高效抗癌!“钻石”靶点NTRK成新晋顶流!多种实体瘤患者开启长生存模式!
2018年11月26日,整个医疗界和癌友圈都为一款FDA新批准上市的抗癌药物沸腾,这就是全球首个不区分肿瘤来源用于初始治疗的靶向药--Vitrakvi ®(拉罗替尼,larotrectinib,下文统称拉罗替尼),用于成人和小儿具有神经营养受体酪氨酸激酶(NTRK)基因融合的实体瘤治疗。
这在肿瘤治疗史上是一个振奋人心的里程碑。
这款堪称“治愈系”的传奇抗癌药获批的临床数据的疗效让人印象深刻:在TRK融合癌患者的临床试验中,入组的55位患者,拉罗替尼的总缓解率高达ORR为75%,其中22%的患者完全缓解。基于此数据被批准用于成人和小儿具有神经营养受体酪氨酸激酶(治疗NTRK)基因融合的实体瘤治疗。
这款新型的抗癌药物每年可以帮助成千上万的人,它已经给世界各地的患者来了新的希望。各类NTRK融合癌症接受治疗后奇迹重生!
婴儿纤维肉瘤TPM3-NTRK1融合病灶全部消退


胶质母细胞瘤ETV6-NTRK3融合肿瘤快速消退
自此,又一个“钻石”靶点基因——NTRK迅速地火遍了癌友圈,开启了泛癌种治疗的新纪元!除了拉罗替尼,全球对于NTRK药物的研发正在如火如荼的进行中,今天无癌家园小编就带领大家详细地认识下NTRK基因、目前上市的新药及临床案例。
初识“钻石”基因NTRK,罕见且珍贵
NTRK之所以被称为“钻石”基因,首先是因为它非常罕见,在中国常见的肺癌、乳腺癌、结直肠癌中,只有1%~5%的患者存在这种突变,而一些罕见的癌症,比如婴儿纤维肉瘤和分泌型乳腺癌,存在NTRK融合的频率却高达90%~100%。其次,针对NTRK融合突变上市的药物及在研的药物临床效果显著,接受治疗的患者通常都能快速起效,很多晚期患者在使用NTRK抑制剂后得到了重生,像钻石一样罕见又珍贵。

各类癌症出现NTRK融合的频率
目前已发现NTRK融合存在于超过25类癌症中,包括乳腺癌、结直肠癌、肺癌、甲状腺癌等,成人和儿童患者都可以使用。

如何检测NTRK基因
目前,有多种方法可用于检测NTRK基因融合,包括FISH、IHC、NGS和PCR检测。


由于在美国,Vitrakvi®(larotrectinib,拉罗替尼)可用于治疗患有NTRK基因融合但无已知获得性耐药性突变的转移性实体瘤患者。
因此,在2020年10月23日,拜耳宣布,美国食品药品监督管理局(FDA)已批准FoundationOne®CDx用作首个伴随诊断方法,以帮助鉴定可能适合使用Vitrakvi®(larotrectinib)治疗的神经营养受体酪氨酸激酶(NTRK)基因融合阳性患者。FoundationOne CDx是FDA批准的针对所有实体瘤的综合基因组分析(CGP)测试。
FDA批准的NTRK靶向药:拉罗替尼、恩曲替尼
目前,全球上市的用于治疗NTRK融合基因实体瘤的药物有两个,分别是拜耳/LOXO的拉罗替尼(2018年11月被FDA批准上市)以及罗氏的恩曲替尼(2019年8月被FDA批准上市)。这两款药物成为癌症疗法从“基于癌症在体内的起源”转向“基于肿瘤的遗传特征”这一演变过程中的重要里程碑。

适应症

临床效果

无癌家园临床招募
(1)去年7月,拉罗替尼将在国内开展临床招募的信息公布后,引起了广泛的关注,经过半年多的审批流程,近日,广谱天价抗癌药拉罗替尼针对成人实体瘤和儿童实体瘤的两项试验终于正式在国内开始招募患者了!这意味着,国内的患者也终于有机会免费用上这款美国的抗癌“特药”!
适合患者:
通过分子学方法检测出NTRK1、NTRK2或NTRK3融合基因的局部晚期或转移性恶性肿瘤,必须接受过 适合其肿瘤类型和疾病分期的既往标准疗法失败后的患者(即将招满,想申请的火速联系医学部400-626-9916)
(2)经过国内近半年的审批流程,近日,我们得到罗氏公司的信息,目前“治愈系”抗癌药恩曲替尼针对成人实体瘤的临床试验终于正式在国内开始招募患者了!儿童患者的招募也正在协商中。这意味着,国内的患者也终于有机会免费用上这款美国的抗癌“特药”!这对于所有国内的患者来说又多了一份“治愈”的希望!
接下来小编分别列举关于拉罗替尼、恩曲替尼在各大癌种中的临床研究进展及个别案例!
拉罗替尼
NEW:客观缓解率达71%,拉罗替尼迎战TRK融合肺癌
拉罗替尼(Larotrectinib)是一种具有中枢神经系统(CNS)活性且高度选择性的EMA和FDA批准的TRK抑制剂,在多种癌症中显示出79%的客观缓解率(ORR)和35.2个月的中位反应持续时间(DoR)。本次报告了接受拉罗替尼治疗肺癌患者的最新数据。
招募了14例转移性TRK融合肺癌患者:13例非小细胞肺癌和1例小细胞肺癌。11例NTRK1 融合,3例 NTRK3融合。7名患者发生了基线中枢神经系统CNS转移。患者平均接受了三种先前的治疗(范围1-5)。
结果显示:拉罗替尼的客观缓解率为71%:其中1例患者为完全缓解,9例患者为部分缓解,3例为疾病稳定,1例疾病进展。中枢神经系统转移患者的客观缓解率为57%。估计12个月的无进展生存PFS率为69%。
由此可见,拉罗替尼的耐受性良好,治疗中出现的不良事件主要为1~2级。
在NTRK基因扩增食管癌中,拉罗替尼具有抗肿瘤活性
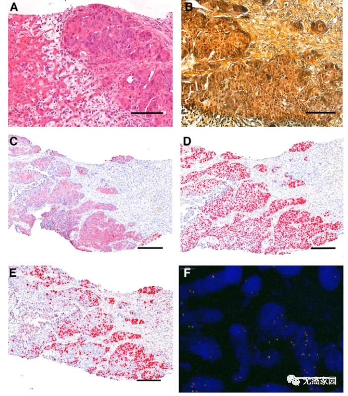
今天小编再给各位癌友分享一则2020年4月份刊登在《The Oncologist》杂志上的NTRK基因扩增食管癌临床案例,以供大家参考。

此名患者是一位71岁的男性,2018年12月感到吞咽障碍、伴有咳嗽、呼吸困难等症状,3个月内体重减轻20公斤,身体状况不佳,ECOG体力状况评分为3分(生活仅能部分自理,日间一半以上时间卧床或坐轮椅)。患者没有酗酒、吸烟史,也未得过肿瘤,食管胃十二指肠镜检查显示在食管中断有狭窄性食管癌,CT显示双侧肺转移,超声检查和CT显示多发性肝转移。食管肿瘤活检和经超声检查控制肝活检诊断确认。
经过FoundationOne CDx测试等常规组织学检查,确定患者为转移性鳞状细胞食管癌。测序结果中显示肿瘤组织中含有NTRK1基因突变,遂从2019年2月4日开始服用拉罗替尼治疗,患者接受2×100毫克的标准剂量,治疗期间未发生副作用。

患者治疗前于2019年1月4日完成螺旋CT扫描,起初显示出多处肺和肝转移。在治疗后评估ECOG体力状况评分为1,并且体重增加9公斤,能够离开医院且生活自理。2019年4月17日进行的随访活检检查(食管胃十二指肠镜检查)证实了患者的食管再无肿瘤。

恩曲替尼
NEW:恩曲替尼在 NTRK / ROS1阳性伴CNS转移NSCLC中疗效显著
在13例可评估的NTRK-fp NSCLC患者中,基线时有8例(61.5%)的CNS病变。接受过事先脑部放疗(RT)的患者为5名(38.5%),其中3例在恩替替尼之前完成≥2个月的放疗。
在161例可评估的ROS1-fp NSCLC患者中,基线中枢神经系统病变占46例(28.6%)。有27名患者(16.8%)接受了脑部放疗,其中有10例在恩曲替尼之前完成了≥2个月的放疗。
NTRK/ROS1组客观缓解率ORR分别为62.5%和52.2%,无进展生存期PFS分别为8.9个月和8.3个月,安全性与先前报道的一致。

横跨十大癌种!高效抗脑转靶向药恩曲替尼势不可挡
2019年8月,FDA加速批准了全球第三款广谱“治愈系”抗癌药Entrectinib(Rozlytrek,恩曲替尼,RXDX-101)上市,用于治疗成人和儿童患者神经营养原肌球蛋白受体激酶(NTRK)融合阳性、初始治疗后局部晚期或转移性实体肿瘤进展或无标准治疗方案的实体瘤患者,以及ROS1阳性非小细胞肺癌(NSCLC)患者。
临床数据显示:对于携带神经营养性酪氨酸受体激酶(NTRK),ROS1或间变性淋巴瘤激酶(ALK)融合的儿童肿瘤类型对治疗的响应率高达100%(完全缓解和部分缓解)!包括难治的中枢神经系统中的肿瘤!这个指趾是史无前例的,相信给儿童肿瘤患者打开了一扇全新的希望之门。
1)在NTRK融合阳性实体瘤患者中,entrectinib(恩曲替尼,RXDX-101)的客观缓解率ORR(肿瘤缩小)为57.4%,并且在横跨10种不同类型肿瘤中均观察到了客观缓解(肿瘤缩小)。存在脑转移的患者中,entrectinib的颅内客观缓解率ORR为54.5%,其中超过1/4实现完全缓解(病灶全部消失)。
2)在局部晚期或转移性ROS1阳性非小细胞肺癌NSCLC患者中,临床试验结果表明,在51名ROS1阳性NSCLC患者中,总缓解率达到78%,完全缓解率达到5.9%。
小编有话说
除了上述提到的两款不限癌种的抗癌药物外,目前多款针对NTRK的药物临床证实效果显著,并且都是广谱抗癌药物,对很多不同肿瘤都有效,因此需要提醒大家的是,即使是标准治疗方案失败,也可以尝试进行基因检测,一旦存在ALK,ROS1,NTRK1、NTRK2或者NTRK3基因融合,就可以尝试这些特效的广谱抗癌药。若想进行基因检测或了解更多国内外前沿癌症研究请持续关注无癌家园(400-626-9916)。
目前已经上市的多款广谱抗癌药:拉罗替尼、恩曲替尼、LOXO-292等仍在国内的招募仍在进行,由国内肿瘤领域权威的几家医院率先开展。以前这些美国研发上市的抗癌新药对于国内的患者来说遥不可及,近两年随着国家的重视,加快了各类抗癌药物研发上市的审批速度,让更多国外的新药好药,也能造福国内的癌症患者。希望这款药物能尽快在国内完成临床试验,顺利上市,造福患者。
参考文献
1.http://www.gene-science.com/?post_type=products&page_id=10066
2.https://www.fasttrk.ca/en/which-patients-to-test-for-ntrk-gene-fusions/#which-patients-should-be-tested
3.https://www.esmo.org/meetings/esmo-virtual-congress-2020/programme
4.https://theoncologist.onlinelibrary.wiley.com/doi/epdf/10.1634/theoncologist.2019-0641