喝咖啡防癌?这次是真的!
最新研究表明,咖啡竟然可以降低患肝癌风险。肝硬化类的肝部疾病是全球导致死亡的主要原因,每年约100万人失去生命。如果世界上每人每天至少喝两杯咖啡,那么全世界因为肝...
最新研究表明,咖啡竟然可以降低患肝癌风险。肝硬化类的肝部疾病是全球导致死亡的主要原因,每年约100万人失去生命。如果世界上每人每天至少喝两杯咖啡,那么全世界因为肝...
过去几年的多项研究表明,定期喝咖啡可以带来很多健康益处。其中一个引人注意的好处是喝咖啡能够降低罹患肝癌的风险。 不久前,四大医学期刊之首的《新英格兰医学...
众所周知,肝细胞癌(HCC)的预后通常不乐观,许多人都闻“肝癌”色变。甚至接受了肝移植术后,HCC的复发依旧无法阻挡。 HCC最...
肝癌手术后的高复发率和转移率是影响肝癌患者长期生存的主要问题。因此,复发转移后的全程管理尤为重要。系统治疗贯穿肝癌治疗全程,必不可少,靶向药物目前仍是中晚期肝癌治...
在现实生活中,有很多癌友们一听到临床试验,第一反应就是“你让我参加临床试验,岂不是拿我当小白鼠?”“我做了临床试验,万一被分到安慰剂组,是不是得不到有效的治疗?”...
麦肯锡近期发布了关于中国肿瘤现状的报告,题目为《管理中国日益增长的肿瘤负担》。全球50%的肝癌、食管癌和胃癌在中国。肝癌诊断时即为晚期(III期或IV期)的比例,...
“请稍等,我正爬在树上摘桃子。”给陶文亮(化名)打电话时,他的回答着实令人震惊,难以想象这是位才做完8个疗程化疗不久的肝癌转移患者。&nb...
自癌症治疗进入精准时代,免疫疗法开始崭露头角,成为近期的研究热点。在晚期肝癌治疗领域,中国学者也一直在探索,以期能够进一步提高免疫治疗的疗效。来自中山大学肿瘤防治...
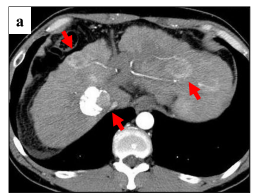
患者男性,69,工人。 患者2020-01-31因“贲门癌”和“肝癌”在我院行“全胃切除伴食管空肠Y型吻合术+左半肝切除术+解剖性肝段切除术”。术中见左肝内叶触及...
2020年8月13日,我们在公众号中发布文章《2020年医保目录更新在即!还有哪些抗癌好药没进医保?》 这篇文章发布之初,我们希望通过咚咚肿瘤科这个医患...
近年来,免疫治疗的出现极大地改变了肝癌治疗的格局,为肝癌患者带来了新希望。值得欣喜的是,由我国自主研发的PD-1抑制剂卡瑞利珠单抗在经治晚期肝细胞癌(HCC)患者...