ADAURA研究更新:ESMO发布同期登陆《NEJM》,大咖共谈早中期肺癌治疗新风向!
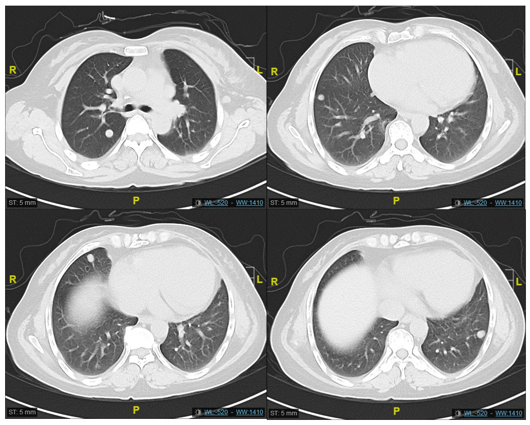
今年ASCO大会上,ADAURA研究重磅结果提前揭盲。当地时间9月19日,ESMO大会再次更新研究结果,并同步发表《NEJM》杂志(影响因子:74.69),广东省...
今年ASCO大会上,ADAURA研究重磅结果提前揭盲。当地时间9月19日,ESMO大会再次更新研究结果,并同步发表《NEJM》杂志(影响因子:74.69),广东省...
化疗和靶向药物在发挥抗肿瘤作用的同时,也常会导致皮肤不良反应,包括皮疹、干燥症、瘙痒症和手足综合征。皮肤不良反应不仅会严重影响患者的生活质量,甚至会导致减量或停药...
黑色素瘤是一种高度恶性肿瘤,进展迅速,预后较差。发生远处转移后患者5年生存率较低,传统化疗药物对黑色素瘤疗效有限。分子靶向药物对于黑色素瘤具有较强的针对性与有效性...
导读 随着分子靶向治疗研究的不断进展,越来越多的靶点逐渐被发现,针对于不同靶点的靶向治疗药物将非小细胞肺癌(NSCLC)的治疗带入了一个更精准的时代。在...
2020年9月4日——5日,中国医疗保健国际交流促进会乳腺疾病分会第四届学术会议、2020华夏乳腺病论坛以线上线下结合的形式召开。会议由中...
2020年9月20日,第二十三届全国临床肿瘤学大会暨2020年中国临床肿瘤学会(CSCO)学术年会精彩继续!我们来看看在抗肿瘤血管靶向治疗专场,各位专家给大家带来...
目前,晚期肝癌的一线治疗主要还依靠靶向药物的单一模式,但目前临床常用的靶向药物都属于多靶点酪氨酸激酶抑制剂,仍无法满足精准治疗需求,并且由于肝癌的逃逸机制使得靶向...
EGFR-TKI 治疗非小细胞肺癌(NSCLC),耐药不可避免。MET 基因变异作为一种 EGFR TKIs 耐药机制的同时,也可以孤立驱动肺癌的发生和发展。而目...
近年来,肿瘤治疗领域最引人瞩目的进展莫过于靶向治疗和免疫治疗,对于中晚期实体瘤患者延长生存期提供了新的选择。 其中靶向治疗可以说是精准杀灭癌细胞,而不损...
2020年9月13日,“瑞行千里,成就肺凡”菁睿学院全国会在河南开封和线上同步召开,大会有幸邀请到河南省人民医院仓顺东教授、河南大学淮河医...
2020年6月,美国国家综合癌症网络(NCCN)发布了非小细胞肺癌(NSCLC)指南2020年第6版。那么,新版指南中NSCLC精准治疗的药物选择有哪些?NSCL...
靶向治疗与免疫治疗,作为当今抗癌中的“利刃”,常以优于化疗等传统治疗方式的表现而给人带来希望。 既然都很优秀,那当靶向治疗耐药后...
一年一度的肿瘤盛会——第二十三届全国临床肿瘤学大会暨2020年中国临床肿瘤学会(CSCO)学术年会研究摘要已经公布,我们全面梳理了2020...
MET驱动基因被认为是继EGFR/ALK之后肺癌精准治疗领域又一重要的分子治疗靶点。近年来有多项研究聚焦MET驱动基因的靶向治疗。MET基因异常包括突变、扩增、重...
【疾病背景概览】肺癌是目前全球肿瘤发病率及死亡率第一的肿瘤,每年导致超过170万例患者死亡。其中非小细胞肺癌(NSCLC)占所有肺癌病例的85%,约1/3患者在诊...
受新型冠状病毒肺炎(COVID-19)疫情影响,2020欧洲肿瘤内科学会(ESMO)年会将采用线上虚拟会议的形式召开。本次大会特设“Science w...
关爱行动专栏 亲爱的读者朋友们: 为更好地提高患者对癌症的科学认识、提升肿瘤医师患教工作的理念和技能,中国临床肿瘤学会患者教育专家委员会与中国...
近年来以靶向治疗和免疫治疗为代表的肝癌系统药物治疗的发展突飞猛进,靶向和免疫治疗的组合方案(比如多靶点激酶抑制剂仑伐替尼联合PD-1免疫检查点抑制剂的“可乐”方案...
大会主席谢聪颖教授 肿瘤学博士,主任医师,温州医科大学附属第二医院副院长中国临床肿瘤学会(CSCO)理事中国临床肿瘤学会(CSCO)肿瘤放射治疗专委会委...
有部分曾接受化放疗或靶向药治疗的觅友应该会发现,这些治疗在带来治疗效果的同时也多少会带有毒副作用。临床上常见的会出现腹泻、恶心、乏力等不适外,往往有些许病患还会带...
2020年5月29日,美国临床肿瘤学会(ASCO)年会大幕开启,众多重磅研究重要成果发布。今年ASCO上,报道了一项奥希替尼联合吉非替尼(摘要号9507)一线治疗...
黑色素瘤是我国的罕见肿瘤之一,缺乏大规模前瞻性随机对照研究来支撑医疗决策。例如,BRAF V600型突变型皮肤黑色素瘤是否能照搬西方黑色素瘤治疗经验?下面介绍一例...
2020年9月5日,“放疗靶向学院”大会于杭州线下和线上成功召开,大会汇聚肺癌和放射科领域多位专家学者,探讨肺癌靶向与放疗的最新前沿进展。...
2020年5月29日,美国临床肿瘤学会(ASCO)年会大幕开启,众多重磅研究重要成果发布。今年ASCO上报道了由中山大学肿瘤防治中心张力教授团队开展的一项Ⅰb期研...
2020年8月27日~29日,第十三届天津国际乳腺癌会议暨2020美国临床肿瘤学会(ASCO)海外会场在天津顺利召开。大会执行主席、天津乳腺癌防治研究中心常务副主...
晚期肝细胞癌(HCC)的治疗手段有限,部分患者由于身体情况以及肝硬化程度等因素而不适合进行手术。对于这部分高危患者,能否采取免疫联合治疗改善预后?本期将分享一例经...
关于什么是肺癌的靶向治疗,首先要从肺癌的发生说起。肺癌的发生发展肺癌是由正常的肺或者支气管组织恶变而来。人体内有两种和癌症相关的基因——原...
非小细胞肺癌(NSCLC)占肺癌的80~85%,超过一半的患者确诊时已为晚期。40%的亚洲患者存在表皮生长因子受体(EGFR)基因突变,90%的突变为EGFR 1...
肺癌是我国最常见的恶性肿瘤,10%~15%的非小细胞肺癌(NSCLC)患者在初诊时已发生脑转移,在整个疾病病程中约50%的患者会发生脑转移。靶向药物以及免疫疗法的...
2019年12月,美国国家综合癌症网络(NCCN)发布了非小细胞肺癌(NSCLC)指南2020年第2版,相对于2019版,新版指南系统性治疗方面又有哪些变化呢?让...