毛母质瘤的超声诊断及分型
毛母质瘤又称钙化性上皮瘤,是一类源于人体毛发母细胞的良性肿瘤,青少年多见(可见于任何年龄),考虑与青少年毛发细胞及附件发育代谢旺盛有关。毛母质瘤可以发生在任何有毛发的区域,多为单发,好发部位包括头面部、颈项部,其次为上肢。临床上多表现为边界清、质硬的无痛性肿块,多与皮肤粘连,活动性良好,皮肤表面可正常或呈淡红、紫蓝色。病理上肿瘤位于真皮网状层,常有结缔组织包膜,主要由嗜碱性细胞和影细胞两种细胞构成,随着肿瘤生长时间延长,嗜碱性细胞数目逐渐减少,甚至消失,而影细胞100%存在(病理诊断的必要条件),其间质内可见异物巨细胞反应并伴有局部钙化形成及炎症细胞浸润。肿块完整切除后预后良好,恶变、远处转移极少见。
超声表现:
1、年龄:青少年多见;
2、位置(好面子):多位于头面颈部皮下,位于皮肤真皮与皮下脂肪层交界处;
2、边界形态:圆形或类圆形,边界清,可移动;
3、回声典型:低回声,内大部分伴有钙化,周围可有低回声晕。根据钙化分三型:I型,低回声内见散在分布点状钙化;II型,低回声内见粗大钙化;III型,仅见强回声,后伴宽大声影;
4、部分病灶周边脂肪组织回声增强(病灶内钙质沉着,刺激周围组织异物巨细胞反应,炎性细胞浸润);
5、CDFI:大部分周边及内可见血流,且多为动脉血流。
总结:发生于头面颈部皮下无症状、可活动、伴钙化,内见血流的单发实性病灶,应考虑毛母质瘤的可能。



青少年,项部皮肤淡红色,可移动无痛性肿块,皮肤真皮与皮下脂肪层交界处见低回声,边界清,内见点状强回声,周围脂肪回声增强,内见血流,符合典型毛母质瘤的特点。

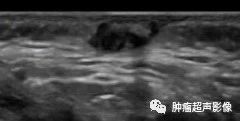
5,面部可移动无痛性肿块,皮肤真皮与皮下脂肪层交界处见低回声,边界清,内见粗大钙化,内见丰富动脉血流,符合典型毛母质瘤的特点。

小孩耳后可移动无痛性肿块,皮肤真皮与皮下脂肪层交界处见强回声,边界清,后伴宽大声影,符合典型毛母质瘤的特点(图片来自会诊病例)。


男35,颌下可移动无痛性肿块,皮肤真皮与皮下脂肪层交界处见低回声,边界清,内见血流,无钙化的容易误诊,除了无钙化,其它均符合毛母质瘤的特点。