甲状旁腺囊肿的超声诊断
甲状旁腺囊肿的发生率较低,病因尚不完全清楚,可发生于下颌骨至上纵隔的颈前各区域,根据其生化指标及临床表现,可分为功能性和无功能性,其中无功能性的约占总数的80%左右,无功能性的囊液一般为无色清亮的液体,功能性囊肿因含有含铁血黄素,一般为黄色或棕色。甲状旁腺无功能性囊肿女性多见,而功能性囊肿男性多见,无功能性甲状旁腺囊肿一般表现为无症状的肿物,以左下甲状旁腺居多,较大的可引起压迫症状;功能性主要是甲状旁腺功能亢进的症状。
甲状旁腺囊肿主要通过病理学检查确诊,病理:一般单房,较薄的纤维囊壁内衬单层立方或柱状细胞,囊壁间有巢状分布的甲状旁腺主细胞。穿刺抽吸并测定囊液内含高浓度甲状旁腺素也可初步诊断,但穿刺抽液可导致囊液外漏或细胞种植。
超声表现:
1、位置、大小:大部分甲状旁腺囊肿位于下甲状旁腺区,特别是左侧,一般位于位于甲状腺下动脉的后侧方;大小不一。
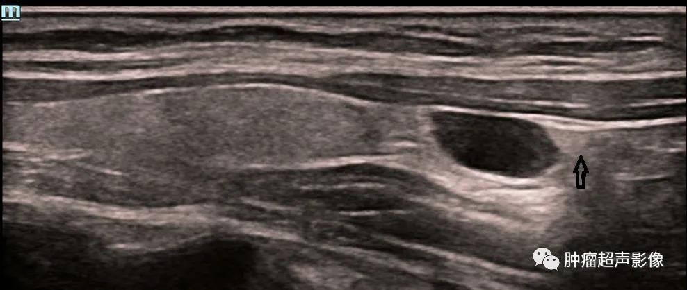
2、形态、边界:呈椭圆形无回声(甲状腺囊肿一般圆形),边界清晰,与甲状腺组织之间有高回声包膜分隔,囊壁薄而光滑;
3、回声:注意寻找边缘是否有残留的高回声甲状旁腺(如果有可帮助诊断甲状旁腺来源),内透声好,其内无点状强回声或飘浮的细密点状回声(甲状腺囊肿的无回声内一般可以见彗星样强回声或点状回声或分隔);
4、吞咽时与同侧甲状腺呈不同步运动,加压探头囊肿可变形;
5、由于囊壁菲薄,CDFI壁上及内部无血流,但是可观察其与甲状腺上下动脉的关系,辅助判断位置。


甲状腺左侧叶下极旁见边界清的无回声,椭圆形,与甲状腺组织之间有高回声包膜分隔,囊壁薄而光滑,透声佳,无血流,上极侧可见残留的高回声甲状旁腺(箭头示)从而确定甲状旁腺囊肿。

甲状腺左侧叶下极旁见边界清的无回声,椭圆形,与甲状腺组织之间有高回声包膜分隔,下极侧可见残留的高回声甲状旁腺(箭头示)从而确定甲状旁腺囊肿。

甲状旁腺囊肿:甲状腺左侧叶下极旁见边界清的无回声,椭圆形,与甲状腺组织无关,囊壁薄而光滑,透声佳,无血流。