CA724 升高的 10 种情况 别只想到胃癌
病人,男,44 ,无家族癌症病史。既往体健。由于工作原因经常喝酒。2010.9.18,单位查体,结肠镜,进境 20cm 见约 4cm 大小肿物,活检:腺癌,其他肠...
病人,男,44 ,无家族癌症病史。既往体健。由于工作原因经常喝酒。2010.9.18,单位查体,结肠镜,进境 20cm 见约 4cm 大小肿物,活检:腺癌,其他肠...
“作为一个消化器官,胃是最不可或缺的一个存在,感受酸甜苦辣咸之味觉,我们赖之获得愉悦,更赖以生存。同时,它还是一个内分泌器官、免疫器官,影响全身免疫系统、代谢系统...
病例介绍 患者初诊信息: 杨某某,男,63,因“上腹部隐痛半个月”于2...
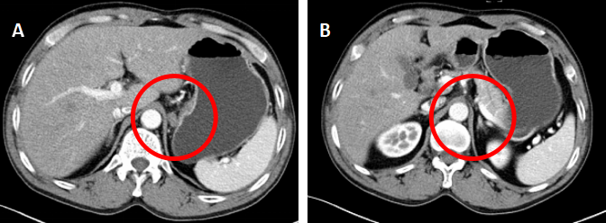
病例介绍 患者初诊信息: 蔡XX,男性,74岁。2018年5月因腹胀就诊于南昌大学第一附属医院。 MRI(2018.06.05)示:...
流行病学数据揭示“中国式”胃癌中国是胃癌的重灾区,根据对中国癌症流行病的调查发现,每年中国有68万人诊断出胃癌,是发病率第二高的恶性肿瘤,...
《肿瘤瞭望》:近年来,对于Ⅳ期胃癌开展转化治疗成为临床关注的焦点。转化治疗可使肿瘤降期,使患者获得手术机会。对于Ⅳ期胃癌,如何选择合适的转化治疗对象? ...
编者按 胃癌的临床特征与胃癌预后呈现何种关系?怎样准确描绘黑龙江省胃癌发病特征图谱?10月31日,在第十五届全国胃癌学术会议暨CGCC2020学术活动周上,哈尔...
2020年10月29日-11月4日,由中国抗癌协会胃癌专业委员会(CGCA) 主办的第十五届全国胃癌学术会议暨 CGCC2020 学术活动周(CGCC2020 O...
10月22-25日,复旦大学附属中山医院肿瘤防治中心举办中心年会,聚焦肿瘤诊断、治疗、预后的全程管理。大会上,来自复旦大学附属中山医院放疗科的孙菁教授针对胃癌放疗...
胃癌是严重危害我国人民生命健康的上消化道恶性肿瘤。根据细胞形态与组织结构,传统的Lauren分型将胃癌分为肠型、弥漫型和未确定型。其中肠型约占胃癌病例的60%以上...
我国是胃癌高发国家,据全国肿瘤登记中心最新数据估计,位居同期恶性肿瘤发病第2位。胃癌整体预后较差,5年生存率仅10%~30%,晚期胃癌患者5年生存率低于10%,晚...
胃肠间质瘤(GIST)是最早开始进行分子分型的实体肿瘤,也是最早开始靶向治疗的肿瘤,但长久以来,对于晚期GIST的治疗,并非按基因分型进行用药选择,而是以线数治疗...
在论坛上,有站友发了这样一个帖子: 丁香站友发布于 2019-02-18 王某于去年在浙江某医院确诊为进展期胃癌,在就诊过程中,医生了解到,王...
在我国常见的恶性肿瘤里,胃癌排名第二位,而我国的胃癌患病人数是全世界的40%。很多“不在意”的生活小问题,都给胃癌有了可乘之机。生活中很多不经意的细节,都在为这种...
科普小君: 胃癌的病因是什么?胃癌的病因至今尚不完全清楚胃癌的发病情况 在不同的地区或国家 具有不同的差别且胃癌患者的亲属中 胃癌的发病率较高提示可能和地理环境 ...
科普小君: 如何预防胃癌? 胃癌的诱发因素相对复杂预防胃癌的发生生活中要注意以下几点: 01—&...
在全球范围内,胃癌(gastric cancer,GC)的发病率高、预后差。据2018年全球癌症报告显示,中国每年新发胃癌病例约占全球所有新发病例数的45%以上,...
胃肠道间质瘤(gastrointestinal stromal tumors,GIST)是胃肠道最常见的间叶源性肿瘤。GIST 的一、二、三线治疗药物分别是 20...
胃癌(GC)是全球第五大常见癌症,且死亡率较高。旨在减少风险因素并增加保护性因素的一级预防策略可降低GC发生率,根除幽门螺杆菌感染,这种公认的GC致癌物,是一级预...
近年来,随着生活节奏的加快,胃炎已经不再是只属于中老年人的疾病,很多年轻人都出现胃胀胃痛的症状。胃炎不治疗就会演变成胃癌?这个说法也一直让很多人生活在担心之中,甚...
胃肠间质瘤是最早开始基因分型的实体肿瘤之一,但多年来胃肠间质瘤的治疗一直沿用分线治疗的模式,而非根据突变类型进行精准靶向治疗。但不同突变类型患者对药物的敏感性并不...
2020年9月19日至21日,欧洲肿瘤内科学会(ESMO)年会以线上的形式召开。HER2在约20%胃癌中过表达或扩增。与胃癌(21.4%)相比,胃食管交界处腺癌(...
2020年9月19日,2020年中国临床肿瘤学会(CSCO)年会顺利召开。近年来,免疫治疗及靶向治疗在胃癌领域开展地如火如荼,那么,关于胃癌目前的诊疗现状和进展中...
在人类与癌症的斗争中,药物治疗是一个很重要的措施,有效的抗癌药物,可以帮助患者获得治愈的机会和更长的生存时间。2020年截止到9月份,FDA已经批准了30多款癌症...
2020年欧洲肿瘤医学协会会议(ESMO)于9月18日拉开帷幕。PD-1单抗在胃癌领域大放异彩,实现了晚期胃癌一线治疗的突破性进展。大型III期临床研究Check...
2020年9月22日,CSCO年会的胃癌专场在骄阳似火的广州隆重登场。本次胃癌专场在胃癌专家委员会的精心设计下,邀请胃癌领域来自外科、内科、放疗、病理等多学科的国...
由中国临床肿瘤学会(CSCO)、北京市希思科临床肿瘤学研究基金会和国家癌症中心主办的第23届全国临床肿瘤学大会暨2020年CSCO学术年会进入到第四天! ...
本期提要 JNCI:2型糖尿病增加多种癌症风险,且患病8年时风险最高 JCO:曲妥珠单抗单药有望成为老年HER2+乳腺癌患者的辅助治疗选择 ...
近期,复旦大学附属中山医院孙益红、刘凤林教授等在国际顶级医学期刊JAMA Oncol在线发表了题为“Morbidity and Mortality o...
在我们面临的所有疾病中,癌症是最令人恐惧的疾病之一。 简单来说,癌症是由于一组或多组基因突变导致的细胞功能异常,形成了快速、无限制生长的恶性肿瘤。&nb...