如何判断超进展和假进展?何时进行疗效评估?真实病例揭秘肺癌免疫治疗那些事
免疫治疗的出现,对于驱动基因阴性的晚期肺癌患者而言,显著改善了生存,但免疫治疗得以应用在临床上依然面对着许多疑点,例如:
免疫治疗后病灶增大,是超进展、真性进展还是假性进展?
对于存在胰腺炎的患者,是否绝对禁用免疫治疗?
免疫治疗的疗效评估需要多久?
1月27日,金陵肺癌网络论坛第14场MDT,专家们围绕免疫治疗的这些问题展开了深入探讨。
案例一:治疗5天后出现心包积液+胸水,是否考虑超进展
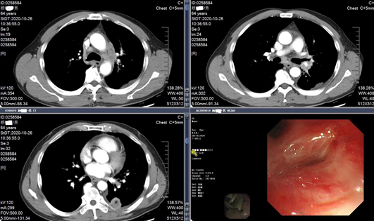
患者基本信息:EGFR/ALK阴性晚期肺腺癌
顾xx,男性,64岁。
2020-10-23因“咳嗽伴声音嘶哑一月”入院。有痛风病史,吸烟史30包年。慢性阻塞性肺疾病(COPD)病史。

入院CT结果
病理结果报告示:(肺)见低分化癌组织,结合免疫组化结果倾向腺癌。
基因检测:EGFR(-)、ALK(-);ECOG PS:0;PD-L1表达未知。
诊断:左肺腺癌T4N3M1a IVA期(心包)。
治疗过程:用了免疫+抗血管+化疗,疑似出现超进展
■ 指南推荐:免疫+化疗
患者属于驱动基因阴性且PD-L1表达未知的IVA期左肺腺癌患者,根据目前的美国国家综合癌症网络(NCCN)指南和中国临床肿瘤学会(CSCO)指南,患者可选择的方案有:培美曲塞+铂类化疗药+免疫药物。
2020年CSCO非小细胞肺癌指南推荐

■ 5天后出现急性心包积液+双侧胸水
患者从2020-11-08开始予以培美曲塞+顺铂+贝伐珠单抗+帕博利珠单抗进行治疗,5天后开始出现胸闷气喘、颈静脉怒张、听诊双肺哮鸣音、心音遥远。2020-11-16彩超提示双侧胸水,右侧中等量积液,盆腔少量积液。

2020-11-16CT结果
引流胸水及心包积液,血常规检测发现患者血红蛋白达到90g/L。

穿刺位置及心包积液血常规检测结果
将心包积液进行病理检测,可见腺癌细胞,初步判断为疑似腺癌超进展(即肿瘤经治疗后不但没缩小,反倒以更快的速度增长)。
▎问题来了:该患者真的是出现了超进展吗?
施敏骅教授:对于该病例,可能是出现了心包出血的问题,后续的双侧胸腔积液的产生,可能也与心包内毛细血管静水压的增高有关,心包积液血红蛋白已经超过外周血内血红蛋白的一半以上数量,可能是因为肿瘤的心包转移和抗血管药物作用,导致的心包出血。
而免疫治疗在5天内并不能确定疗效,对于超进展而言,5天的确太快了,而评价是否超进展,也需要观察可评价病灶,而胸腔积液并不属于可评价病灶,影响因素较多。
谭薇教授:我认为该病例并没有出现超进展,超进展的很多病例经过处理之后并不见好转,而且进展的转移病灶是持续存在的。该患者在进行引流及激素治疗之后,病情缓解较理想,所以我认为心包积液大量增多可能是在应用了免疫治疗或抗血管生成药物之后,出血或免疫反应造成的渗出,双侧胸腔积液,我们考虑是心包填塞之后造成心衰而出现的症状。
给患者更改治疗方案为:内分泌药物+免疫球蛋白+安罗替尼+塞来昔布口服+抗感染、利尿、营养支持等。
一个月以后复查的CT结果显示,患者好转,心包积液消失,两侧胸水消失,病灶仍然存在。

复查CT对比图
▎问题来了:如何评估患者第一次用完药后新发病灶及病灶增大?是真性进展或是假性进展?
马瑞忠教授:如何判断出现进展、超进展和假性进展,是免疫治疗过程中经常会遇到的问题。超进展的原因可能则是由于患者的免疫力低下,免疫增强以后,后续免疫细胞不足,造成快速进展。超进展通常表现为治疗以后疗效不佳,并且出现肿瘤的快速进展,一般发生在治疗更长时间以后。
假性进展出现则较早,经过继续治疗和观察后,疗效较好。一般表现为淋巴细胞浸润炎性的影像学增大而非真正的肿瘤增大,这种情况下做穿刺,再进行活检的话,会发现其中增加的很多是炎症细胞而非肿瘤细胞,超进展则相反。
施敏骅教授:事实上肿瘤病灶和炎症病灶并不是全或无的关系,而是多和少的关系,我们目前并没有很好的量化指标去衡量是否是假性进展。
沈勤教授:炎症细胞和肿瘤细胞的比例标准如何界定,一般是与自身进行对比,是增多还是减少,但该标准还需要更多临床数据进行证明。
案例二:肺腺癌伴胰腺炎,免疫四药组合将肿瘤缩小
患者基本信息:EGFR/ALK阴性晚期肺腺癌
季x,男,63岁。
2020-09-30入住内分泌科。糖尿病病史20年,口服服药物控制;15年前有脊柱手术病史。
空腹血糖:11.04mmol/L。血常规白细胞:13.6*109/L;体液淀粉酶:1442U/L(参考值小于450U/L)。
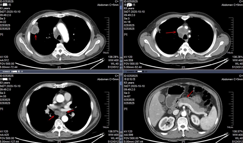
CT提示:
1.右肺上叶占位,考虑:癌症可能,伴纵隔淋巴结转移,建议进一步增强CT检查;
2.右肺上叶局部炎症;两肺肺气肿、肺大疱;
3.所见肝左叶稍低密度影,建议进一步增强CT检查;
4.所见胰腺肿胀,胰周模糊,急性胰腺炎可能。

入院CT结果
肺部病变行穿刺活检,病理报告示:(右上肺)低分化腺癌。PD-L1表达为90%;ECOG PS:2分;基因检测:EGFR(-)、ALK(-)。
诊断:1. 糖尿病;2. 急性胰腺炎;3. 右肺腺癌T3N3MIc IVB期(腹腔淋巴结、胰腺)。
治疗:免疫+化疗+抗血管四药联合
患者属于PD-L1高表达的IVB期右肺腺癌患者,根据目前的CSCO指南,患者推荐使用帕博利珠单抗单药治疗。考虑到患者患有胰腺炎,故未选择免疫单药治疗,为患者确定治疗方案为培美曲塞+顺铂+帕博利珠单抗+贝伐珠单抗。
CSCO非小细胞肺癌指南推荐

▎问题来了:对于此类近期有“胰腺炎”病史的患者是否是免疫治疗的“绝对禁忌证”?
马瑞忠教授:对于该患者的胰腺炎,我们认为是因为肿瘤浸润侵入了胰腺,由肿瘤转移引起的胰腺炎,这种情况下不应该作为免疫治疗“禁用”的参考,而如果是免疫治疗之后引起的胰腺炎,则应该禁用免疫治疗。
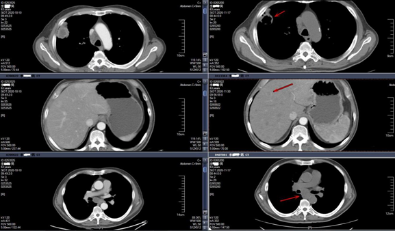
■ 一周期后出现肝内转移
治疗一个周期后,肝内多发异常强化灶,考虑转移瘤。与家属沟通后选择原定治疗方案,但是考虑到安罗替尼治疗靶点较贝伐珠单抗更多,安全性更高,将治疗方案调整为培美曲塞+顺铂+帕博利珠单抗+安罗替尼。

一周期后CT结果对比图
■ 第二次复查病灶缩小
第二次复查发现,肝内多发异常信号灶、左侧肾上腺、胰颈部结节,较前片(CT:2020-11-30)病灶缩小。

2020-12-21(左)与2020-11-17(右)CT结果

2020-12-23(左)与2020-11-30(右)CT结果
▎问题来了:是否是评估疗效的时机不对?
施敏骅教授:评估的时间点可能过早,一般的免疫治疗为六周评估,如果出现疾病进展可能还需要四周进行确定。所以在短时间内看到病灶增大或许需要更长的时间对后续疗效进行确定。