鉴别胃腺瘤和高分化的低异型度腺癌
大家尽量的看了图先不要看答案,尽量的自己分析,把自己分析的和答案进行对比,这样才能真正的学会了。小山恒男常说的一句话是腺管是元凶,血管是帮凶,因此大家一定要养成看腺管和血管的习惯。




●60,男性。
●因慢性胃炎行上消化道内镜检查时发现胃体部黏膜不整,活检无恶性所见。为进一步精细检查介绍来院。






◆问题
Q1根据内镜照片诊断是?
①胃底腺息肉
②腺瘤
③黏膜内癌
④黏膜下层浸润癌
Q2NBI放大观察的诊断是?
①非肿瘤性病变
②腺瘤
③分化型癌
④未分化型癌
Q3正确的治疗是?
①随访观察
②EMR
③ESD
④外科治疗
解题要诀
●普通内镜下,为了鉴别肿瘤和非肿瘤上皮性病变,首先应观察病变范围及表面形态,其次需确认背景黏膜、病变部位、颜色、表面结构等。
●NBI放大内镜下应仔细观察有无边界,表面结构(形态不整、大小不均一、排列不规则),血管构造(口径不同、走行紊乱、有无 network),进而鉴别非肿瘤、腺瘤、癌。
◆答案和解说
A1③
普通内镜观察可见胃体下部后壁约20mm颜色正常的扁平隆起性病变(图A,B)。


喷洒靛胭脂的色素内镜下可见病变边界更加清晰明了,表面结构轻度紊乱,边缘略呈分叶状。

扁平隆起内未见明显的凹陷和粗大结节(图C,根据表面结构不均一的局部隆起所见,判断为上皮性肿瘤。背景胃黏膜为萎缩性黏膜,故怀疑为分化型癌。有时腺瘤与分化型癌的鉴别比较困难,腺瘤表面呈平滑均一的颗粒状,多为褪色。该隆起病变颜色正常,表面结构略不均一,故判断为分化型癌。扁平隆起内无明显的凹陷、粗大结节、糜烂、发红等SM浸润所见,故判断为M癌。
肉眼型可见隆起高度不满2mm,故诊断为0-Ⅱa型(表面隆起型)

◆鉴别诊断要点
1、胃底腺息肉:发生于H pylori感染阴性的非萎缩性胃底腺领域,多与背景黏膜颜色相同。肉眼型为山田·福富分类的Ⅱ、Ⅲ型,大小约5mm。
2、腺瘤:高度较低的扁平隆起,表面结构平滑均一,呈白色,大小多在20mm以下
3、黏膜内癌:表面结构不均一,正常颜色红色,结节大小不一呈集簇性,中心部凹陷,表面黏膜粗糙伴随糜烂、发红时多为SM浸润。
A2③
NBI放大观察可见病变部 villi结构大小不同,形状不一,微细血管走行紊乱,故诊断为分化型癌(图D~F)。



A3③
综上所述,临床诊断为Type0-Ⅱa 20mm,tub1,cT1a(M),是内镜切除的绝对适应证。为了保证切除标本病理组织学诊断的准确,原则上要求病变必须完整切除,有报道表明,超过10mm以上的病变,EMR的完整切除率要低于ESD,故本次治疗选择ESD此外,为预防ESD后的异时性多发性胃癌,术后应积极进行pylori除菌治疗。


◆病理诊断
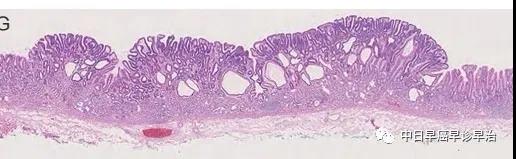
M. Post, 38 x 30mm, Type 0-IIa, 18 x 15mm,tub1,pTla(M),pUL0, Ly0, V0. pHM0, pVMO.
肿瘤黏膜表层可见局部高分化管状腺癌(图G),

深部可见部分囊泡状扩张的非肿瘤腺管(图H)。

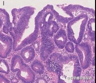
细胞核极性保持相对完整,不规则管状增殖的低异型度腺癌(图1)。
