医保目录3月1日正式执行,谈创新药PD-1效价比
今天是一个特别的日子,更新后的《国家基本医疗保险、工伤保险和生育保险药品目录(2020年)》正式执行。在癌度的病友群里,围绕抗癌药进医保的讨论是最火热的。太兴奋了...
今天是一个特别的日子,更新后的《国家基本医疗保险、工伤保险和生育保险药品目录(2020年)》正式执行。在癌度的病友群里,围绕抗癌药进医保的讨论是最火热的。太兴奋了...
20世纪70年代,他莫昔芬获批用于治疗绝经后晚期乳腺癌和早期乳腺癌辅助内分泌治疗,也因此成为了乳腺癌内分泌治疗的“金标准”。20世纪90年代,第三代芳香化酶抑制剂...
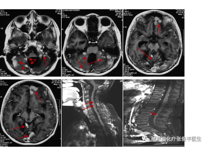
患者董**,男,14岁。2019年年初患者出现恶心呕吐,未重视。2019年4月患者出现头痛,遂行头部MRI示:双侧小脑半球、蚓部、四叠体区占位。患者于2019-4...
在对2项关键性试验进行的综合分析中,ponatinib表现出高应答率和稳健的生存结果,该试验包括第二代酪氨酸激酶抑制剂(TKI)失败的慢性期慢性髓样白血病(CP-...
“医生,我不要做化疗了!”现实生活中,有越来越多的患者及其家属,不愿意接受化疗,确诊后听到要化疗会很抗拒,甚至因为要化疗而拒绝治疗。其实,就目前来看,化疗是一种重...
靶向药给癌症患者带来新的希望,此类药物针对于癌细胞上特定的靶点,如某些特有的基因突变。尤其是一个“钻石”靶点基因——NTRK迅速地火遍了癌友圈,开启了泛癌种治疗的...
背景 自2020.1月至今,在抗肿瘤药物治疗领域,国家食品药品监督管理局一共签发了45张批文,共批准了17个新药,基本上每个月都有新药获批,这些新药涉及乳腺癌,肺...
您好,病人今年51岁男性,确诊为骨髓增殖性范围内疾病,同时存在血小板增高以及血红蛋白轻微偏高的问题。曾经做过血细胞体外分离治疗,反复过很多次。现在是羟基脲配合羟基...
由于倾向于安全和无毒治疗,pd1和 pdl1抑制剂市场在医疗保健领域显示出可观的增长。根据Future Market Insights(FMI)的新研究市场数据,...
替吉奥与卡培他滨均为氟尿嘧啶类抗肿瘤药,但两种药物在组分、代谢原理、增效机制、不良反应等诸多方面都有差别。临床医生在使用过程中,会对他们之间的不同之处及适宜人群产...
2018年一部上映的电影《我不是药神》中曾经有这样一段催泪的台词:“4万块1瓶,我病了3年,吃了3年,为了买药,房子没了,家人也拖垮了……天价抗癌药一直都是横亘在...
蒽环类和紫杉类药物称为乳腺癌化疗药物中的基石,在乳腺癌化疗中,紫杉醇常规推荐用法用量「175 mg/m²,每 3 周 1 次」的经典给药方案也早已深入人心。但我们...
2月11—13日,2021年美国临床肿瘤学会泌尿生殖系统肿瘤研讨会(ASCO GU 2021)隆重召开,受COVID-19疫情影响,本次大会以线上虚拟会议的形式进...
靶向治疗是复发转移胃肠间质瘤的主要治疗手段。KIT外显子11突变是一线伊马替尼治疗的敏感人群,有效率非常高,但患者终究会发生继发耐药,耐药时间大多在伊马替尼治疗后...
肿瘤患者和健康人群相比,尤其是接受了手术、化疗、放疗、靶向及免疫等治疗过程或者由于疾病本身,机体免疫力和抵抗力相对较低,导致感染流感病毒的风险增加,甚至可能增加癌...
镜头里,孙祥丽穿上婚纱,脸上露出了甜美幸福的笑容。她说:“希望今后的每一天都像今天这样自信、漂亮!” 正在拍写真的孙祥丽,图源:《云端微光》这是微电影《云端微光...
近日,国家人力资源和社会保障部(人社部)更新了国家基本医疗保险、工伤保险和生育保险药品目录(国家医保目录),乳腺癌内分泌治疗药物氟维司群(商品名:芙仕得)被纳入全...
2020年12月28日,君实生物(1877.HK,688180.SH)宣布,由公司自主研发的抗PD-1单抗药物特瑞普利单抗注射液(拓益®)通过国家医保谈判,被纳入...
近年来,以PD-1为代表的免疫肿瘤治疗药物为患者带来了长期生存的希望,目前已成为临床治疗中不可或缺的手段。在这样的背景下,如何提高药物的可及性,让更多患者有机会接...
2020年接近尾声,对肿瘤患者而言,这是艰难的一年,但值得欣慰的是,今年在肿瘤方面的新药获批有很多,它们如雨后春笋般一个一个的出现在我们的视野中。 最!...
10月8日,中国同全球疫苗免疫联盟签署协议,正式加入“新冠肺炎疫苗实施计划”。 消息一公布,“新冠疫苗”...
据英国媒体报道,环保人士称,为获得生产用于新冠疫苗的天然油脂,可能会杀死50万条鲨鱼。因为一些新冠肺炎候选疫苗中使用的一种成分是角鲨烯,这是从鲨鱼肝脏中提取出的天...
2020年期间,虽然很多社会活动受新冠疫情冲击都出现了停滞,但我国医保工作却一直稳步向前,诸多重量级改革措施不断出台。这一年堪称我国医保政策的大年。9月18日,国...
9月18日晚间,国家医保局公示《2020年国家医保药品目录调整通过形式审查的申报药品名单》,新一轮医保目录调整迎来新进展。根据此前发布的《2020年国家医保药品目...
据 WHO 统计,全世界每天约有 400 万肿瘤患者遭受癌痛的折磨,而阿片类药物在癌痛治疗中起着重要作用。阿片类药物主要包括吗啡、可待因、曲马多、奥施康...
随着新版的《药物临床试验质量管理规范》于2020年7月1日的正式实施,进一步推动了我国药物临床试验规范研究和质量提升。临床试验合同作为临床试验中的重要文件,约定了...
我国淋巴瘤发病率呈逐年增高趋势,每年新发病例约10万。淋巴瘤的临床分型复杂,不同亚型预后情况不同,治疗手段也有所差异。但随着人们对疾病的深入认识及新药物和新治疗方...
9月14日晚,据央视新闻,国家医疗保障局会同有关部门在天津组织召开国家组织高值医用耗材集中采购和使用工作启动会,冠脉支架是首批带量采购品种。 同日,国家...
帕博丽珠单抗,又称派姆单抗、帕姆单抗、可瑞达,英文名为Pembrolizumab亦称Keytruda,小名K药——是由美国药企默沙东研制成功的一种肿瘤免疫治疗药物...
近日,国家医保局公布《2020年国家医保药品目录调整工作方案》,正式启动新一轮国家医保药品目录调整工作。 按照《方案》,与新冠肺炎相关的呼吸系统疾病治疗...