18年前他“死”过一次,现在他还剩一个唯一的心愿
脚下有泥土,心中有希望,榆梦同行别让这个死过一次的男人再次濒临死亡的深渊…… 那年,命运给他带来了怎样的打击,让...
脚下有泥土,心中有希望,榆梦同行别让这个死过一次的男人再次濒临死亡的深渊…… 那年,命运给他带来了怎样的打击,让...
“妈妈,我能下水游泳吗?” 杨羡琳回答儿子说:”宝贝,你手上有PICC置管,不能碰到水。” &...
“病情不容乐观,生存期快了一年,最多也就两年。”尽管手术非常成功,但主治医生还是说出了最坏的结果。这一句话,多年来也一直让张苗(化名)老师...
亲爱的读者朋友们: 为更好地提高患者对癌症的科学认识、提升肿瘤医师患教工作的理念和技能,中国临床肿瘤学会患者教育专家委员会与中国医学论坛报联合携手,特别...
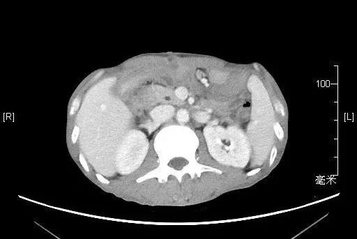
患者,金XX,男,65岁。于2017-11-30 CT发现:膀胱占位伴后下纵隔、腹膜后及左侧髂血管旁多发淋巴结转移,侵犯左输尿管入口伴左肾、左侧输尿管轻度积水。因...
昨天晚上,刷到初中同学发了这样一条朋友圈,有点震惊。 跟她私聊后,栗子了解了整个事情的来龙去脉,有很多想说,经过她同意决定跟大家分享。 事情是...
“辽宁人,65,旅游途中摔倒受伤,申请医疗险理赔” 2019年4月22日,小马理赔协助理赔专家李革革像往常一样翻阅报案信息时,敏...
虽然时代在前进,但重男轻女的观念还是有的。我朋友38岁了,有个女儿。 家里面一直都希望她再生个儿子。前几年身体不好,所以家里没什么声音。最近身体情况慢慢转好了,家...
内科诊治癌性肠梗阻 病例分享吴 丹 主治医师 肿瘤营养与代谢治疗科 中国科学技术大学附属第一医院患者王×,男,42岁。胃癌术后14月余,发现腹腔转移6月余,合...
胃癌多线化疗 病例分享尉浩斌 主治医师 潘 丽 医师 肿瘤营养与代谢治疗科 中国科学技术大学附属第一医院患者郑**,女,55岁。患者因胃癌晚期外院于2016-...
胡大爷:“年龄大了,总感觉腰酸背痛的。” 王大爷:“唉!别提了,我前两年就开始肩颈腰腿痛了,听别人推荐,试了几个偏方,都不管用,倒觉得似乎越来越严重了!” 市三院...
去年12月的一天,天气格外寒冷。下午6点半,还在开会的我被手机上的一条微信给震住了:“护士长好!2床患者有不想活的念头,我已经安慰病人半小时了,始终改变不了他这种...
如果人生能再重来一次,你会选择什么样的人生?我不想再出生一次。我觉得人生很充实了。 ——树木希林 戏内,她是枝裕和所导...
人们都希望健康长寿,但随着年龄的增加,认知障碍发病率也随之增加。统计发现:60岁人群的发病率约为4%,70岁发病率约为8%,85岁约为30%,95岁超过50%。 ...
为了进一步提升医院服务质量,更好的促进医患沟通,了解病人需求,更好的为患者服务,我院于8月11日下午召开公休座谈会,副院长赵俊静、张丽、护理部主任李楠、各病区护士...
9岁的马女士来自农村,上有年迈的父亲,下有两个未成年的孩子。2018年4月的一天,马女士自觉左侧乳房刺痛感,后来乳房出现结节并逐渐增大,伴随皮肤表面颜色改变,但此...
2011年,iPhone手机在年轻人心中,还是身份的象征。 那时候,一个iPhone4,差不多要花一个普通上班族一个月的工资。 当年,最有名的...
宁愿倒在赛道上,也不愿死在病床上。4年前,53岁的贺明被确诊为肺癌晚期,医生说他还有3个月的生存期。倔强的贺明选择用跑100场马拉松向病魔宣战,直至今年6月去世,...
李宗伟作为曾经长期霸占世界排名第一的羽毛球运动员,2018年被查出罹患鼻癌,经过长期的治疗终于迎来了好消息。那就是李宗伟的癌细胞被全部清除,对于广大球迷来说,这...
今天这个故事,是由觅友图样图森破分享的,他与妈妈一起与癌抗争19年的故事。2020年初,在我的劝说下妈妈转到了妇瘤专科来治疗,科主任在电脑上认真的捋了一遍妈妈的病...
昨天下午,市里医保局的工作人员到我们医院的病房做突击检查,主要是为了了解有没有挂床骗保的情况。当时我们科里好几个患者请假回家了,不在床位。我们挨个打了电话,他们才...
今天这个故事,是由觅友快乐天堂分享的,她在抗癌的路上,治疗与重新发现爱的故事。我常常在想生命是怎么开始又是怎么结束的,怎么也想不清楚。2019年7月22日在福建游...
“我的名字是Rahul Kapoor(拉胡尔·卡普尔),我出生时患有地中海贫血,这是一种血液病,每隔几周就需要输血,为了维持健康和活力。当我输血时,整个过程需要七...
7岁的娜娜(化名)目前正住在香港玛丽医院层流病房里,身上流着的妹妹的脐血正在帮她“重建”造血系统,治疗她的重型β地中海贫血。娜娜是5月9日成功接受脐血移植手术的。...
Aaron Cheng(亚伦)说:“我不记得我什么时候被诊断为重型β地中海贫血(也称为库利氏贫血症),但是我的父母告诉我,我大概一岁。“只要我记得,我一直在接受治...