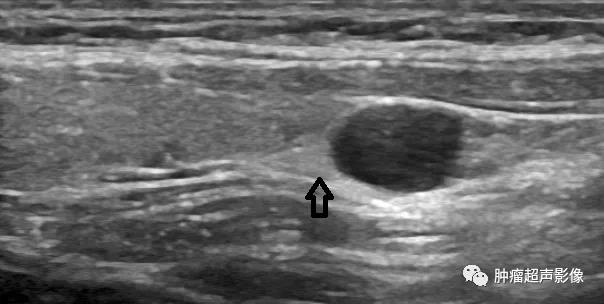
绝经后卵巢包块诊断策略
众所周知,年龄是卵巢恶性肿瘤发生的最重要的危险因素之一,如果排除遗传性卵巢癌家族,女性绝经后发生卵巢恶性肿瘤的风险也明显增高。加之卵巢位置较为隐匿,卵巢包块早期无...
众所周知,年龄是卵巢恶性肿瘤发生的最重要的危险因素之一,如果排除遗传性卵巢癌家族,女性绝经后发生卵巢恶性肿瘤的风险也明显增高。加之卵巢位置较为隐匿,卵巢包块早期无...
作 者 简 介牛晓辉牛晓辉,主任医师,教授、博士生导师,北京积水潭医院骨肿瘤科主任。中国临床肿瘤学会(CSCO)肉瘤专家委员会主任委员,中国抗癌协会(CACA)肉...
慢性淋巴细胞白血病(CLL)治疗后疾病负担与患者预后密切相关。传统疗效评价指标敏感性低,大部分患者获得缓解后骨髓/外周血仍存在残留病灶,是CLL复发的根源。基于流...
肺癌患者延长生存期的关键因素是什么?晚期肺癌患者,该选靶向治疗还是免疫治疗?全病程管理是如何帮助肺癌患者的? 肺癌是我国发病率和死亡率位居第一的恶性肿瘤...
UTUC领域要点梳理2020 CACA-GU年会于2020年12月12-13日在杭州举行,本文摘取上尿路尿路上皮癌(UTUC)领域两篇学术报告进行要点梳理。这两篇...
染发会不会致癌,一直是个争议话题,我也曾经写过相关文章进行科普:美发师或理发师(职业暴露)被世界卫生组织列入2A类致癌物,也就是对人很可能致癌,此类致癌物对人致癌...
乙型病毒性肝炎(乙肝)是发生在肝脏的疾病,而 肝癌是指肝脏上的恶性肿瘤,也是疾病,这样就容易让人对这两者产生联想。那么乙肝和肝癌之间到底存在不存在联系呢...
癌症是当今世界卫生系统面临的最重要挑战之一。乳腺癌是女性中最常见的癌症类型,是世界上第二大常见癌症类型。据2019年统计,乳腺癌在各类癌症中发病率为11.6%,占...
2020年世界卫生组织(WHO)发布的《全球健康评估(GHE)》中指出,预估在未来20年中,全球癌症例数可能会增加60%[1]。另一个具体的数据是:2020年2月...
青少年附件包块是青少年妇科就诊中的常见问题,多数情况下附件包块是良性疾病,如常见的囊性畸胎瘤,但也有妇科恶性肿瘤的情况,这个年龄阶段容易罹患的是卵巢恶性生殖细胞肿...
乳腺增生是临床上最常见的良性乳腺疾病其主要是由于女性卵巢功能的紊乱 体内黄体素分泌减少雌激素分泌增多 导致乳腺上皮增生与脱落 随着月经周期出现 乳腺导管发生增生和...
随着人类平均寿命的延长以及环境污染的加剧,癌症的发病率也在逐年上升。癌症的发生发展与许多因素相关,比如年龄、生活习惯和生活环境等等,但实际上,相对于自然界中的其他...
驱动基因突变是非小细胞肺癌(NSCLC)的主要致病因素之一,当前可用于指导NSCLC靶向治疗的目标基因越来越多,针对NSCLC靶向药物的开发已从常见基因突变过度到...
在民间,冬至算是一个较为重要的节气, 甚至有“冬至大如年”的说法。在冬至这一天,由于南北方文化差异,多是南方吃汤圆,北方煮饺子,暖暖和和过这一天。而进入冬至后,人...
结直肠癌是一类临床上非常常见的消化系统肿瘤。根据最新公开的中国中晚期结直肠癌患者诊疗现状调查结果,83%的患者确诊时已经发展至中晚期,44%的患者发生了肝、肺等部...
什么是淋巴瘤?淋巴瘤是血液肿瘤的一种,是一类起源于淋巴结或结外淋巴组织的、由淋巴细胞异常增生而形成的淋巴系统恶性肿瘤。 简而言之,人体内淋巴细胞发生的恶...
中国黑色素瘤综合治疗的进展 张维真教授:首先我们知道高加索人群的黑色素瘤以皮肤浅表扩散型为主,占比超过95%,而中国患者黑色素瘤以肢端和黏膜亚型为主,其中肢端型约...
甲状旁腺囊肿的发生率较低,病因尚不完全清楚,可发生于下颌骨至上纵隔的颈前各区域,根据其生化指标及临床表现,可分为功能性和无功能性,其中无功能性的约占总数的80%左...
癌症高危人群是指那些具有发生癌症高度危险性的人群,这种人群易患某些癌症。各种癌症的主要病因不同,其易感人群也不同。因此高危人群应该定期进行普查,以期能早点发现癌症...
失眠是癌症患者常见的症状之一。据统计,高达60%的癌症患者有常见的失眠问题。癌症患者在治疗过程中身体、心理上都要经历着煎熬,如果长期失眠,将会导致患者的生活质量受...
很多人以为干净和卫生是一个问题,从我们专业角度看,却代表了不同的高度。举个生活中的例子吧,你做米饭前淘米吗? 老妈和媳妇会从干净的角度说:“...
随着TAILORx研究结果的不断更新,21基因检测在指导HR+/HER2-且腋窝淋巴结阴性的低风险乳腺癌患者群体中的临床价值已被认可。对于1-3枚淋巴结阳性的患者...
自从发现我们的存在,你们采取了一连串的行动,手术,放疗,化疗等等,打算把我们消灭。在我们偃旗息鼓,举手投降后,你们以为这场战争胜利了。其实不然,我们的长辈早在你们...
免疫力随年龄增大,自然而然会衰老。你知道吗?40岁的免疫力只有20岁的一半,70岁时会降到20岁的20%。因此,我们常说,年龄大了很多病都找上门了,这与免疫力降低...
在过去的十年中,分子靶向治疗在各类恶性肿瘤诊治中得到了前所未有的发展,其中最引人注目的是EGFR酪氨酸激酶抑制剂(EGFR-TKIs)靶向治疗晚期非小细胞肺癌(N...
2020年12月7日-12月13日,由中国抗癌协会泌尿男生殖系肿瘤专委会、中国临床肿瘤协会前列腺癌专家委员会、上海市抗癌协会、上海市泌尿肿瘤研究所、北京医学奖励基...
鳞状非小细胞肺癌(NSCLC)患者由于很少有驱动基因的改变,靶向药物疗效有限。随着肿瘤免疫治疗的发展,免疫检查点抑制剂在鳞状NSCLC中的应用潜力逐渐显现。替雷利...
——家里老人得了骨髓瘤,为什么老是喊骨痛?多发性骨髓瘤患者的骨髓会产生一种异常浆细胞,它是一种肿瘤细胞,可以分泌一些特殊的因子,这些因子能够溶解骨头,所以患者会有...
在肿瘤分期中,肺癌的分期是比较复杂的,记忆难度很大。但归纳起来,总还是有一些方法可循的。下面我们就从 T 分期、N 分期、M 分期、临床分期(第八版 TNM 分期...
知识点1:介入治疗的三大特点介入治疗是在指趾减影血管造影机、超声等影像设备的引导和监视下,利用穿刺针、导管及其他介入器材,通过人体自然孔道或微小的创口将特定的器械...