胃淋巴瘤的超声诊断及鉴别
淋巴瘤是原发于淋巴结或淋巴组织的恶性肿瘤,分霍奇金淋巴瘤与非霍奇金淋巴瘤。淋巴结内多见,结外也可原发或受累,结外淋巴瘤临床表现复杂多样,误诊率极高,因淋巴瘤以化疗为主,正确术前诊断可避免不必要的手术。
原发性胃淋巴瘤是最常见的结外淋巴瘤,胃中第二常见的恶性肿瘤,绝大多数发病年龄在50岁以上,60~69岁为高发年龄段。起源于胃黏膜下层或黏膜固有层的淋巴组织,可侵犯浆膜及黏膜。与胃癌相似,原发性胃淋巴瘤好发于胃远端l/2,但幽门很少受累;淋巴结转移是最主要的转移途径,60%的病例伴有淋巴结转移;原发性胃淋巴瘤亦可直接浸润胰腺、网膜和血行转移;由于免疫组化、单克隆抗体和基因诊断方法的应用,组织学分类方法较多,大部分为黏膜相关淋巴组织淋巴瘤和弥漫大B细胞淋巴瘤;其中幽门螺旋杆菌感染与大部分黏膜相关淋巴组织淋巴瘤相关。
胃淋巴瘤多为非特异性的消化道症状,最常见的是上腹部隐痛、恶心、呕吐;不同于肠道淋巴瘤,胃淋巴瘤上消化道出血、急性穿孔,幽门梗阻较少见;与淋巴结来源的相比,不规则发热和盗汗等表现较少;晚期可有腹部肿块、恶液质等表现。胃镜下胃淋巴瘤无特异性征象,很难与胃炎、糜烂、良性溃疡及胃癌鉴别,因胃淋巴瘤发生在胃黏膜下层或黏膜固有层的淋巴组织,因此胃镜活检往往漏诊淋巴瘤。
超声表现:
1、起源于黏膜下层或黏膜固有层,
2、病变处胃壁弥漫性增厚或局限性肿块,这与胃癌有相似性,出现以下特征高度提示淋巴瘤:
(1)病变内部回声呈均匀低回声,尤其是近似无回声的;
(2)部分肿物质地较软,可见蠕动,部分加压可见变形,一般胃腔狭窄不严重;
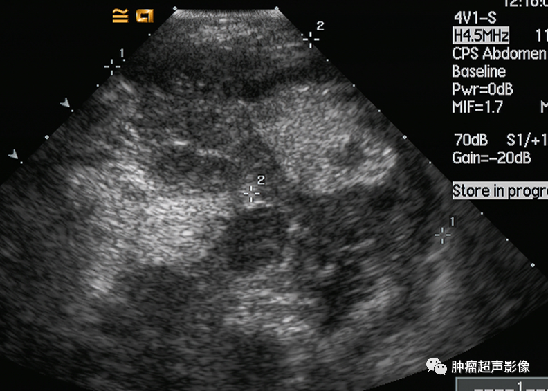
(3)“连根”溃疡:出现多个溃疡,并且溃疡之间黏膜下的低回声相连,尤其是胃十二指肠“连根”溃疡;
(4)长厚比例失调:黏膜固有层低回声沿着胃壁很长,但是厚度很薄,黏膜下层可显示,往往见于黏膜相关淋巴组织淋巴瘤;
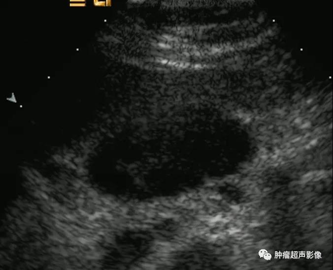
(5)矛盾现象:肿块虽大,但是并未明显向外侵犯,增厚的胃壁厚薄相对均匀,黏膜反射界面比较光整,外形规则;
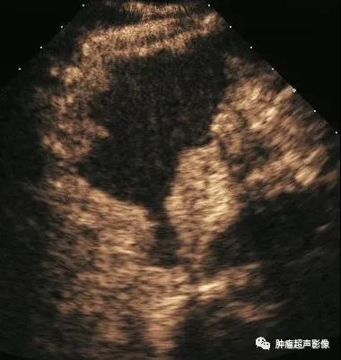
(6)“浸水征”:胃淋巴瘤向外侵犯周围的器官表现为:侵犯的器官回声减低,轮廓未改变,我命名为“浸水征”,与胃癌侵犯周围器官明显不同,胃癌侵犯周围器官表现为“咬饼征”,侵犯的器官表现为缺失一部分;
(7)腹腔、腹膜后淋巴结肿大:胃淋巴瘤主要与弥漫浸润胃癌及皮革胃鉴别,这两者淋巴结转移率同样很高,但是胃淋巴瘤转移的淋巴结相对来说单个更大、回声更低、血流更丰富;
(8)超声造影:淋巴瘤呈均匀高增强,出现非均匀高增强,可以排除淋巴瘤,非均匀增强一般见于印戒细胞癌和黏液癌,但是与低分化腺癌增强相似。

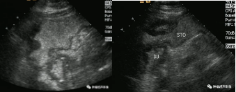
左图:胃淋巴瘤:胃壁弥漫性增厚但是胃腔未见明显狭窄
右图:胃癌:幽门及胃窦部狭窄明显

“连根”溃疡:胃和十二指肠均见溃疡,并且溃疡之间黏膜下层低回声相连。

胃淋巴瘤:矛盾现象:肿块虽大,但是并未明显向外侵犯,增厚的胃壁厚薄相对均匀,黏膜及浆膜反射界面比较光整,胃外形规则(病例来自云南胃肠超声群会诊病例)

皮革胃:外形不规则,明显侵犯周边组织,胃壁厚薄不均。

左图:胃淋巴瘤“浸水征”:胃淋巴瘤向外侵犯胰腺,侵犯的胰腺回声减低,轮廓未改变,像干枯的土地被部分浸水;
右图:胃癌侵犯肝脏,侵犯的肝脏表现为缺失一部分正常肝组织,表现为“咬饼征”。

左图:胃淋巴瘤转移淋巴结,右图:胃癌转移淋巴结
胃淋巴瘤转移的淋巴结相对来说单个更大、回声更低、血流更丰富。

超声造影:左图胃淋巴瘤呈均匀高增强,
右图印戒细胞癌呈“栅栏样”非均匀增强