PD-1单抗+化疗新辅助治疗2周期后PR,治疗路上领先一步!
近年来免疫治疗在食管癌领域应用范围不断拓宽,PD-1单抗联合化疗等联合方案在晚期食管鳞癌治疗中疗效显著,为患者带去了生存期延长的希望。而在有望接受手术治疗的患者中,采用新辅助治疗可以为其营造更加适合的手术条件,为患者的良好预后打下基础。既往新辅助治疗模式主要是放化疗联合,本期我们将分享一例替雷利珠单抗联合化疗作为新辅助治疗组合,之后顺利进行手术的案例,期待为临床实践提供新思路。
基本情况
一般资料:患者男性,57岁。
主诉:进食哽噎感4月,确诊食管癌2月。
查体:生命体征平稳,神清,双肺呼吸音清,未闻及干湿啰音,心律齐,未闻及明显病理性杂音,腹软,无压痛,无反跳痛。
KPS评分:90分
胃镜检查:距门齿31cm至36cm可见近环周隆起性病变,表面溃烂,覆污苔,致官腔狭窄,触之易渗血,活检质脆;余粘膜光滑,粘膜下血管网清晰,齿状线清晰,距门齿40cm。胃镜下活检行病理检查示:(食管)鳞状细胞癌(中-低分化)。HP(-)。
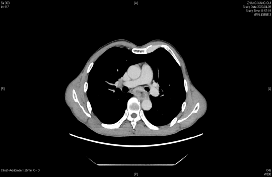
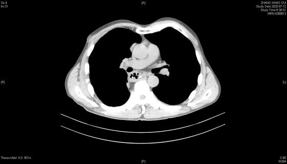
胸部增强CT提示:食管中段管壁增厚,增强扫描呈较明显不均匀强化,相应区域管腔狭窄,周围脂肪间隙见多发略肿大淋巴结影。胸廓入口水平气管右侧见肿大淋巴结,明显不均匀强化。
个人史:吸烟20年,平均20支/日,已戒烟2月余;饮白酒20年,平均150g/日,已戒酒6月余。
否认既往其他病史。
诊断
食管鳞状细胞癌(IIB期 T2N1M0)KPS 90分
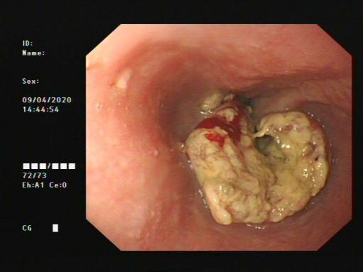
基线情况




2020年4月9日 替雷利珠单抗治疗前胃镜(上)和胸部增强CT(下)
治疗经过及疗效评价
第一阶段:化疗+免疫治疗
经患者充分知情同意并签署知情同意书后,于2020年4月20日起予以替雷利珠单抗200mg+白蛋白结合型紫杉醇300mg+奈达铂100mg,q3w,ivgtt”,共2周期。
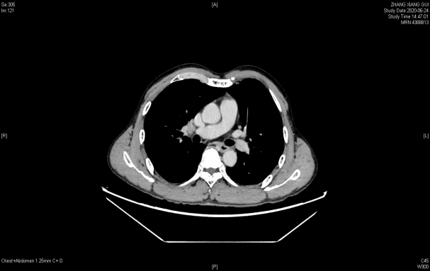
联合治疗2周期后疗效评价PR,胃镜及胸部增强CT提示食管下段病灶基本消失。
联合治疗2周后胃镜:食管:距门齿31cm至36cm可见粘膜粗糙,上段呈瘢痕样改变,下段呈浅隆起,较前明显好转,NBI呈褐色,余粘膜光滑,粘膜下血管网清晰,齿状线清晰,距门齿40cm;
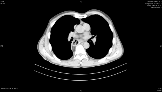
联合治疗2周后胸部增强CT:食管中段管壁增厚,增强扫描呈较明显不均匀强化,较前好转,胸廓入口水平气管右侧见肿大淋巴结,明显不均匀强化,较前减小。




2020年6月24日 联合治疗2周期后胃镜(上)和胸部增强CT(下)
第二阶段:手术治疗
患者经过2周期联合治疗后,于2020年6月24日胃镜及胸部增强CT提示食管下段病灶基本消失,身体状况良好,具备较好手术机会。
完善相关必要手术准备后于2020年6月28日行胸、腹腔镜联合下胸、腹二切口食管癌根治性切除、胃部分切除+胃代食管胸内吻合术,术后病理结果示:(食管及胃贲门小弯侧)食管粘膜呈慢性炎,部分粘膜下层至深肌层内见散在分布的退变重的细胞,结合免疫组化结果,符合癌(鳞状细胞癌,范围1.2*0.6cm),间质纤维组织增生伴淋巴细胞浸润及多核巨细胞反应,符合化疗后反应。未累及胃切缘及网膜组织。送检右喉返神经旁(1/1)、贲门旁(1/1)淋巴结内见中-低分化鳞状细胞癌转移,并见多核巨细胞反应及多灶钙化。送检胃左动脉旁(0/10)、胸中段食管旁(0/1)及隆突下(0/4)淋巴结内未见癌转移。免疫组化:食管壁增厚区6# P63(-),CK5/6(+),CD68(+)。食管壁增厚区8# P63(-),CK5/6(+),CD68(+)。


2020年6月28日 术中切下食管及胃贲门小弯侧


2020年7月12日 术后2周复查胸部CT
患者术后一般情况良好,术后10天逐渐恢复正常进食,进食过程通畅,无进食哽咽感等不适。
不良反应
患者在联合治疗期间出现白细胞计数及中性粒细胞计数较低,予以对症升白药物治疗后逐渐恢复正常;出现肝功能轻度异常,予以对症保肝治疗后,肝功能逐渐恢复正常。
病例总结
本例患者因“进食哽噎感4月,确诊食管癌2月”就诊,于我科完善相关检查后确诊为“食管鳞状细胞癌(IIB期 T2N1M0)KPS90分,经患者充分知情同意后,予以替雷利珠单抗200mg+白蛋白结合型紫杉醇300mg+奈达铂100mg 2周期治疗,2周期治疗期间患者出现白细胞计数及中性粒细胞计数较低、肝功能轻度异常,予以对症升白及保肝治疗后逐渐恢复正常。经2周期联合治疗后胃镜及胸部增强CT提示食管下段病灶基本消失,身体状况恢复良好,具备较好手术机会,行胸、腹腔镜联合下胸、腹二切口食管癌根治性切除、胃部分切除+胃代食管胸内吻合术,术后病人恢复良好,逐渐恢复正常进食。