全球第一位被CAR-T疗法治愈的白血病儿童 庆祝无癌8年!
嵌合抗原受体T细胞疗法(CAR-T)其实大家并不陌生,不仅历经25年的发展,自2017年也已被批准进入临床使用,且适应证越来越广泛。此技术在淋巴瘤治疗中处于2.5...
嵌合抗原受体T细胞疗法(CAR-T)其实大家并不陌生,不仅历经25年的发展,自2017年也已被批准进入临床使用,且适应证越来越广泛。此技术在淋巴瘤治疗中处于2.5...
早在2017年9月,网上就在疯传3岁的王凤雅小朋友因视网膜母细胞瘤逝世的消息。关于其母诈捐、虐待、重男轻女等是长短非也不竭反转,到如今还是一场罗生门。 ...
CAR-T细胞全称为嵌合抗原受体T细胞。CAR-T细胞疗法的基本原理就是提取患者自身的关键免疫细胞——T细胞,给它嵌入一种嵌合抗原受体(C...
2013年《科学》杂志评出的年度十大科学突破排行榜中,免疫治疗居于榜首。近年来,免疫治疗一直都是国内外肿瘤治疗研究领域的火爆热点,可以称之为革命性的突破。&nbs...
近年来,嵌合抗原受体T细胞CAR-T(Chimeric Antigen Receptor T-Cell)免疫疗法在获得长足发展的同时,CAR-T细胞治疗在B细胞血...
在今年召开的ASCO大会上,CAR-T细胞疗法在国际血液淋巴肿瘤领域乃至整个肿瘤领域可谓是备受关注。值得一提的是,ASCO大会上有两款“中国造&rdq...
“经过了20多年漫长的发展,无数研究者前赴后继不懈地努力,CAR-T细胞治疗终于从实验室走向了临床,在恶性血液肿瘤治疗中显示了很好的前景,给我们带来了...
要说近年来最火的癌症疗法,免疫疗法中的嵌合抗原受体T细胞(CAR-T)绝对是焦点之一。 尤其是在血液肿瘤方面,FDA在2017年先后批准了全球仅有的两个...
要说近年来最火的癌症疗法,免疫疗法中的嵌合抗原受体T细胞(CAR-T)绝对是焦点之一。 尤其是在血液肿瘤方面,FDA在2017年先后批准了全球仅有的两个...
流行病学数据揭示“中国式”胃癌 中国是胃癌的重灾区,根据对中国癌症流行病的调查发现,每年中国有68万人诊断出胃癌,是发病率第二高...
我国人口老龄化的趋势不断扩大,加之饮食结构的改变,国内结直肠癌的发病率和死亡率一直居高不下。据2018年中国癌症统计报告显示:我国结直肠癌发病率、死亡率在全部恶性...
近两年兴起的嵌合抗原受体T(CAR-T)细胞疗法可谓是肿瘤免疫治疗中的一匹黑马,它的出现代表了个性化癌症治疗的重大进步,特别是给血液系统恶性肿瘤患者带来重生的希望...
肝癌一直都是横亘于中国人心无法抹去的伤痛!据统计,我国原发性肝癌的发病和死亡例数占比分别占全球的54.6%和53.9%,毫不夸张地说,我国基本上以全球20%的人口...
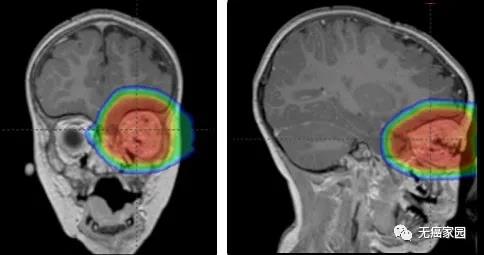
恶性脑肿瘤,包括胶质母细胞瘤、髓母细胞瘤等,通常都较为难治,是目前仍久攻不下的肿瘤类型,也是医学最热门的研究领域之一。而且众多专家的研究也表明,免疫疗法将有可能改...
嵌合抗原受体T细胞疗法(CAR-T)其实大家并不陌生,不仅历经25年的发展,自2017年也已被批准进入临床使用,且适应证越来越广泛。此技术在淋巴瘤治疗中处于2.5...
近两年兴起的嵌合抗原受体T(CAR-T)细胞疗法可谓是肿瘤免疫治疗中的一匹黑马,它的出现代表了个性化癌症治疗的重大进步,特别是给血液系统恶性肿瘤患者带来重生的希望...
迄今为止,嵌合抗原受体T(CAR-T)细胞免疫疗法在白血病和淋巴瘤等血液肿瘤领域取得了重大突破,被认为是最有潜力攻克癌症的疗法之一。 FDA在2017年...
目前,异基因造血干细胞移植后复发的急性淋巴细胞白血病(ALL)患者的治疗手段主要是供者淋巴细胞输注(DLI)及二次移植,但这些手段的效果并不令人满意。CD19的C...
近两年,免疫检查点抑制剂无疑是最成功的肿瘤免疫疗法之一,已经改变了肺癌的治疗前景。目前获批用于肺癌的四大PD-1/L1将晚期肺癌不到5%的五年生存率一下提高到16...
消化系统肿瘤具有高发病率、高病死率的特点。在我国的肿瘤谱中,消化系统肿瘤占50%以上。对于消化系统肿瘤,目前最有效的手段是手术,但是一旦缺乏手术指征,就几乎没有特...
近年来,帕瓦罗蒂、沈殿霞、乔布斯等重量级名人相继因为胰腺癌去世,不得不引起大众的广泛关注。就连小编也曾遇到过朋友询问亲属患有胰头癌后,到底有没有新治疗药物或技术能...
编者按:抗原嵌合T细胞(CAR-T)是继放化疗、靶向治疗后淋巴瘤、白血病领域革命性的新型治疗方式,而今年ESMO上公布的Alexander研究则进一步公布了关于复...
在今年召开的ASCO大会上,CAR-T细胞疗法在国际血液淋巴肿瘤领域乃至整个肿瘤领域可谓是备受关注。值得一提的是,ASCO大会上有两款“中国造&rdq...
2020年9月19日,2020年中国临床肿瘤学会(CSCO)年会顺利召开。本次大会可谓大咖云集,亮点纷呈。在9月26日的创新专场,我们邀请到了上海市第十人民医院许...
近两年兴起的嵌合抗原受体T(CAR-T)细胞疗法可谓是肿瘤免疫治疗中的一匹黑马,它的出现代表了个性化癌症治疗的重大进步,特别是给血液系统恶性肿瘤患者带来重生的希望...
近几年来兴起的CAR-T细胞疗法可谓是肿瘤免疫治疗中的一匹黑马,它的出现代表了个性化癌症治疗的重大进步,特别是给血液系统恶性肿瘤患者带来重生的希望。 2...
在2020年9月25日的淋巴瘤专场上,浙江大学医学院附属第一医院黄河教授带来了题为《血液系统疾病细胞免疫治疗的进展》的讲座,为我们揭示CAR-T治疗血液病的最新进...
近两年兴起的嵌合抗原受体T(CAR-T)细胞疗法可谓是肿瘤免疫治疗中的一匹黑马,它的出现代表了个性化癌症治疗的重大进步,特别是给血液系统恶性肿瘤患者带来重生的希望...
恶性脑肿瘤,包括胶质母细胞瘤、髓母细胞瘤等,通常都较为难治,是目前仍久攻不下的肿瘤类型,也是医学最热门的研究领域之一。而且众多专家的研究也表明,免疫疗法将有可能改...
要点一览 1. The Lancet Haematology:地西他滨联合维奈托克治疗AML患者效果良好2. Leukemia: ...