810亿个免疫细胞对抗转移病灶,TILs疗法助晚期癌症患者死里逃生!
今天,小编要跟大家分享的一种免疫疗法,竟然在实体瘤的治疗上表现出优秀的临床结果,这就是:肿瘤浸润淋巴细胞(TILs)疗法。因为它,更多癌症患者有了治愈的希望。
TILs疗法,简单点讲就是将手术切除的肿瘤组织中的淋巴细胞分离纯化,挑选出其中能特异性抗癌的淋巴细胞,扩增活化后回输。这类疗法拥有30多年的历史,最早用于恶性黑色素瘤,近年来在乳腺癌、结直肠癌、胆管癌、宫颈癌、肺癌等多种实体瘤中都体现出不俗的疗效。
810亿个T细胞回输患者体内,10天后她的肿瘤完全消退
图片
早在2017年10月13日,《华尔街日报》中报道了一则重磅消息,一名全身转移性乳腺癌患者,在美国国家癌症研究所接受免疫细胞(肿瘤浸润性淋巴细胞,TIL)注射后,两年来多次检查体内均未发现癌细胞。这则消息无疑给免疫疗法治疗癌症注入了一针强心剂。

图片《华尔街日报》发文:癌症获得动力的免疫疗法治疗
2015年,故事的主人公Judy Perkins是一名49岁的ER+/HER-晚期乳腺癌患者,接受过化疗、内分泌等标准治疗,但是全部耐药,全身多处转移。
鉴于病情较严重,已经没有办法通过常规的方法治疗,所以医生预测,她最多只能活3个月。早在此前,她曾经也接受过免疫治疗的临床试验。
当所有方法都用尽之后,Ms. Perkins了解到美国国立卫生研究所Dr. Rosenberg开展的临床试验肿瘤浸润淋巴细胞对转移癌患者的免疫治疗。这项临床试验是基于已经在黑色素瘤患者身上显示疗效了的免疫疗法,然后将受试对象扩大到其他实体转移性肿瘤。Ms. Perkins有幸加入到了该项临床试验中。

Dr. Rosenberg将提取出的肿瘤细胞分成24份,然后观察肿瘤浸润性淋巴细胞(TIL)是否攻击这些癌细胞。结果发现,24份肿瘤细胞中有4份发生了免疫细胞攻击癌细胞的现象。随后,将这四份肿瘤中应用的TIL细胞提取出来,进行扩增,形成810亿个能够攻击癌细胞的T细胞,用于回输到Ms. Perkins体内。
一周过后,Judy Perkins感觉自己的身体起了明显的变化。比如她长在胸部的肿瘤,感觉逐渐缩小。又过了一两周,胸腔内的肿瘤荡然无存。

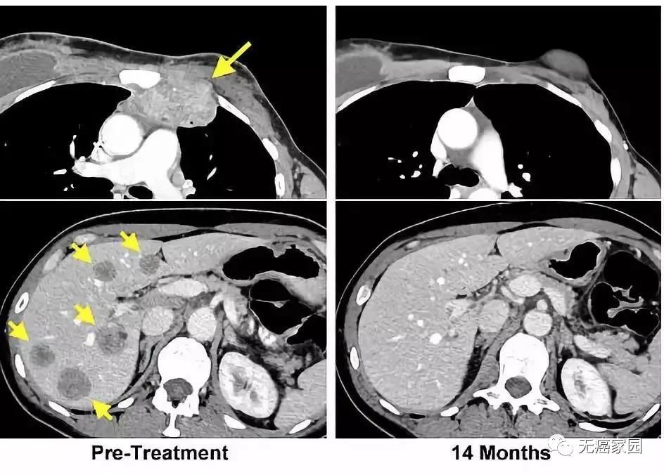
左图黄色箭头是治疗前肿瘤位置;右图是治疗结束14个月后的复查:肿瘤完全消失
Ms. Perkins被治愈这一事实给癌症患者及癌症疗法研究者带去了极大的鼓舞。虽然她只是一个个例。但是她体内转移性乳腺癌细胞已经检测不出这一事实,是一非常重要的结果。
时隔多年,在2019年3月的美国患者合作伙伴会议之后,卡罗琳·奥菲特(Caroline Offit)与Judy Perkins谈了她接受转移性4期乳腺癌免疫治疗的经历。
她在交流中着重倡导患者应该积极参与临床试验的重要性,只有信任治疗团队,配合临床试验,才能把握一线生机。

Judy Perkins在第六届年度患者合作伙伴美国会议上与MBA的Mary Stober Murray进行了交谈
疾病控制率89%!LN-145疗法获FDA突破性疗法称号!
2019年6月,FDA批准肿瘤浸润淋巴细胞(TIL)治疗方法LN-145为突破性的治疗指定,这是用于实体瘤的细胞免疫疗法首次获此殊荣,相信距离上市也仅是时间问题,一旦FDA批准,这将是首款用于实体瘤的细胞免疫疗法,将给癌症患者带来巨大的生存获益。
FDA此次授予是基于正在进行的第二阶段innovaTIL-04(C-145-04)积极的试验的数据,摘要数据显示,晚期宫颈癌患者的TIL治疗总体反应率(ORR)为44%。
在2019年2月4日的数据截止时,有27名可评估的患者。
结果显示:
1、44%(12名)的患者有效果,包括1名完全应答,9名部分应答和2个未确认的部分应答;
2、疾病控制率为89%;
3、中位随访时间为3.5个月,12例患者中有11例持续应答;
4、没有任何严重的副作用发生。
5、疾病控制率89%!首个迎战实体瘤的细胞免疫疗法获FDA突破性疗法称号!

量身定制,TILs疗法精准杀灭肿瘤细胞
除了上述提到的乳腺癌、宫颈癌外,TILs疗法还在肺癌、黑色素瘤、胆管癌、头颈鳞状细胞癌等实体瘤方面取得了显著的疗效!虽然这款新型的免疫疗法暂未上市,但在全球范围内开展了多项针对各类实体肿瘤(非小细胞肺癌,结直肠癌,卵巢癌,黑色素瘤...)的临床试验,想参加的患者可以致电无癌家园咨询入组信息(400-626-9916)。
(相关文章:深度科普!基于自体肿瘤浸润淋巴细胞(TIL)的免疫疗法最新研究进展及招募信息汇总!)
其实,TILs疗法尤其独特之处,与一般的细胞免疫疗法有很大的差别,被认为是为患者“量身定制”。
1 免疫细胞来源不同
TIL的免疫细胞来自于肿瘤组织,而其他细胞免疫疗法大部分来取自血液。这直接决定了免疫细胞识别肿瘤的能力。据估计,肿瘤里分离出的免疫细胞,有60%以上能识别肿瘤,而血液里面分离的免疫细胞,不到0.5%。
2 利用突变精准识别癌细胞
这种新型的疗法不是简单的扩增回输,而是要确定患者病例中特定的突变,之后利用突变信息找到能够最有效瞄准这些突变的T细胞,最后提取出专门患者肿瘤中细胞突变的T细胞,这些细胞具有精准识别癌细胞的能力。
3 联合PD-1抑制剂效果更佳
这些免疫细胞经过体外培养后,重新注入到患者体内。同时,研究团队联合使用了免疫增强药物白细胞介素2和另一种“明星抗癌药”PD-1抑制剂Keytruda,Keytruda即属于另一种免疫疗法免疫检查点阻断,在某些癌症中有显著的效果。
小编有话说
近年来,科学家们已经做出了相当大的努力来开发新的细胞免疫疗法攻克实体瘤的障碍。我们期待着,越来越多的临床前/临床试验数据能够拼凑出一幅完整的拼图,充分展示TILs细胞疗法治疗众多实体瘤的真正实力。
相关文章:再为生命续航!新型“定制款”TIL疗法显著延长晚期肺癌生存期!
向死而生,跨越10年的超级幸存者凭借新型免疫疗法TIL完成生存期大逆转!
参考文献
1.https://pubmed.ncbi.nlm.nih.gov/29867227/
2.https://medivizor.com/blog/2018/06/10/tumor-infiltrating-lymphocytes-breast-cancer/