整合素,全面促进肿瘤进展的免疫分子
在多细胞生物体中,细胞与周围细胞外基质(ECM)的相互作用,对组织的生理学和完整性至关重要。在哺乳动物细胞中,整合素是主要的ECM受体,提供外部基质支架和内部肌节...
在多细胞生物体中,细胞与周围细胞外基质(ECM)的相互作用,对组织的生理学和完整性至关重要。在哺乳动物细胞中,整合素是主要的ECM受体,提供外部基质支架和内部肌节...
席琳·瑞安1个癌症患者,7个肿瘤和1480亿个免疫细胞=1个惊人的恢复,这一串指趾令人惊艳,但这不是一串单纯的指趾,这是席琳·瑞安(Celine Ryan)经历过...
免疫治疗是近年来肿瘤的新兴疗法,针对程序性死亡受体(PD-1)及其配体(PD-L1)通路的免疫检查点抑制剂,对包括非小细胞肺癌(NSCLC)在内的多种实体瘤患者均...
“医生,我不要做化疗了!”现实生活中,有越来越多的患者及其家属,不愿意接受化疗,确诊后听到要化疗会很抗拒,甚至因为要化疗而拒绝治疗。其实,就目前来看,化疗是一种重...
今天,小编要跟大家分享的一种免疫疗法,竟然在实体瘤的治疗上表现出优秀的临床结果,这就是:肿瘤浸润淋巴细胞(TILs)疗法。因为它,更多癌症患者有了治愈的希望。TI...
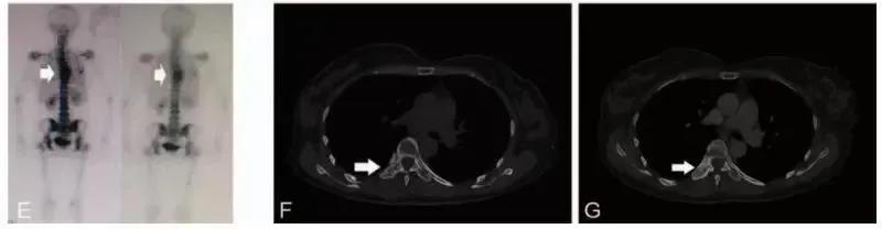
CheckMate 9KD(NCT03338790)研究是一项纳武利尤单抗联合方案治疗mCRPC的2期临床研究。研究根据患者的既往治疗状态将患者分为A、B、C三个...
1月31日,由北京市希思科临床肿瘤学研究基金会、东方临床肿瘤研究中心与中国医药创新促进会抗肿瘤药物临床研究专业委员会共同主办的“2020抗肿瘤新药研究及肿瘤治疗年...
“有没有必要用胸腺肽类药物(胸腺法新/胸腺肽/胸腺五肽)提升免疫力?” 图片那么问题来了,这些药物真的能提升免疫力吗?今天,我们一起来看看胸腺肽类药物究竟是哪路的...
秋冬换季时节,对于过敏性鼻炎患者来说,是又一年“流泪”的开始,鼻塞、流涕、喷嚏不断、爱流泪的你们,无须多言,互递纸巾,也许是最心照不宣的问...
肺癌是我国发病率和死亡率最高的恶性肿瘤,随着医学的发展和技术的革新,肺癌的生存率得到了大幅提升。尤其近些年来,分子靶向药物和免疫药物的不断涌现,肺癌的治疗逐渐向精...
一些与血液或免疫系统疾病相关的基因变异可能会对Allo-HSCT的结果产生影响。2020年12月6日,第62届美国血液学会年会(ASH 2020)召开期间,高博医...
“阿嚏~”零下的天气,羽绒服也开始挡不住寒气,打喷嚏打寒颤,整日担心要是感冒该如何是好。 很多人说,过冬是个坎,尤其是免疫力低下...
本文刊登于《中国实用妇科与产科杂志》2020,36(11):1040-1045DOI:10.19538/j.fk2020110103【引用本文】王海燕.复发性流产...
01 在这个世界上,有两样东西值得我们仰望终生:一是我们头顶上璀琛的星空,二是人们心中高尚的道德律。 从古至今,人们常常赞叹...
辅助生殖技术的发展使不孕患者的临床妊娠率极大提高,但仍有部分患者在多次移植优质胚胎后仍未获得临床妊娠。目前,对于反复种植失败(RIF)的定义国内外尚无统一标准,现...
樊嘉院士 肝癌仍是最大挑战之一 2018年统计数据显示,全球范围内肝癌发病率居第六位,死亡率居第四位。中国新发肝癌占全球的55%,总体5年生存...
美国血液学年会(ASH)成立于1958年,是全球最大的关注血液疾病病因及治疗的专业协会,其使命在于促进血液病研究及诊治水平的提升。2020年12月2日~8日,第6...
众所周知,肠道微生物组对人体健康具有包括从心理健康到生理健康的一系列深远影响。然而,对于科学家来说,关于微生物组在人类疾病中作用的研究结果之间的不一致性是一个普遍...
01 近日,德国科学家哈拉尔德·楚尔·豪森(Harald zur Hausen,简称豪哥...
压力就像一把屠宰睡眠的利刃,在多少个夜黑风高的夜晚奋明目张胆的“割走”睡眠,引起失眠。因此压力可能影响到觉醒到睡眠状态之间的快速转换。目前研究表明蓝斑去甲肾上腺素...
大量细胞因子的释放会导致COVID-19的一些最严重症状。当大量的免疫细胞释放细胞因子时,这会增加炎症,并形成一个反馈循环,从而使得更多的免疫细胞受到激活,这种现...
ADE是病毒借助非中和抗体介导的胞吞作用,进入没有病毒受体的机体细胞。怎么看都像病毒对人体防御系统的适应和反击?我们的策略呢? --挑食喵的前言抗体依赖的增强作用...
胆管癌治疗现状胆管癌是一种预后不良的侵袭性肿瘤,对治疗有很大的挑战,因此,迫切需要开发新的治疗策略。手术是胆管癌的主要治疗方式,但仅有一小部分(约35%)早期患者...