乳腺叶状肿瘤的超声诊断及鉴别
乳腺叶状肿瘤属于纤维上皮性病变(根据上皮与间质比例、以及间质增生情况等分为:纤维腺瘤和叶状肿瘤),40-50岁多见,相对欧美,亚洲发病率稍高,发病更年轻,临床表现一般单发,多发及双侧罕见,质硬肿物,较大者表面皮肤显著扩张,甚至溃疡出现。临床表现无法区分纤维腺瘤和叶状肿瘤,也无法区分叶状肿瘤的良恶性。
病理上呈境界清楚的单发实性肿块,切面呈特征性棕褐色、灰色或粉色,分叶状,裂隙样,小的不典型,大的可见出血坏死间质成分过度生长,可挤压上皮形成突起,形成分叶,分为良性、交界性、恶性,良性:境界清,较小的肿瘤呈推挤状,与周围组织没有指状或花边状结构,核分裂小于5个/10个高倍视野,间质黏液样变及玻璃样变;恶性:间质成分侵入周围乳腺组织,核分裂大于等于10个;交界性:没有客观性标准。
诊断:超声容易误诊为纤维腺瘤(明确诊断只有30%,近一半误诊为纤维腺瘤);
钼靶经常3类或4A类;
叶状肿瘤细胞学上很难与纤维腺瘤区分(细胞成分相似);
穿刺组织学标本取材有限,诊断也困难(易误诊为纤维腺瘤,无法准确评估良恶性),需要按照最大径线每1㎝取材;
明确诊断依赖术后常规病理。
治疗:易复发,转移,所有肿瘤均可出现(因此这个良性恶性交界性分类可能并不合理,可能采用胃肠道间质瘤风险性高低评估更合理),局部手术切除,多采取扩大手术切除,恶性者加放疗或化疗。
超声表现:40-50岁多见(各年龄均可),单发;
肿块较大(常>5公分);
边界清,平行生长(相对纤维腺瘤更圆),后方回声增强;
无包膜,挤压周边组织形成假包膜;
分叶状;
回声不均:条索状高回声分隔及裂隙状无回声,可伴囊性变,钙化罕见;
肿块前方软组织及皮肤变薄;
良性PTB、小的一般无血流或血流少,大的、恶性及交界性血流丰富(II\III级);
腋下一般无淋巴结肿大;
前次手术纤维腺瘤或叶状肿瘤,此次在原位置发现边界清的大肿块要高度怀疑叶状肿瘤复发。
小的叶状肿瘤,尤其是小的良性叶状肿瘤识别困难;大的交界性、恶性叶状肿瘤寻找可疑征象大部分可提示,良恶性区分困难,不建议良恶性、交界性诊断。
鉴别诊断:



良性叶状肿瘤:女,39,肿块大小4.7㎝,边界清,假包膜,典型裂隙状,血流丰富,表现为典型叶状肿瘤超声表现,但是与交界性难以区分。

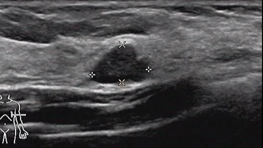
良性叶状肿瘤:肿块较小,边界清,无明显包膜,低回声,未见明显血流,比较难诊断。

良性叶状肿瘤: 女,51,边界清,假包膜,条索状高回声,血流少许,结合年龄及肿块表现需要考虑叶状肿瘤。


交界性叶状肿瘤: 女,边界清,肿块巨大,皮肤变薄,假包膜,裂隙状无回声及条索状高回声,血流稍丰富,超声造影见明显无增强区,表现为典型叶状肿瘤。

交界性叶状肿瘤:女,63,边界清,肿块大,分叶状,假包膜,裂隙状无回声及条索状高回声,血流稍丰富,结合年龄和超声表现符合叶状肿瘤。

交界性叶状肿瘤: 女,44,边界清,肿块大,分叶状,假包膜,裂隙状无回声及条索状高回声,血流丰富,结合年龄和超声表现符合典型叶状肿瘤。

交界性叶状肿瘤: 女,23,边界清,肿块大,分叶状不明显,内见条索状高回声,前方脂肪受压变薄,血流稍丰富,与良性肿瘤鉴别困难。

恶性叶状肿瘤:呈现典型恶性特征,与乳腺癌难以鉴别。

恶性叶状肿瘤:年龄45,边界清,稍不规则,未见明显血流,与良性肿瘤鉴别困难,考虑到年龄大,病史肿块逐渐增大,需要考虑到叶状肿瘤的可能性。