睾丸后立即接受化疗。典型的一线方案包括依托泊苷和顺铂。根据分期和预后的具体情况,该患者的疗程包括这两种药物,可能还有第三种药物(博来霉素或异环磷酰胺)。该疗程通常以 3 周周期给予 3 或 4 个周期。这种治疗的目的是为了治愈。后续的治疗就是随访。