PD-1单抗携手化疗新辅助治疗2周期达PR,食管癌患者重获生机!
免疫治疗药物在食管癌二线甚至一线治疗中已经取得了令人振奋的临床疗效,人们也期待着其在新辅助治疗方面能够同样带来惊喜!本期我们将分享一例IVA期食管癌通过术前新辅助PD-1单抗联合化疗治疗后病灶明显缩小,随后成功进行手术的病例,期待能为食管癌新辅助治疗积累更多临床经验!

张积广教授
福建省立医院胸外科
博士,副主任医师;福建省卫生计生中青年骨干人才;从事肺部肿瘤的临床和科研相关工作;临床专注单孔胸腔镜肺叶切除、肺段切除等相关肺部肿瘤疾病的诊治。主持省厅级科研项目3项,科研主要从事肺癌发病机制的研究。以第一作者发表SCI论文4篇。
基本情况
一般资料:林**,男,63,于2020年3月10日入院治疗。
主诉:进行性吞咽困难3个月。
既往史:高血压病史10年,最高血压160/90mmHg,规则服用拜新同控制血压,血压控制良好。
个人史:无烟酒不良嗜好。
辅助检查:血常规、生化全套、肿瘤标记物正常。
门诊胃镜检查示:
1.食管肿物(结合病理)食管CA(距门齿30-38cm)
2.慢性浅表性胃炎。
病理活检(食管活检):食管中分化鳞状细胞癌。
入院后进一步检测食管癌组织pd-L1表达(免疫组化,22c3抗体):1%
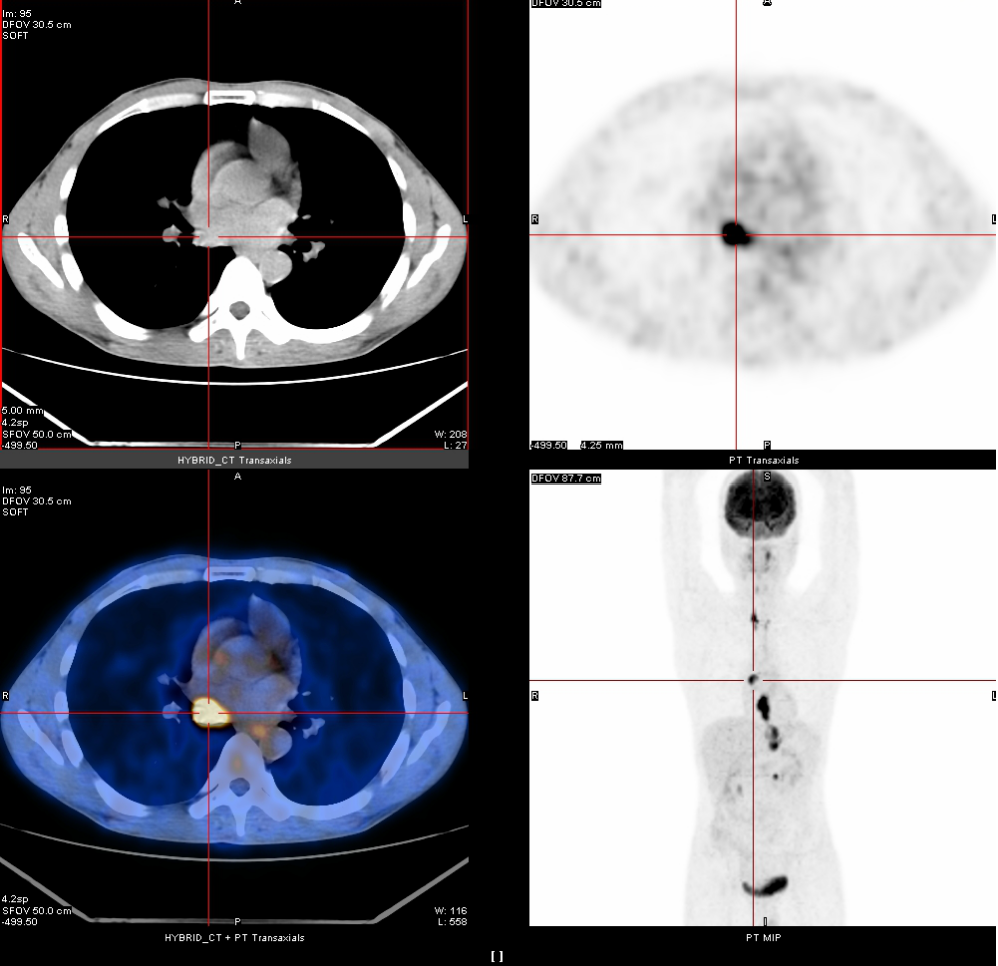
影像结果:
2020年3月13日
全身PET-CT示:1、食管胸中下段管壁不规则增厚,代谢增高,考虑食管癌。2、上纵隔胸廓入口区气管两旁、右下肺静脉后方、贲门区、肝胃间隙、降主动脉后方、膈肌脚后方、腹膜后腹主动脉左旁(左肾门下方平面)见多发高代谢肿大淋巴结,考虑淋巴结转移,建议随访复查。3、右肺上叶前段胸膜下小结节影,代谢未见增高,建议随访复查。4、右肺下叶外基底段条索影,考虑慢性炎性改变。5、双侧上颌窦轻度慢性炎症。6、双侧颈部多发小结节影,代谢未见增高,考虑淋巴结慢性炎性增生。7、肝左叶内侧段小钙化灶。









诊断及治疗前临床分期
1.食管下段鳞癌(cT2N3M0,IVA期)
2.双肺少许慢性炎症
3.肝内多发血管瘤
4.肝内胆管结石
5.左侧肾上腺增生
6.前列腺增生
治疗经过及疗效评价
第一阶段:术前新辅助化疗+免疫治疗
2020年3月16日、2020年4月8日:予“白蛋白紫杉醇 400mg d1+顺铂 40mg d1-3 +替雷利珠单抗 200mg d1 ivgtt ”方案治疗。
不良反应:恶心、呕吐。
疗效评价:PR
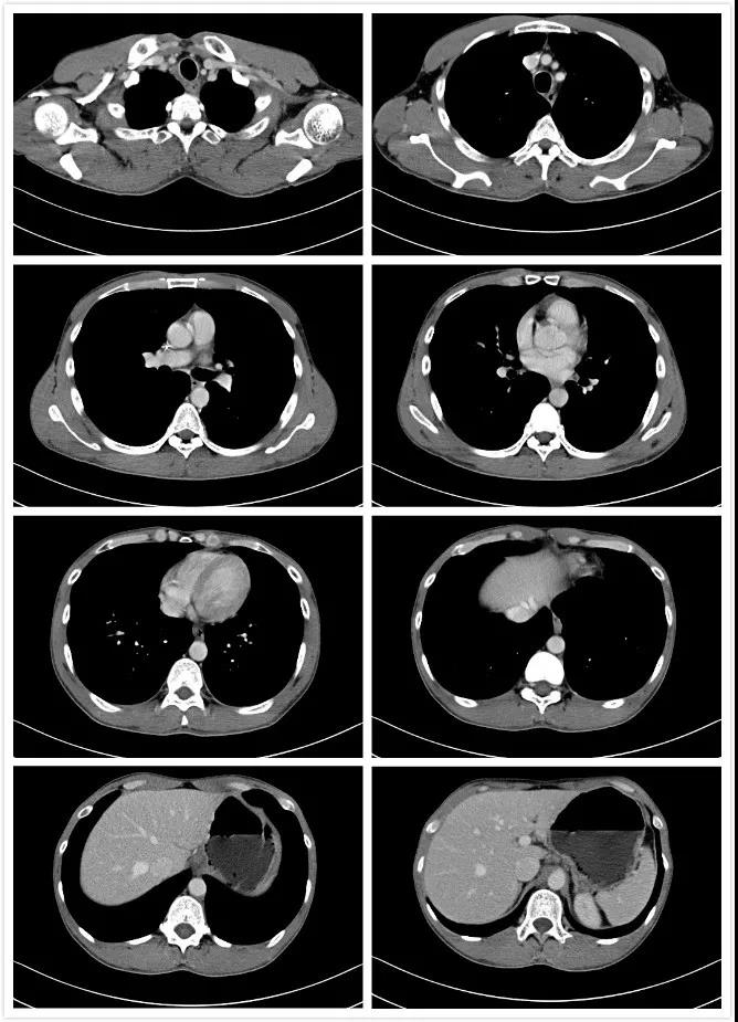
2020年5月11日
颈胸腹部CT示:1、食管下段(肺静脉下方水平)管壁稍增厚,结合病史,符合食管癌,病变范围较旧片明显缩小,请结合临床。双侧胸廓入口、肝胃间隙及上腹膜后多发小及轻度肿大淋巴结,较旧片明显缩小。2、双侧颈部数个小淋巴结征。3、双肺少许慢性炎症,右肺尖病变略呈磨玻璃改变,较旧片增多,建议定期复查除外其他。4、肝左叶小钙化或小结石;肝内多发血管瘤可能,建议随诊复查;门静脉轻度增宽。5、胆、胰、脾未见明显占位性病变。6、所摄入左侧肾上腺增生可能,较旧片大致相仿,建议随诊复查。

第二阶段:手术治疗
2020年5月14日
全麻下行“右进胸翻身三切口胸腹腔镜联合全胸段食管切除+食管-胃左颈部吻合术+胸腹二野淋巴结清扫术+胸腔粘连松解术”。见胸腔无积液,胸腔广泛粘连,孤立粘连,探查肿瘤位于食管下段,长约5cm,未侵及外膜,食管旁多发淋巴结肿大,食管旁脂肪结缔组织疤痕纤维化严重。
术后病理:(食管及胃底)送检食管标本,肉眼未见明确肿物,镜下见小灶食管粘膜呈低级别上皮内瘤变(面积3mm*2mm),局部纤维组织增生,伴多量炎症细胞浸润,大量泡沐样组织细胞聚集,符合化疗后改变。手术标本上切端,下切端及另送(最上切端)未见癌浸润;找到胃周淋巴结1个,及另送(左喉返神经旁)淋巴结4个、(右喉返神经旁)淋巴结3个、(左下颈)2个、(隆突下)淋巴结4个、(贲门旁)淋巴结1个、(胃左动脉旁)淋巴结1个、(脾动脉旁)淋巴结2个,呈反应性增生。2.(颈部左喉返神经旁淋巴结)(肝总动脉旁淋巴结)送检为纤维、脂肪及脉管组织。
术后诊断及病理分期
1.食管下段鳞癌(ypT?N0M0)
2.双肺少许慢性炎症
3.肝内多发血管瘤
4.肝内胆管结石
5.左侧肾上腺增生
6.前列腺增生
病例总结
该患者为63岁男性,2020年3月10日因进行性吞咽困难3个月来院就诊,治疗前临床诊断为食管下段鳞癌(cT2N3M0,IVA期)。随后分别于2020年3月16日和2020年4月8日予“白蛋白紫杉醇 400mg d1+顺铂 40mg d1-3 +替雷利珠单抗 200mg d1 ivgtt ”方案治疗,2020年5月11日颈胸腹部CT结果显示病变部位较治疗前明显缩小,提示前期替雷利珠单抗联合化疗的新辅助治疗方案治疗后疗效评价为PR。后于2020年5月14日在全麻下行“右进胸翻身三切口胸腹腔镜联合全胸段食管切除+食管-胃左颈部吻合术+胸腹二野淋巴结清扫术+胸腔粘连松解术”,根据术后病理提示pCR。

林兴教授
福建省立医院胸外科
主任医师,福建医科大学研究生导师,福建中医药大学研究生导师;福建省中西医整合肿瘤专业委员会常委;福建省抗癌协会科普分会常委;福建省抗癌协会肿瘤转移专业委员会委员;长期从事临床、教学和科研工作,在临床医疗中,擅长食管癌、肺癌、贲门癌、纵隔肿瘤、肺大疱、手汗症等胸外科疾病的诊治,积极开展多项新技术,开展的胸腔镜等微创手术在省内保持领先地位。科研方面,主持多项省自然科学基金研究项目,参与的科研项目多次获得省科技进步奖(含一等奖),参与《肺癌治疗学》等专著的编写。发表多篇SCI论文,担任Journal of International Medical Research 和IEEE Transactions on Medical Imaging等SCI杂志审稿人。
专家点评
该患者为食管中分化鳞状细胞癌,临床分期为cT2N3M0,IVA期,可以行术前新辅助治疗+食管切除术的治疗方式,且既往研究证实,新辅助联合手术的模式较单纯手术治疗更能增加患者的生存获益。
此前,新辅助治疗的手段主要以放、化疗为主,随着免疫治疗在食管癌二线甚至一线实践中频结硕果,尤其是RATIONALE 205研究等的突破,使得PD-1单抗在食管癌领域的应用范围逐渐增大。本例就是PD-1单抗在新辅助治疗中的一次成功尝试,患者通过“白蛋白紫杉醇400mg d1+顺铂 40mg d1-3 +替雷利珠单抗 200mg d1 ivgtt ”方案治疗2周期后,病变部位明显缩小,实现疗效PR,之后顺利进行手术,根据术后病理提示pCR。
当然,随着今后研究的深入,相信免疫治疗在食管癌新辅助治疗中的地位将会不断提升,方案适合哪些人群、采取何种剂量等问题的答案也将逐步显现。此外,在术后是否可以继续采用在新辅助治疗中卓有成效的免疫药物,也有待更多研究数据的支持。期待免疫治疗药物的入场能够为食管癌患者带来更多福音!