血管球瘤的超声诊断
Wood于1812年首次描写了一种具有以下特点的疾病:间断性剧痛、对温度变化十分敏感、病史长、瘤体微小而质韧等,当时他把这种疾病称为“疼痛性皮下结节”,1920年Masson从组织病理学方面准确地描述了这种肿瘤的病理解剖并将其命名为血管球瘤。1934年,Popoff发现并阐明了神经肌动脉球(又称血管球)的解剖结构和生理功能。
血管球瘤好发于30-50,女性多于男性。身体的任伺部位都可发生,通常发生在手部大约占全身的75%,而甲下是最好发的部位。患指疼痛、压痛及对冷刺激过敏是常见的临床症状。
在病理上,血管球瘤在肉眼下呈粉红或蓝紫色,形状呈圆形或椭圆形,类似一颗米粒,质软,边界清楚,通常瘤体直径小于10mm。镜下:瘤体表面有一层纤维性包膜,肿瘤内含有大量微小血管,管径大小不等,血管周围有单层或多层“上皮样”细胞围绕,细胞大小均匀一致,呈圆形或立方形,胞浆淡红色或稍透明,核稍大,圆形或卵圆形,位于细胞中央。间质中有少许纤维组织,肥大细胞多见。电镜下观察发现肿瘤细胞具有平滑肌细胞的特征。
超声表现:一般呈低回声(少部分为高回声,胃血管球瘤一般都呈高回声,类似肝脏血管瘤表现),多为类圆形或椭圆形,边界清,较大肿瘤可显示其对指骨的侵蚀,内部及周边血流丰富,典型的呈花环状或小火球样,频谱呈低速低阻。
总结:根据患指疼痛、压痛及对冷刺激过敏的典型临床表现,超声显示边界清的低回声,血流丰富可明确诊断血管球瘤,但是对于非指(趾)端的血管球瘤诊断较为困难。


左甲下疼痛,超声显示低回声,边界清,椭圆形,后方指骨凹陷,血流丰富。呈现典型血管球瘤表现。


病理证实的血管球瘤,右前臂压痛,超声显示皮下低回声,边界清,类圆形,无血流,诊断比较困难。

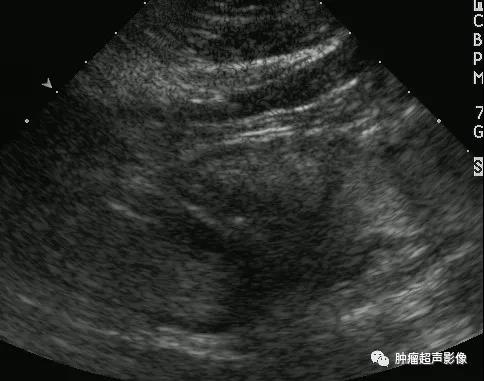
病理证实的血管球瘤,左大腿疼痛,超声显示皮下低回声,边界清,类圆形,少许血流,超声诊断比较困难,结合病史容易考虑血管平滑肌瘤。

胃血管球瘤呈类圆形,边界清的高回声,类似肝血管瘤的表现
参考文献
[1]苏彦农, 张友乐, 田光磊,等. 39例手指血管球瘤的临床分析[J]. 中华手外科杂志, 2004, 20(1):34-36.