异位甲状腺的超声表现
异位甲状腺(ETG)是指在正常甲状腺位置以外出现的甲状腺组织。异位甲状腺属于甲状腺胚胎发育异常或错构的甲状腺组织发育而成,在下降的过程中受阻,甲状腺就不能在正常位置发育,可滞留于舌盲孔与甲状腺峡部之间。ETG包括迷走甲状腺和副甲状腺,前者指正常部位甲状腺缺如,后者指正常部位存在发育正常或发育不良的甲状腺组织,ETG中以迷走甲状腺较为多见,约占70%-80%,副甲状腺较为少见。
异位甲状腺女性相对多见,一般位于舌及舌骨上下、气管、颌下、颈外侧区,也可见于腋窝、腭扁桃体、颈动脉分叉处、虹膜、垂体、心脏、升主动脉、胸腺、食道、十二指肠、胆囊、胃壁、胰腺、肠系膜、肝门、肾上腺、肾脏、骶骨等部位,异位甲状腺可不引起明显的临床症状,当其发生肿大或其他病变时方被注意。其临床表现缺乏特异性,与发生部位、病变性质及有无功能改变等有关,多表现为颈中线或颈侧部位无痛性肿块,易被误诊为其它肿瘤,而导致错误切除。异位甲状腺虽有部分摄取功能,但其整体功能往往不足,所以临床上绝大部分伴有甲状腺功能减退。由于甲状腺素不足时,对下丘脑及垂体的抑制作用减退,促甲状腺激素释放激素及TSH分泌增多,使甲状腺代偿增大。同位素扫描对ETG具有很高的诊断价值。
异位甲状腺如未被正确诊断,容易被外科误切,特别是无正常甲状腺的患者,会出现甲状腺功能低下,处于青春期之前的患者,势必会影响其生长发育,需要终身的激素替代治疗。
超声表现:异位甲状腺超声表现多样性,与其合并病变的类型有关。
异位甲状腺未发生病变时,其回声与正常甲状腺回声相似,超声容易诊断。
异位甲状腺发生病变时,其超声表现与甲状腺内同一类型病变的超声表现相一致(合并甲亢时回声可减低、不均,CDFI血流丰富;合并结节性甲状腺肿时回声不均,见囊实性结节;也可以合并甲状腺肿瘤,与甲状腺内的肿瘤超声表现具有相似性)。
迷走甲状腺:超声在正常甲状腺位置未见甲状腺回声,异位甲状腺可以呈楔形、椭圆形、圆形等,无正常甲状腺的左、右叶与峡部等结构,边界清,有完整包膜,回声见上述,迷走甲状腺因正常位置未见甲状腺组织,超声容易诊断。
副甲状腺:超声在正常部位探及到正常或发育不良的甲状腺组织,其它表现类似,在甲状腺组织完全正常时,容易被忽视,不容易被诊断。



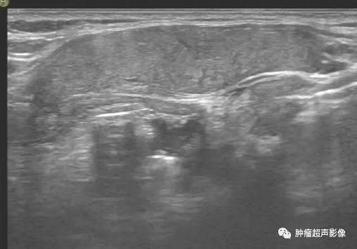
异位甲状腺(迷走甲状腺):正常甲状腺位置未见甲状腺回声,颌下见甲状腺样组织回声,回声不均,血流丰富,类似甲亢表现(推测功能不足,代偿性)

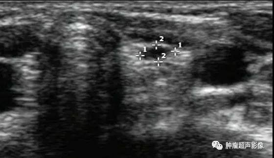
异位甲状腺(迷走甲状腺):正常甲状腺位置未见甲状腺回声,双侧颌下见甲状腺样组织回声,左侧异位甲状腺内见囊肿




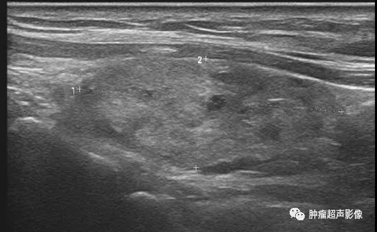
异位甲状腺(副甲状腺):甲状腺完全正常,胸骨上窝偏右侧见边界清、有包膜的不均质中等回声(类似结节性甲状腺肿),CDFI血流丰富,类似滤泡性肿瘤的血流特点。
SPECT/CT:甲状腺正常,胸骨上窝偏右侧可见放射性浓聚,考虑异位甲状腺。
FNA结果:符合良性滤泡性结节。