高脂饮食终于打了翻身仗 抑制肿瘤转移!
一直以来,高脂饮食被视为一种非常不健康的生活方式,医生和专家都将其与肥胖、心血管疾病、肿瘤等联系起来。如今,一项研究为其翻身:高脂饮食竟然能够抑制结直肠癌的转移。
半分钟读全文
高脂饮食能抑制大肠癌腹腔种植转移。
高脂食物能触发T细胞从血液迁移到内脏脂肪中,进一步激活脂肪巨噬细胞发挥作用,阻挡了癌细胞在腹腔脂肪中种植。
高脂饮食需趁早,且可协同化疗药物增强对腹膜转移的治疗效果。
中国肿瘤患者饮食中遇到的威胁更多的来源于高碳水饮食,应合理规划。
高脂饮食抑制大肠癌腹腔种植转移
全球范围内,结直肠癌的发病率在男性和女性中分别居癌症的第3位和第2位。结直肠癌患者首选也是最有效的治疗方法是手术治疗,但是,对他们来说,最大的威胁是复发转移。
其中,腹腔种植转移是治疗难度最大的,往往意味着进入晚期阶段,多数仅接受姑息性手术和化疗等支持性治疗。在结直肠癌患者中,大约有7%在初次手术时就发现有腹腔种植转移,在根治性手术后的随访过程中有高达19%的患者出现腹腔种植转移,并且80%的患者死于这种转移。因此,抑制结直肠癌的腹膜转移能大大减少患者的死亡率。
在近期的研究中,科学家发现,高脂饮食能在抑制结直肠癌的腹腔种植转移中发挥作用,让我们来一探究竟。

脂肪细胞是制胜要塞
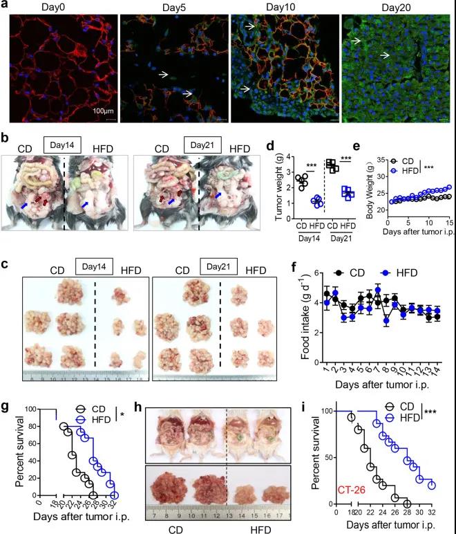
研究人员通过在小鼠腹膜内注射结直肠癌细胞成功建立了模仿腹膜转移的小鼠模型,发现这些癌细胞优先快速转移到内脏脂肪。
高脂饮食组的小鼠体重明显增加,而摄入普通食物的小鼠没有变化。在实验条件下,肿瘤注射后第20天,对照组小鼠的所有内脏脂肪几乎被耗尽。出乎意料的是,高脂饮食明显抑制了肿瘤注射后肠系膜、大网膜和肾周脂肪中的肿瘤形成。

为了探索高脂饮食抑制腹膜转移的原因,研究人员做了更多的实验,发现在缺乏淋巴细胞的小鼠中,高脂饮食并不能对结直肠癌细胞腹膜播种发挥抑制作用。由此可推断,这种抑制作用必须依靠淋巴细胞发挥作用。在这个启示下继续探索,研究人员发现,食用高脂食物能触发T细胞从血液迁移到内脏脂肪中,这些聚集在脂肪细胞中的T细胞能激活脂肪巨噬细胞发挥作用,从而阻挡了癌细胞在腹腔脂肪中种植。
高脂饮食要趁早!
“真是令人振奋的消息,我现在就去吃大肉!”
等等!实验表示早期高脂饮食(仅7天)就可达到与长期高脂饮食相似的效果,而且7天高脂饮食与剂量减半的奥沙利铂治疗效果相当。当然高脂饮食也可协同奥沙利铂减少其副作用的同时能增强化疗药物对腹膜转移的治疗效果。
但是,实验结果强调高脂饮食治疗的及时性至关重要,仅在早期阶段给予高脂饮食的小鼠取得的效果类似于整个疗程都接受高脂饮食的小鼠。因此,提示最佳的高脂饮食治疗必须在手术后立即进行,以抑制这个时间段内大量癌细胞的释放和扩散。

低碳水饮食PK 高脂饮食
对大多数中国人而言,米饭面条带来的快乐是吃多少肉都替代不了的,碳水的摄入往往比高脂饮食更应该受重视。
首先,碳水类食物必须吃,不然容易引发暴食,不能因为节食或减肥而杜绝,每餐一个拳头的量即可。
其次,吃那些?目前我们主要的碳水来源普遍是米、面、糖等。洋葱建议把全谷物食物加入其中。因为把全谷物加工成精白面粉的过程使其能量密度增加了10%,而膳食纤维的含量减少了80%,蛋白质的含量也减少了近30%。故而与等体积的精致谷类食物相比,全谷物食物的纤维和水分含量更高,能量较低。
此外,洋葱建议选择植物性碳水或者天然食物来源碳水,如蔬菜(红薯玉米山药)和水果等,不建议食用过多加工的碳水化合物,如油炸食品(麻花、油条、油饼等)。
参考文献
[1] Wei Xiang et al. Dietary fats suppress the peritoneal seeding of colorectal cancer cells through the TLR4/Cxcl10 axis in adipose tissue macrophages. Signal Transduct Target Ther. 2020 Oct 15;5(1):239.
[2] Liu S. Intake of refined carbohydrates and whole grain foods in relation to risk of type 2 diabetes mellitus and coronary heart disease. J Am Coll Nutr 2002; 21:298.
[3] https://mp.weixin.qq.com/s/MIIwUfnHQ38kTluAgk23Ew
[4] Gross LS, et al. Increased consumption of refined carbohydrates and the epidemic of type 2 diabetes in the United States: an ecologic assessment. Am J Clin Nutr 2004; 79:774.