分子靶向治疗有哪些不良反应?
0bf2xyeueaajvyagkcfw3bpvtpwdik7asqqa.f10002.mp42020年11月是第20个“全球肺癌关注月”,肺癌关注月是世界肺癌联...
0bf2xyeueaajvyagkcfw3bpvtpwdik7asqqa.f10002.mp42020年11月是第20个“全球肺癌关注月”,肺癌关注月是世界肺癌联...
由于老年人一般身体状态较差且常合并多种基础疾病,一旦罹患急性髓系白血病(AML)的话会大幅度增加治疗难度,而且基本不适合再行异基因干细胞移植。 因此,老...
2020年11月12-15日,2020年中国肿瘤学大会(CCO)年会在广州召开。本次大会可谓大咖云集,亮点纷呈。我们邀请到了中山大学肿瘤防治中心王树森教授做客医学...
2020中国肿瘤学大会(CCO)的血液肿瘤专业委员会分会场上,中国人民解放军总医院第一医学中心韩为东教授发表了《PD-1抗体治疗淋巴瘤》的主题演说。医学界诚邀韩为...
随着基因检测技术的进步,靶向治疗在胃肠间质瘤(GIST)领域的研发速度增快,GIST这一小瘤种受到越来越多的关注,针对其诊疗也引发了诸多热议。2020年11月12...
0bf27ydcuaagduajbbvswfpvn7wdfl7amkqa.f10002.mp4肺癌靶向治疗新进展及展望洪少东,张 力 中山大学肿瘤防治中...
2020年11月12-15日,2020年中国肿瘤学大会(CCO)年会在广州召开。本次大会可谓大咖云集,亮点纷呈。在11月14日的主旨报告专场,我们邀请到了天津医科...
听君一席话,胜从十年医。精释妙解,醍醐灌顶,名医功夫茶,给百万医者递招!更多精彩请关注“2020CCO会议最前线”专区。 &nb...
肝细胞癌的异质性非常强,通过基因检测,肝肿瘤病灶的不同位置的组织测序结果往往完全不同。这就导致很难找到一个主效的驱动基因来研发药物。 因此,针对肝细胞癌...
导读:2020年10月23日,JCO杂志再次刊载了CALGB 40601研究(拉帕替尼+曲妥珠单抗双靶新辅助治疗)的次要终点报告,即无复发生存和总生存结局,以及预...
全国第八届血液肿瘤大会于2020年10月16日-10月18日顺利召开,来自全国各地知名医院的血液大咖汇聚一堂,聚焦临床难点、学术热点,分享最前沿、最值得关注的学术...
EGFR敏感突变的发现开启了晚期非小细胞肺癌(NSCLC)精准治疗的时代,对于EGFR敏感突变的患者可以采用靶向治疗的模式,其治疗策略如何选择一直是大家关心的问题...
现实生活中,很多患者会问医生:“可以不化疗吗?化疗的副作用让我苦不堪言!”其实就目前的肿瘤治疗来看,化疗是一种重要的治疗手段,但是现实生活...
本期提要 JCO:卡瑞利珠单抗联合阿帕替尼用于晚期宫颈癌患者安全有效 JCO:西妥昔单抗联合放疗对于局晚期HNSCC患者的局部控制...
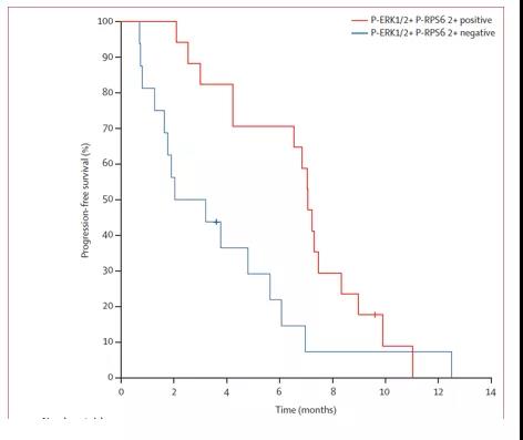
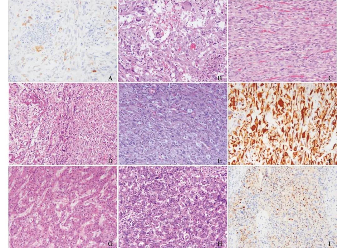
张 欣,周 成,周恺乾,等. 肉瘤样肝细胞癌中MET基因扩增与预后的相关性分析[J]. 中国癌症杂志, 2020, 30(9): 641-649.基金项目:国家自...
TAK-788治疗EGFR第20外显子插入突变的晚期非小细胞肺癌患者:一项I/II期临床研究(摘要号:1261MO) 研究背景:约1%~2%...
2020 ESMO线上年会已圆满落幕,大会期间,在转移性非小细胞肺癌(NSCLC)领域有多项重磅研究公布。一起来回顾下,口头报告专场的部分重磅研究进展吧!&nbs...
CD30在多种亚型淋巴瘤中高表达,维布妥昔单抗(简称BV,武田安适利)作为全球首个也是目前唯一一个以CD30为靶点的抗体偶联药物(ADC),在多种CD30表达阳性...
目前国内外指南均推荐抗EGFR单抗用于RAS基因野生型(wt)转移性结直肠癌(mCRC)的一线治疗。以西妥昔单抗为代表的抗EGFR单抗作为结直肠癌靶向治疗的关键药...
HER2阳性乳腺癌恶性程度相对较高,容易出现复发和转移。近年来,抗HER2靶向治疗大大提高了HER2阳性乳腺癌的长期生存,并为各治疗阶段乳腺癌患者增添了新的治疗选...
近十年来,靶向药逐渐异军突起,发展壮大,迅速成为肿瘤治疗界的“新宠”,大有取代放化疗手段的趋势。这并不仅仅取决于靶向药的直接疗效,更多的是...
编者按:2020 ESMO大会上公布了多项肺癌靶向治疗领域的研究,本文主要介绍ALK领域ALTA-1L脑转移研究结果(1300P)、亚裔和非亚裔患者的数据(130...
第二十三届全国临床肿瘤学大会暨2020年中国临床肿瘤学会(CSCO)学术年会于9月19日隆重召开,本届大会主题为“精准诊治,携手共赢”。随着精准医学的不断发展,靶...
我们对胰腺癌生物学的理解正在迅速发展。通过对基因组学、蛋白质组学、代谢组学以及对肿瘤免疫微环境的深入分析,人们已经发现了新的治疗靶点,并对这些靶点进行试验。预计2...
第一三共制药近日宣布,日本厚生劳动省(MHLW)已批准HER2靶向抗体偶联药物(ADC)Enhertu(曲妥珠单抗deruxtecan,即DS-8201),用于治...
1960年,费城染色体的发现标志着肿瘤进入了特异性生物标志时代;2000年,第一代酪氨酸激酶抑制剂(TKI)的问世极大转变了肿瘤治疗模式,使慢性粒细胞白血病(CM...
2020年9月19日,2020年中国临床肿瘤学会(CSCO)年会顺利召开。近年来,免疫治疗及靶向治疗在胃癌领域开展地如火如荼,那么,关于胃癌目前的诊疗现状和进展中...
2020年9月23日,第二十三届全国临床肿瘤学大会暨2020年中国临床肿瘤学会(CSCO)学术年会精彩继续!我们来看看各位专家给大家带来的最新研究进展。 晚期乳腺...
编者按 对于晚期黑色素瘤的BRAF-V600突变患者来说,双靶和双免方案都有较高的有效率和长期生存率。两者“谁先上一线”是目前...
近十年来,靶向药逐渐异军突起,发展壮大,迅速成为肿瘤治疗界的“新宠”,大有取代放化疗手段的趋势。这并不仅仅取决于靶向药的直接疗效,更多的是...