2016年河南省鼻咽癌发病与死亡分析
世界卫生组织国际癌症研究中心(IARC)的数据显示,2020年全球有13.3万鼻咽癌新发病例及8万死亡病例,其中我国有6.2万新发病例,3.4万死亡病例,疾病负担...
世界卫生组织国际癌症研究中心(IARC)的数据显示,2020年全球有13.3万鼻咽癌新发病例及8万死亡病例,其中我国有6.2万新发病例,3.4万死亡病例,疾病负担...
中国是鼻咽癌的高发国家,含顺铂的诱导化疗序贯放化疗是III~IVB期鼻咽癌的主要治疗手段。然而,使用顺铂的患者依从性差,并具有显著的副作用,因而亟需探索新的治疗方...
鼻咽癌是一类临床相对常见的头颈部恶性肿瘤,此类患者早期病情隐匿,确诊时往往已发展至疾病中、晚期。研究发现鼻咽癌具有免疫细胞丰富间质浸润,且89%-95%的鼻咽癌表...
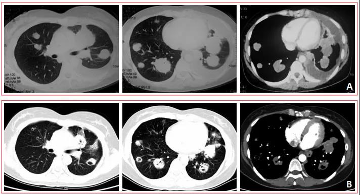
卡瑞利珠单抗联合安罗替尼治疗鼻咽癌1例林建光 康艺苹 许天文 ( 福建医科大学 附属第二医院)01 病例简介患者,女性,34岁。2017年5月于福建医科大学附...
摘要 促红细胞生成素产生肝细胞受体(erythropoietin-producing hepatocellular receptor,Eph)及其配体e...
2020年11月12-15日,由中国抗癌协会主办,中山大学肿瘤防治中心、广东省抗癌协会承办,国际抗癌联盟、中国整合医学发展战略研究院协办的2020中国肿瘤学大会(...
与其他头颈部肿瘤相比,鼻咽癌对放疗更为敏感,但是对于局部晚期或者转移性鼻咽癌,仅靠放疗无法提升患者的长期生存。鼻咽癌是我国南方及东南亚地区常见头颈部肿瘤,中国学者...
2020年11月12-15日,2020中国肿瘤学大会(CCO)在花城广州隆重召开。在放疗与鼻咽癌专场,中山大学肿瘤防治中心陈明远教授为大家分享了《复发转移鼻咽癌局...
2020年11月12-11月15日,2020中国肿瘤学大会(CCO)在花城广州隆重召开。会议期间,中山大学肿瘤防治中心马骏教授在主旨报告专场为大家分享了《鼻咽癌治...
听君一席话,胜从十年医。精释妙解,醍醐灌顶,名医功夫茶,给百万医者递招!更多精彩请关注“2020CCO会议最前线”专区。 &nb...
作为世界羽坛的无冕之王,马来西亚羽毛球著名运动员李宗伟的职业生涯可谓是熠熠生辉。然而就在2018年7月25日,他却遇到了另一个更为强劲的对手—&mda...
鼻咽癌在我国属于常见、高发的恶性肿瘤,特别是在我国华南地区,发病率可达每年 25/100000。在今年 CSCO 学术年会上,中国医学科学院肿瘤医院易俊林教授为我...
在全球范围来看,鼻咽癌发病并不高,每10万人中仅1.2人会患鼻咽癌。但在中国,鼻咽癌并不陌生。全球近一半的鼻咽癌患者来自中国,中国南方地区发病率更高。虽然经过临床...
在全球范围来看,鼻咽癌发病并不高,每10万人中仅1.2人会患鼻咽癌。但在中国,鼻咽癌并不陌生。全球近一半的鼻咽癌患者来自中国,中国南方地区发病率更高。虽然经过临床...
万众期待的2020年欧洲肿瘤内科学会(ESMO)年会将于当地时间9月19~21日以线上形式召开,作为领域内久负盛名的年度盛会之一,ESMO一如既往,群星闪耀,星光...
鼻咽癌(Nasopharyngeal carcinoma, NPC)是一种跟遗传、环境等多因素相关的恶性肿瘤,在中国南方、东南亚等地区发病率较高【1】。由于在我国...
“上帝用疾苦与我亲吻,我以微笑从容应对。”——小琦 从病房到名校:微笑女孩小琦的抗癌故事2020年的这个...
要点提示: NEJM:达拉非尼联合曲美替尼辅助治疗BRAF V600E或V600K突变且已切除后的III期黑色素瘤患者可显著延长RFS NEJ...
在现实生活中,有很多癌友们一听到临床试验,第一反应就是“你让我参加临床试验,岂不是拿我当小白鼠?”“我做了临床试验,万一被分到安慰剂组,是不是得不到有效的治疗?”...
鼻咽癌在我国是一种较为常见的头颈部恶性肿瘤,具有独特的地理分布特点,由于鼻咽的位置非常隐蔽,鼻咽癌早期症状往往并不典型,常常被忽视。 鼻咽与耳、鼻、口咽...
早期鼻咽癌的局部控制率达到90%以上,但中晚期鼻咽癌的远处转移率仍高达30%。 预后主要和临床分期有关,分期越晚,生存率越差。所以,出现以下症状的人,要...
著名导演陈木胜因鼻咽癌逝世图片来源:报道截图 就在两天以前,香港著名导演陈木胜不幸因鼻咽癌逝世,终年58岁。 作为港片导演的中流砥柱,陈导为观...
鼻咽癌在我国是一种较为常见的头颈部恶性肿瘤,具有独特的地理分布特点。 在世界大部分地区发病率很低,全世界50%的鼻咽癌发生在中国。 在我国华南...