胃淋巴瘤的超声诊断及鉴别
淋巴瘤是原发于淋巴结或淋巴组织的恶性肿瘤,分霍奇金淋巴瘤与非霍奇金淋巴瘤。淋巴结内多见,结外也可原发或受累,结外淋巴瘤临床表现复杂多样,误诊率极高,因淋巴瘤以化疗...
淋巴瘤是原发于淋巴结或淋巴组织的恶性肿瘤,分霍奇金淋巴瘤与非霍奇金淋巴瘤。淋巴结内多见,结外也可原发或受累,结外淋巴瘤临床表现复杂多样,误诊率极高,因淋巴瘤以化疗...
乙型病毒性肝炎(乙肝)是发生在肝脏的疾病,而 肝癌是指肝脏上的恶性肿瘤,也是疾病,这样就容易让人对这两者产生联想。那么乙肝和肝癌之间到底存在不存在联系呢...
作为国内最早的胰胆肿瘤多学科(MDT)团队之一,中肿胰胆肿瘤MDT团队包括外科、化疗、放射治疗、内镜、病理、影像、营养以及介入科等多个领域的知名专家。通过多学科专...
自从发现我们的存在,你们采取了一连串的行动,手术,放疗,化疗等等,打算把我们消灭。在我们偃旗息鼓,举手投降后,你们以为这场战争胜利了。其实不然,我们的长辈早在你们...
自从宫颈筛查指南将 HPV 检测列为检查项目后,在妇科门诊会有很多这样的患者,拿着 HPV 阳性的检测报告,一脸愁容地询问:我是不是得宫颈癌了?为什么会出现 HP...
2020年12月13日,由中国临床肿瘤学会(CSCO)、北京希思科临床肿瘤研究基金会、东方临床肿瘤中心(ECCO)和赛诺菲(中国)投资有限公司联合打造的&ldqu...
1卵巢癌的危险因素 首先是吸烟 吸烟会显著提高卵巢癌等各种癌症的发病率。&nbs...
近年来,结直肠癌在年轻人群中不断攀升。根据2019年国家癌症中心发布的《中国恶性肿瘤流行情况分析报告》显示,男性结直肠癌发病率排名第四,女性结直肠癌发...
肺癌是我国发病率最高的恶性肿瘤,由于老龄化的原因,肺癌的的发病情况可能会越来严峻。不幸的是,很多肺癌患者确诊的时候已经处于晚期,失去了手术治疗机会。为此只能使用药...
结直肠癌是我国常见的消化道肿瘤之一,在整个病程中,超过50%的患者会发生肝转移,结直肠癌肝转移是患者最主要的死亡原因。一旦发生肝转移,未经治疗患者的中位生存期仅为...
众所周知,CA199 和 CA50 作为胰腺癌诊断的生物标志物具有良好的敏感性和特异性。然而,这两种肿瘤标志物都很大程度上受到肝功能和胆汁淤积的影响,从而导致良性...
2017 年,美国 FDA 宣布:加速批准 PD-1 抗体—— pembrolizumab( 即我们常说的「K 药」)用于确定有高度微卫星...
很早就听说《小欢喜》特别受欢迎,但忙于工作,一直没时间看。前段时间,想在紧张焦虑的疫情期间观看此剧,增添欢喜,没想到看到刘静身患乳腺癌的时候,我却没有欢喜起来。&...
多发性骨髓瘤属于血液系统疾病范围,主要病理体现为恶性浆细胞增殖,很多刚刚确诊的病人和家属都比较担心和迷茫,一方面是对这个病并不了解,心里没有底。另一方面是想照顾好...
说到“癌王”,有多个版本说法,而其实所谓“癌王”本身也只是相对来说的,而且在动态变化中,以前认为的“癌...
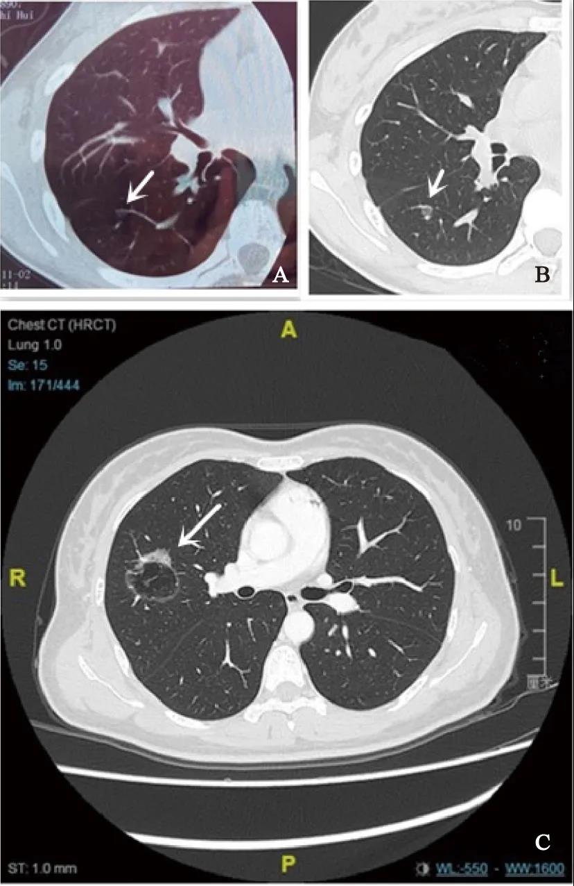
肺癌是全球最常见的癌症之一,其发病率与死亡率均居恶性肿瘤首位。如今,早期肺癌的检出率在增加,但肺癌的死亡率依然居高不下。 山东第一医科大学第三附属医院副...
彩色多普勒血流信号在甲状腺良恶性结节的鉴别诊断中并无多大价值,各个版本TI-RADS分类未采纳彩色多普勒血流(甲状腺KWAKTI-RA...
前言 2020年11月是第20个“全球肺癌关注月”,肺癌关注月是世界肺癌联盟在2001年11月发起的一项全球性倡议,目的是呼吁世...
非高危人群的肺癌筛查策略周耀东1,2,3,陈宗炜3,4,陈海泉1,2,3 1.复旦大学附属肿瘤医院胸外科,复旦大学上海医学院肿瘤学系,上海 200032...
全球肺癌的流行及预防进展肖佳龙,郑 莹 复旦大学附属肿瘤医院肿瘤预防部,复旦大学上海医学院肿瘤学系,上海200032 [摘要] 世界...
我们周围很多人是很注意积极预防检查的,还是看见一些人虽参加常规体检,但抽个血、拍个片就走人了。当有人查出来癌症晚期时就疑惑了:我之前的体检报告明明是没什么问题啊?...
“我到底还能活多久?”这是每个肿瘤患者都会问到的问题。 临床医生应患者和家属的要求,大抵也会给出一个粗略的时间范围,虽不一定准确...
病人,男,44 ,无家族癌症病史。既往体健。由于工作原因经常喝酒。2010.9.18,单位查体,结肠镜,进境 20cm 见约 4cm 大小肿物,活检:腺癌,其他肠...
2020年11月12-15日,2020年中国肿瘤学大会(CCO)年会在广州召开。本次大会可谓大咖云集,亮点纷呈。 在11月14日下午的学科前沿专场,我们...
病问: 您好,病人怀疑骨髓瘤已经三个月多,检查结果一直没有准确的回复, 目前在等新的骨穿结果。右边肋骨还是持续性疼痛,乏力头晕,肾功能也有异常。我们这里...
手术是最古老的治癌手段,直到现在它仍是最有希望治愈癌症的方法。而随着近年来,外科设备以及治疗理念的不断发展,外科学也得到了迅猛的进展。 2020年11月...
山川崩裂,海水倒灌,风暴席卷…… 《2012》是一部讲述世界末日的电影,它描绘的灾难景象一定深深的刻在了观影者脑海里。在电影...
01 近日,德国科学家哈拉尔德·楚尔·豪森(Harald zur Hausen,简称豪哥...
癌症的早期发现和早期治疗,可以提高治愈机会和获得长期生存。但是,转移性的晚期肿瘤是不是就一定不能根治呢?随着研究的进展,很多晚期肿瘤患者也获得了治愈的机会,从而实...
柯春锦1,胡志全1,岳道远2,沈源清1,甘家骅1,田继华1,李宋1,李乐1,杨春光1 作者单位:1.430030 武汉,华中科技大学同济医学院附属同济医...