掌握这篇,晋级肺部 CT 影像高手!
肿瘤医师在患者发现肺部肿块之后、活检之前,可利用专业知识结合影像学特征,对病灶的性质进行预判,这对舒缓部分患者的紧张情绪、提前部署治疗方案等有着重要意义。
随着 CT 检查的普及,肺良性结节、肿块病例报告日益增加,在影像学上与肺癌鉴别日趋频繁,本文罗列 8 种常见肺部良性占位的影像特点,为临床甄别良恶性肺部疾病提供参考。
肺错构瘤
钙化影(尤其特征性的「爆米花样」钙化)和脂肪影是错构瘤最重要的影像学特征。肺错构瘤钙化发生率为 25-30%。CT 增强病灶大多无强化或轻度强化。
需注意:1. 瘤体较小、扫描层厚不够薄,较小钙化和脂肪影容易漏诊。2. 错构瘤一般无胸膜牵拉征、毛刺,但凡事无绝对!

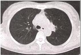
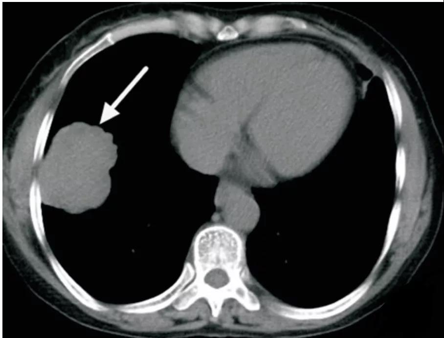
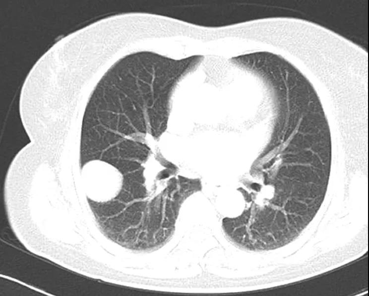
硬化性肺细胞瘤
多为单发孤立病灶,偶有多发,病灶呈圆形或类圆形,边缘清楚,密度均匀,多无毛刺,可见浅分叶,部分可见钙化、囊性变。
增强扫描病灶强化方式及程度与肿瘤成分及微血管数量相关,可表现为均匀显著强化,或不均匀轻度强化
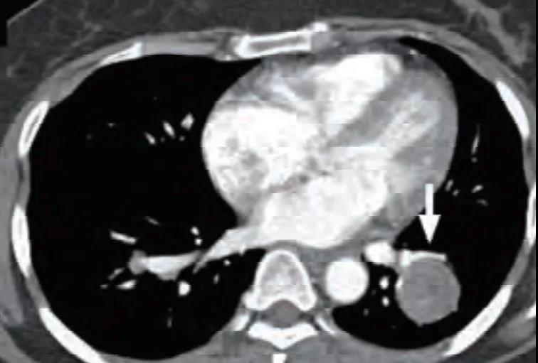
可见特征性血管贴边征(图 2)和周围血管包绕征,即增强动脉期见病灶边缘明显强化的点状血管断面
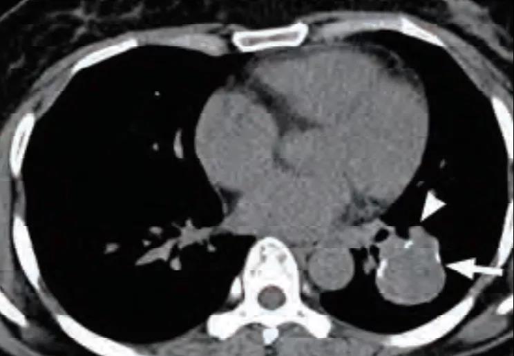
可伴特征性尾征(图 3),即占位边缘的尾状突起,多位于近端靠近肺门一侧
另可见特征性空气新月征,上述可帮助与其他良性肿瘤及肺癌鉴别


肺乳头状腺瘤
发病机制尚不明确,影像学上多表现为肺外带边缘光滑的类圆形软组织结节或肿块,直径多为 2-3 cm,密度均匀,增强后可强化或不强化,无分叶及毛刺,无胸膜牵拉。

肺泡性腺瘤
与 II 型肺泡上皮细胞相关的,除了硬化性肺血管瘤、乳头状腺瘤,再就是肺泡性腺瘤。CT 多表现为位于肺外周的孤立结节或肿块,0.7-6.0 cm,边界清楚,增强 CT 可见病灶边缘强化。但目前认为肺泡性腺瘤的影像学表现不具有特异性。
肺炎性假瘤
肺炎性假瘤多单发,呈类圆形或不规则形,呈磨玻璃样密度结节,边界多清楚、光滑,少数见浅分叶及粗长毛刺,可见「桃尖征」(图 5),是炎性假瘤包膜的黏连牵拉,可视为特征性表现。
病灶内可见较小薄壁空洞,边缘点状钙化,瘤周可见不规则条索影,近胸膜缘粘连可见「尖角征」,不与胸膜粘连缘平直,在病灶中间某一层面呈一侧边缘平直的刀切样变(图 6),或基于胸膜的方形征,具有较高特异性
病变周围斑片影或双肺多发斑片影对诊断有提示意义
亦可伴发肿大淋巴结,或伴多发小结节。增强 CT 可见炎性假瘤均匀强化,CT 值升高较快、强化时间长


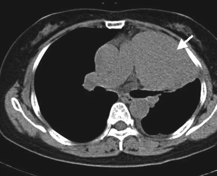
孤立性纤维瘤
孤立性纤维瘤为罕见间叶源性肿瘤,广泛分布于机体结缔组织。CT 显示孤立性肿块,边界多清楚,可见分叶,CT 平扫当瘤体较大时可见低密度区。
增强扫描时,瘤体较小时呈均匀、渐进性强化。瘤体较大时,因瘤内坏死、囊变等,肿块密度不均,增强扫描呈不均匀强化,即特征性「地图样」强化(图 8)。



肺原发性平滑肌瘤
发生于肺的平滑肌瘤少见,病变呈圆形或卵圆形,轮廓光整,边缘光滑,CT 平扫呈中等密度,增强后强化多不明显,有时可见肿瘤假包膜强化。总体而言,肺平滑肌瘤影像学缺乏特异性,易与硬化性肺血管瘤、错构瘤混淆。


结核球
患者有结核病史。病灶多位于上叶尖后段及下叶背段,多呈球形,边界清晰,空洞、钙化常见,周围可见卫星灶。增强扫描无强化或轻度强化,持续随访多无明显改变。
上述肺内病变,对临床医师来说,掌握难度不大,但临床实用性较高,特整理出来,希望和大家共同学习!其他肺内结节、肿块病变,如炎性肌纤维母细胞瘤、曲霉菌球等,影像学特征性改变有限,确诊需结合临床表现、病史,或依靠病理活检,不做赘述。
参考文献
1 Macmahon H, Naidich D P, Goo J M, et al. Guidelines for Management of Incidental Pulmonary Nodules Detected on CT Images: From the Fleischner Society 2017[J]. Radiology, 2017: 228-243.
2 史文松,胡玉缀,邵志鹏,等.肺内软骨型错构瘤五例并文献复习 [J].中国实用医刊,2019,46(19):10-13.
3 陈文,姚进,陈葵.肺错构瘤的螺旋 CT 诊断 [J].影像研究与医学应用,2020,4(9):25-27.
4 李海军,彭德昌,龚洪翰,等.肺硬化性血管瘤的 CT 表现及其误诊分析 [J].临床放射学杂志,2016,35(9):1372-1375.
5 邓娟,刘显旺,薛彩强,等.肺乳头状腺瘤 1 例 [J].中国医学影像技术,2020,36(1):31.
6 李玲,刘晓建,牛云,等.肺泡性腺瘤不典型影像学表现一例 [J].放射学实践,2016,31(11):1112-1113.
7 罗永忠,罗超,崔凯,等.肺炎性假瘤的 CT 表现及误诊分析 [J].中国医学影像技术,2009,25(01):76-78.
8 曲宁,赵英杰,罗娅红.肺炎性假瘤的 CT 表现及误诊分析 [J].临床肺科杂志,2011,(11):1746-1748.
9 张雪梅,李邦国,曾令雯,等.肺孤立性纤维瘤 CT 征象与病理对照分析 [J].实用放射学杂志,2018,34(12):1857-1859.
10 孙宗琼,陈林,贺锋,等.肺原发性平滑肌瘤 CT 征象及病理对照分析 [J].中华放射学杂志,2013,47(9):805-807.