张力教授:肺癌领域,靶向和免疫治疗的“激情”碰撞
听君一席话,胜从十年医。精释妙解,醍醐灌顶,名医功夫茶,给百万医者递招!更多精彩请关注“2020CCO会议最前线”专区。 &nb...
听君一席话,胜从十年医。精释妙解,醍醐灌顶,名医功夫茶,给百万医者递招!更多精彩请关注“2020CCO会议最前线”专区。 &nb...
前 言 对于驱动基因突变的非小细胞肺癌,能够接受靶向治疗真是不幸中的万幸,然而,你可知道,部分患者在治疗中,病理类型还会转化!而且研究显示,...
每年的11月是全球肺癌关注月, 目的是呼吁世界各国重视肺癌的预防,提高人们对肺癌的防癌、抗癌意识,普及肺癌的规范化诊疗知识。肺癌,作为发病率和死亡率排名第一的恶性...
吸烟是肺癌的主要原因,即便是戒掉烟也会很长时间才能把患肺癌的风险降低到正常水平。但吸烟者的癌细胞存在更多的基因变异,这些变异使得癌细胞更容易被免疫细胞识别,因此往...
关爱行动专栏 亲爱的读者朋友们: 为更好地提高患者对癌症的科学认识、提升肿瘤医师患教工作的理念和技能,中国临床肿瘤学会患者教育专家委员会与中国...
鉴于目前对新冠病毒肺炎疫情的考虑,2020年中国临床肿瘤学会(CSCO)非小细胞肺癌(NSCLC)指南发布会暨首场巡讲于5月23日上午以网络直播的方式在线举行!作...
2020年10月15日,上海-武田中国宣布,其在研创新药物Mobocertinib(TAK-788)被国家药品监督管理局药品审评中心(CDE)批准纳入“突破性治疗...
国际权威杂志《Penn Medicine》的一项最新研究发现,用质子疗法治疗肺癌患者可能有助于降低放射源性心脏病的风险。在一项超过200例患者的回顾性试验中发现,...
近日,由广东省人民医院、广东省肺癌研究所终身主任吴一龙教授联合全球和国内284家中心团队开展的一项双盲Ⅲ期临床试验经孤立数据监控委员会审查,有证据表明有疗效,提前...
前言: 2020年11月是第20个“全球肺癌关注月”,肺癌关注月是世界肺癌联盟在2001年11月发起的一项全球性倡议,目的是呼吁...
导读近期,JAMA Oncology发表了一项多中心研究,为免疫相关不良反应(irAE)与免疫检查点抑制剂(ICI)的疗效之间的相关性提供了真实世界中的证据。《肿...
前言ADAURA研究证实了三代EGFR-TKI药物术后辅助治疗的疗效,研究发表于《新英格兰医学杂志》(NEJM),近期,编辑部发表了来自法国David Planc...
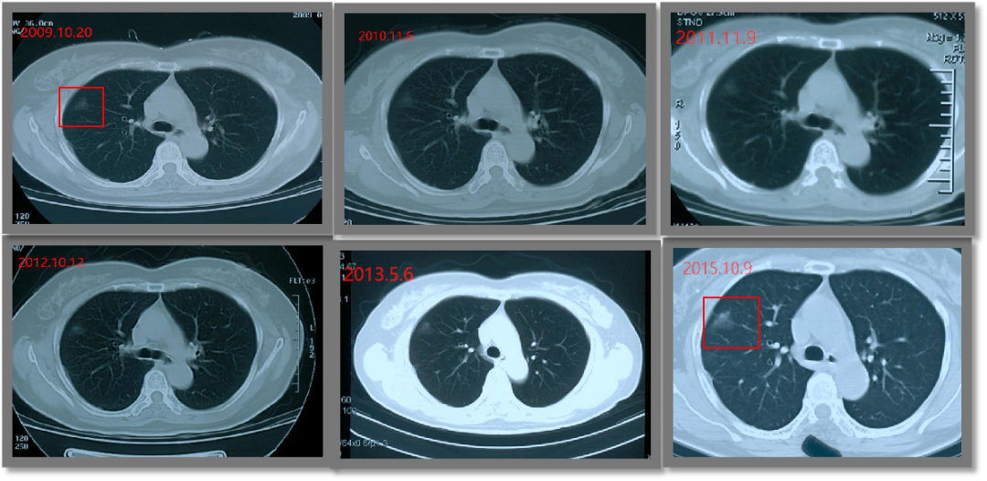
持久战!磨玻璃结节竟随访14年 2006年,张女士在一次偶然的体检中发现自己右肺上有个磨玻璃结节(GGO)。 由于之前因肾癌开过一...
前言:2020年11月是第20个“全球肺癌关注月”,肺癌关注月是世界肺癌联盟在2001年11月发起的一项全球性倡议,目的是呼吁世界各国重视肺癌的预防,提高人们对肺...
肺癌中恶性程度最高的是小细胞肺癌(SCLC),占了 15% ~ 20% 。而在 SCLC 中有部分是小细胞肺癌与非小细胞肺癌(NSCLC)成分相混合的,称为复合型...
肺癌那些事儿:什么是物理治疗? 传统肺癌治疗包括手术治疗、放射治疗、化学治疗和中医药治疗。但近年来,随着医学治疗技术的发展,新的物理治疗手段...
编者按在2020 CSCO年会NSCLC/SCLC 靶向、抗血管及 ADC 等治疗进展专场,CSCO肿瘤血管靶向专业委员会主委、上海市胸科医院韩宝惠教授作主题报告...
肥胖会增加患癌风险,减肥通常有利于抗癌。但肺癌却不一样,肥胖不会增加患肺癌的风险。患上肺癌后,保持正常体重和均衡营养对生存期的延长更是关键。肥胖不会增加肺癌风险&...
PACIFIC研究奠定了Durvalumab在局部晚期非小细胞肺癌(NSCLC)患者维持治疗中的地位,近期,Faehling等人借助真实世界中的数据,对PACIF...
我国是世界上人口第一大国,肿瘤已经成为影响我国居民健康的主要疾病,肺癌是肿瘤中发病率最高的恶性肿瘤。今天给大家分享一篇综合研究,系统介绍我国肺癌的总体情况,以及肺...
免疫治疗在晚期非小细胞肺癌(NSCLC)的综合治疗中占据越发重要的地位,PD-1单抗类药物已经获批一线单药治疗晚期NSCLC,改写了传统化疗作为一线首选方案的历史...
为什么手术能治疗肺癌? 肺癌那些事儿肺癌的全称是原发性支气管肺癌,是指起源于支气管和肺的原发性恶性肿瘤。 肺癌在自身发展过程中一方面不断长大,...
肺癌的EGFR靶点有众多的靶向药物,在吃到第三代靶向药物奥希替尼(泰瑞沙)的时候,患者一旦耐药后的治疗策略很有限。 因为这个时候的耐药机制很复杂,而且第...
要点提示: Ann Oncol:ESMO更新慢性淋巴细胞白血病临床诊疗和随访实践指南 CCR:NRF2激活促进侵袭性肺癌,并可致预后恶化 ...
摘要免疫检查点抑制剂通过启动并激活肿瘤内T细胞发挥抗肿瘤作用。但免疫系统在识别和杀伤肿瘤细胞的同时,也筛选出具有逃避免疫监视能力的肿瘤细胞,这一过程称为免疫编辑,...
众所周知,在肺癌里, EGFR“黄金突变”和ALK“钻石突变”等常见突变靶点,能够让患者轻松活过5年。参考:基因中...
2020 ESMO虚拟会议设置了3场主席论坛,其中三项报告为肺癌领域的研究,其中LBA3_PR介绍的Lung ART(NCT00410683)是一项结果阴性却有重...
导语: 肺癌是我国恶性肿瘤中的头号致命物,发病率和死亡率居高不下,使得医生和患者都很头痛。其中,非小细胞肺癌(NSCLC)占肺癌总数的 80...
摘要微生物群是由栖息在人体口腔、肺、肠道等部位的细菌、病毒和真菌等组成的一个复杂生态系统,在人体健康和疾病中发挥了重要作用。其中研究最多的是细菌,细菌菌群失调与包...
既往研究发现,胸部强化放疗可改善广泛期小细胞肺癌患者的预后,但免疫维持治疗是否可以给患者带来进一步获益目前尚不明确。近期,来自Moffitt癌症中心的研究人员进行...