结节性硬化症的超声和CT表现
结节性硬化症(TSC)又称又称Boumeville病,是一种以智力障碍、癫痫及面部皮脂腺瘤(现证实为血管纤维瘤)为主要症状的常染色体遗传病,可能与生发层基质细胞异常增殖分化有关。大脑为结节性硬化症最常累及的器官,所以癫痫发作和智力低下成为本病的重要表现,这与大脑皮质的结节病变有关。肾脏也是结节性硬化症最常累及的器官之一,可表现为5种肾脏病变:错构瘤、囊肿、潜在恶性的错构瘤、肾细胞癌及嗜酸性细胞瘤,其中错构瘤最为常见,约占70%-80%,多在5岁后开始出现。TSC相关肾AML与单纯性AML相比,具有双侧肾脏多发、生长速度快、肾实质侵袭程度大、外科治疗后易复发等特点,最终可导致肾脏功能衰竭或瘤体破裂出血,是患者死亡的第二大死因。其它还有心脏横纹肌瘤、腹膜后或肺部囊性淋巴管肌瘤及纤维化、实质脏器腺瘤及平滑肌瘤、皮肤灰斑、肢体末端甲下纤维瘤、骨质囊性变及花边样骨膜新生骨、眼部巨大的脉络膜小疣、视网膜星形细胞瘤及一部分成年患者出现的恒牙凹陷征等。
诊断标准:

影像学检查对于TSC的诊断至关重要,且其表现具特征性,颅内病变以多发室管膜下结节伴钙化为特征,根据其部位分为4类:①室管膜下巨细胞星形细胞瘤(,由室管膜下结节生长而成,直径>1.3cm即称为室管膜下巨细胞星形细胞瘤,多发生于孟氏孔;②皮层及皮层下结节,好发部位依次为额叶、顶叶、枕叶、颞叶及小脑半球,表现为皮层增厚,脑回肥大,且病变多少与神经系统症状直接相关;③脑白质放射状移行线,代表着异位的神经元和神经胶质沿脑室向皮层移行路径;④脑白质病变。肾脏肿瘤内脂肪成分的出现即可确诊错构瘤,实性肿块、血供丰富为肾癌的特点,但有时缺乏脂肪成分的较小的血管平滑肌瘤亦不易与之鉴别。腹膜后或者肺内厚壁或者薄壁的囊性病变、肺内蜂窝状改变、腹膜后淋巴结增大、胸导管扩张及胸腹水等都是腹膜后及肺内淋巴管肌瘤病的表现。肝脏亦可发生异常,典型表现为肝实质内血管平滑肌脂肪瘤。表现为边界清晰的含有脂肪成分的低密度病变,此外肝脏肿大、肝脏肌脂瘤、脂肪瘤、错构瘤及纤维瘤都可发生。此外,胰腺萎缩、胰腺嗜铬细胞瘤、错构瘤及胰腺导管阻塞等胰腺病变均可发生。
超声检查发现双肾多发AML,尤其是肿瘤数目较多、瘤体较大、肾脏轮廓不清时要想到TSC的可能,并询问相关病史,并观察面部、建议颅脑CT检查等。肾囊肿在TSC中也较常见,是该病临床诊断的次要指征。肝AML在超声上与血管瘤表现类似,均表现为大小不等圆形或椭圆形偏强回声团块,肝AML含有脂肪成分,回声比血管瘤回声更强一些,结合TSC病史,肝脏多发偏强回声占位应首先考虑为AML。


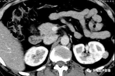
体检发现双肾多发错构瘤,双肾密集分布,考虑结节性硬化症表现,建议头颅检查(病例由江口县人民医院胡海英医师提供)




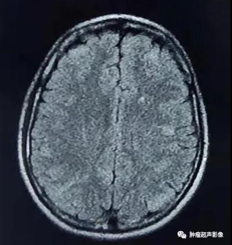
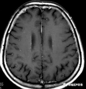
MR表现为两侧额枕叶皮层及皮层下多发结节或皮层增厚、脑回肥厚,FLAIR信号增高。




女,61,因肾肿瘤入院治疗,超声及CT示两肾多发错构瘤,建议头颅检查。



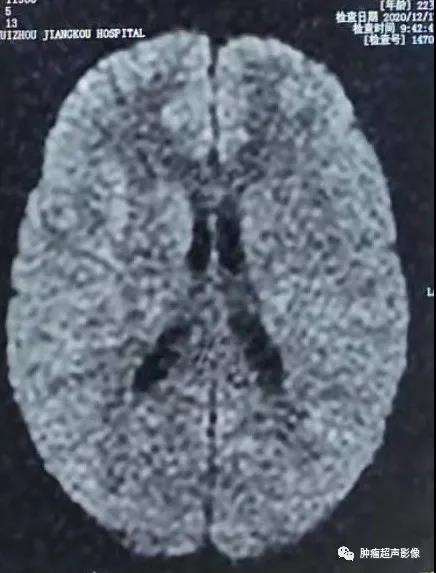
头颅CT示两侧侧脑室下多发小结节状钙化,增强MR示室管膜下结节明显强化。
参考文献
颜立群, 闫乐卡, 汪国石. 伴发双肾多发巨大血管平滑肌脂肪瘤的结节性硬化1例[J]. 中国临床医学影像杂志, 2014, 25(3):228-228. 黄海生, 周菲菲, 石岩. 多脏器受累的结节性硬化症超声表现一例[J]. 中华医学超声杂志(电子版), 2010,7(6):1061-1063. 孔迅, 刘毅, 孟圆峰,等. 腹部超声检查在结节性硬化症中的应用价值[J]. 中国超声医学杂志, 2020, 36(1):53-55.