2021版CSCO淋巴瘤18F-FDG PET/CT指南更新
2021 CSCO淋巴瘤18F-FDG PET/CT指南在概述、基线PET、中期PET和治疗后PET中均有内容更新,同时新增PET指导临床策略、PET/MRI及孤...
2021 CSCO淋巴瘤18F-FDG PET/CT指南在概述、基线PET、中期PET和治疗后PET中均有内容更新,同时新增PET指导临床策略、PET/MRI及孤...
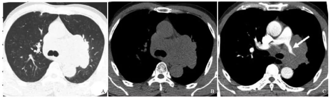
[摘要] 目的:探讨肺原发性小细胞神经内分泌癌(lung primary small cell neuroendocrine carcinoma,LSCNC)的C...
18F-FDG PET/CT代谢参数预测非小细胞肺癌淋巴结转移的价值 郑庆中,苏洁敏,李小玲,陈壮军,王盛智海南西部中心医院放射科,海南 儋州 571799[摘要...