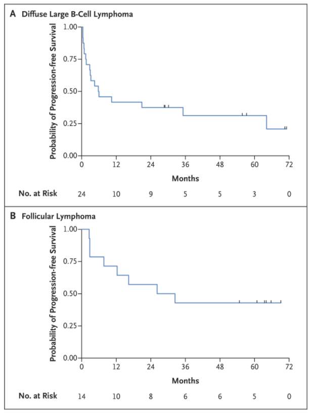
免疫治疗新时代,靶向肿瘤新生抗原T细胞治疗火线全开
几年前,一个年轻人因细胞治疗而延误病情,一时间使细胞治疗的口碑降至谷底。由于人体免疫细胞的抗肿瘤活性因为各种因素处于相对抑制的状态,因此单纯将免疫细胞扩增回输的治...
几年前,一个年轻人因细胞治疗而延误病情,一时间使细胞治疗的口碑降至谷底。由于人体免疫细胞的抗肿瘤活性因为各种因素处于相对抑制的状态,因此单纯将免疫细胞扩增回输的治...
2021年美国癌症研究协会(AACR)年会分别于2021年4月10-15日、5月17-21日在线举行。本次年会涵盖了肿瘤领域最前沿的研究成果。在临床研究全体会议专...
随着医学的发展,乳腺癌的治疗从手术、化疗、放疗再到靶向治疗、免疫治疗,治疗手段日益更新。近年来,抗体药物偶联物(ADC)的出现更是为乳腺癌的治疗新增一个治疗选择。...
2018年11月26日,整个医疗界和癌友圈都为一款FDA新批准上市的抗癌药物沸腾,这就是全球首个不区分肿瘤来源用于初始治疗的靶向药--Vitrakvi ®(拉罗替...
3月27日,第七届苏州淋巴瘤高峰论坛以线上、线下会结合的形式如期召开,来自中山大学肿瘤防治中心的黄慧强教授做了《NK/T淋巴瘤免疫治疗进展》主题报告,对NK/T淋...
甲状腺癌跻升女性恶性肿瘤第3位过去几十年,甲状腺癌的发病率在全世界范围内迅速上升。据国家癌症中心统计数据显示,甲状腺癌跻升至女性恶性肿瘤的第3位,且发病出现年轻化...
在用于纯化生物药物产品的各种下游纯化处理单元操作中,层析法能够提供产品与其他密切相关的产品变体和杂质之间较高的分离度。这种特异性与需要高纯度标准的生物药物的生产与...
要点一览1.Blood:使用微小残留病作为指导来固定持续时间治疗初诊慢性淋巴细胞白血病,或将带来患者更高生存率。 2.JCO:依据儿童霍奇金淋巴瘤的风险分层进行治...
冬天终将会过去,春天也从不缺失。经历重重风雨,特殊的“2020年”已成过去。在这一年中,突如其来的"新冠"疫情打乱了人们生活与工作的节奏,而医学界奋斗的脚步却不曾...
要点一览1.Blood:Obinutuzumab、伊布替尼和维奈克拉三药联合方案在套细胞淋巴瘤中具有优异的疗效。 2.Blood:低剂量泊马度胺是激素难治性慢性移...
今天,小编要跟大家分享的一种免疫疗法,竟然在实体瘤的治疗上表现出优秀的临床结果,这就是:肿瘤浸润淋巴细胞(TILs)疗法。因为它,更多癌症患者有了治愈的希望。TI...
每年,全球因恶性肿瘤死亡人数高达九千万人。CAR-T细胞疗法是目前国际最前沿的肿瘤治疗方法,即从人体血液中提取T细胞,应用基因工程技术将其变身为能识别并消灭肿瘤的...
您好,癌症疫苗,了解一下?疫苗的发明在人类发展史上具有里程碑意义。通过疫苗的接种,曾经让人类束手无策的天花、脊髓灰质炎被全面扼杀,破伤风、麻疹等传染病也得到了有效...
自2006年第一个 CAR-T开展临床试验以来,目前全球已获批4款CAR-T疗法,多种CAR-T产品也正处于“你争我抢”的临床试验和报批阶段。当地时间2月18日,...
世界范围内,每年新发子宫颈癌病例大约为570 000例,死亡约为311 000例;在中国,子宫颈癌的发病率和死亡率分别排到女性恶性肿瘤的第6位和第8位。随着子宫颈...
俗话说流氓会武术,谁也挡不住。癌细胞这个流氓,利用克隆繁殖速度快的特点,在我们身体里抢占地盘,争夺营养。但幸好,克隆繁殖虽然速度快,却缺乏多样性,这使得我们可以通...
2018年11月26日,整个医疗界和癌友圈都为一款FDA新批准上市的抗癌药物沸腾,这就是全球首个不区分肿瘤来源用于初始治疗的靶向药--Vitrakvi ®(拉罗替...
嵌合抗原受体T细胞疗法(CAR-T)其实大家并不陌生,不仅历经25年的发展,自2017年也已被批准进入临床使用,且适应证越来越广泛。此技术在淋巴瘤治疗中处于2.5...
胰腺导管腺癌(PDAC)是一种侵袭性疾病,预后不佳。早期PDAC可能通过手术切除,而已经扩散到胰腺外部的PDAC一般被认为失去手术机会。不幸的是,80%到90%的...
强生(JNJ)近日宣布宣布,旗下杨森-Cilag国际公司已向欧洲药品管理局(EMA)提交了一份有条件营销授权申请(MAA),寻求批准其单剂量Jassen COVI...
作为终结全球COVID-19大流行努力的一部分,世界上首个mRNA疫苗以前所未有的速度被生产了出来,目前已经开始推广,第二种疫苗也紧随其后。目前,欧美快速批准的两...
2017年法国科学家在《新英格兰医学杂志》上报告他们利用基因疗法成功治愈了一位患有镰状细胞贫血症的15岁男孩,目前男孩体内的镰状红细胞数量大大减少了,且他的体内有...
2020年12月NCCN指南对慢性淋巴细胞白血病/小淋巴细胞淋巴瘤(CLL/SLL)进行了更新,最新版本为2021.v2较前期版本相比较,有如下更新点。更新点1:...
胰腺癌是常见的消化道恶性肿瘤,目前针对胰腺癌的治疗是以手术为主的MDT综合管理模式。近年来,化疗已成为越来越重要的治疗手段,然而化疗耐药却成为临床需解决的难题之一...
胃肠道肿瘤领域世界顶级学术盛会——2021美国临床肿瘤学会胃肠道肿瘤研讨会(ASCO-GI)虚拟会议于当地时间1月15~17日如期举行,期间多项重磅消化道肿瘤研究...
非透明细胞癌约占所有肾细胞癌类型的15-20%,治疗方面以外科治疗为主,一旦出现复发或远处转移,治疗难度大,目前尚缺乏标准治疗。相比较于透明细胞癌,非透明细胞癌不...
随着近年来肿瘤分子靶向治疗的兴起,患者的疗效也得到了显著的改善。随之而来的如何确定恶性肿瘤的病理分类、分型甚至基因检测是否有突变成为疾病诊疗过程中的首要问题,其诊...
随着肿瘤诊疗理念的不断升级,多学科诊疗模式(MDT)已经成为肿瘤治疗的主流模式;技术创新飞速发展,不断带动肿瘤外科的巨大进步,肿瘤外科在肿瘤预防、筛查、诊断、早期...
初诊或复发时伴中枢神经系统(CNS)受累的弥漫大B细胞淋巴瘤(DLBCL)患者比例低,但预后差、生存期短。针对继发性CNS的DLBCL患者的治疗,缺乏大样本的前瞻...
上尿路尿路上皮癌(UTUC)约占尿路上皮癌(UC)的5%-10%,但60%的UTUC初诊时即为侵袭性,相较而言,来源于下尿路的膀胱尿路上皮癌(UBC)的初诊时侵袭...