服用抗癌药期间,千万别碰这些水果
中秋国庆刚结束,市面上的各种水果早已经迫不及待地上线了,葡萄、柚子、橙子、柿子......光是想一想就垂涎三尺了。然而,正在服用抗癌药治疗的患者可就疑惑了,是否有...
中秋国庆刚结束,市面上的各种水果早已经迫不及待地上线了,葡萄、柚子、橙子、柿子......光是想一想就垂涎三尺了。然而,正在服用抗癌药治疗的患者可就疑惑了,是否有...
原告赵霞,女,汉族,初中文化,个体工商户,住河南省郸城县东风乡李岗行政村。被告中国大地财产保险股份有限公司周口中心支公司。负责人石军峰,该公司总经理。委托代理人刘...
2006年,57岁的远方(化名)发现了乳腺癌,抗癌至今整整14年。乳腺癌,曾经就像一个不能说的秘密埋在心中,而现在她的内心越发坚定,面对生活越发从容。一名儿科医生...
才感盛夏,忽而已秋。以往关于夏天的回忆总是充满着美好,充满着希望。可自从被确诊为乳腺癌之后,自觉每一天都过的黑暗无光。我从来没有想过,25岁的我会患上乳腺癌。20...
结直肠癌是我国最为常见的恶性肿瘤之一,手术治疗是其最为重要的方法之一。医脉通肿瘤科邀请中山大学肿瘤防治中心陈功教授团队创立专栏——肠话短说...
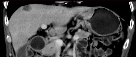
张某某,女,59,“卵巢癌减瘤术后3年余,复发1年余”2019-7-24就诊我科。 2016-9-26日,患者因"发现...
这个世界最不会说谎的就是男人的发际线。 这次见面,老黄的发际线跟半年前比又有了肉眼可见的飞速提升,酒后红彤的肤色在头顶灯光下折射,用不着细看,就能瞅见缕...
摘要 “盲人触觉绘画”融合教育项目,通过把盲人“看不见”的弱势转化为“看‘不见’”的超能力,从而不仅令盲人能够创作绘画,还能使明眼人从盲人绘画中受到启发与艺术滋养...
《我的白大褂》是由深圳广播电影电视集团和深圳市卫生健康委员会共同出品的,全国首档医生观察纪实节目,豆瓣评分高居8.5分。4月17日晚播出的《我的白大褂》第四集,就...
突发瘫痪为哪般?骨科团队急诊手术极限挑战 少女小李(化名)家住广东廉江,12岁的她正处于花一般的年纪,今年受疫情影响始终在家线上学习。6月的一个傍晚,小李在运动后...
近期,武汉客户Z女士到神农架旅游,不慎被人撞倒后受了重伤,第一时间向中信保诚人寿申请紧急救援服务后,第二天就被顺利送回武汉就诊。感动之余,Z女士通过微信表达了对公...
近日,广州复大肿瘤医院海珠院区成功为一位62岁的男性患者实施腮腺肿瘤切除术。初见何叔的时候,若不是脸上的纱布,是看不出谈吐风趣的他刚动完手术。两年前他无意中发现左...
一位刚结婚的27岁小伙,因为肚子痛到急诊科求助,最后确诊为结肠癌。刚得知消息时,妻子犹如晴天霹雳,而小伙第一反应则是:要多少钱......是不是有医保能够减轻负担...
高考成绩放榜之后,大家陆陆续续开始关注咨询填报志愿的问题。今年受疫情影响,相信准大学生们也会增大对报考医学类专业的关注度。都说“劝人学医,天打雷劈”,你对医学专业...
被告人马某某,男,汉族,专科文化,某居民身份证号码XXXXXXXXXXXXXXXXXX,现住榆林市,被告人2018年11月26日因涉嫌贪污被榆林市监察委员会立案调...
日前,中国银保监会召开偿付能力监管委员会工作会议,银保监会副主席周亮主持会议。会议分析了2020年第二季度保险业偿付能力、总体风险等情况,审议了保险公司风险综合评...
近期,水滴筹、轻松筹、360大病筹、爱心筹签署个人大病求助互联网服务平台自律公约2.0,并向所有平台发出自律倡议。北京师范大学中国公益研究院院长王振耀在接受中国教...
患者 李某某,男,65岁。2019-08外院胃镜提示:贲门巨大溃疡性病变。08-29我院病理会诊(H191689):贲门中分化腺癌。免疫组化:HER2(...
有时候,我们的眼睛会欺骗我们,就比如:你看下面这张图是静止的吗?这种视错觉现象已经让神经科学家们关注了几十年,实际上,这些错觉信息存在的时间比我们想象的要长多了。...
癌症患者的长期生存近十几年来,中国恶性肿瘤的发病死亡均呈持续上升态势。国家癌症中心2019年1月发布的《2015年中国恶性肿瘤流行情况分析》显示,2015年全国恶...
2020年8月13日,在浙江敦和慈善基金会的支持下,公益慈善学园联合方德瑞信共同举办“募捐的规范维度:伦理、法理与治理”研讨会。与会专家从法学、伦理学、公共管理学...
项目介绍 IBI939 是信达生物制药(苏州)有限公司研发的重组全人源抗含免疫球蛋白基序和免疫受体酪氨酸抑制基序结构域的T 细胞免疫受体(TIGIT)单克隆抗体注...
7月29日武汉协和医院护士坠楼死亡,消息令人震惊,由于悲剧主人公在生前与护理部主任之间出现矛盾,很容易使人将两者产生联系。客观地讲,在时间顺序上前后发生的两件事未...
“他们要是有了孩子怎么办?”几年前,43岁的李怿喜欢上33岁的辉仔。 “我就是崇祯皇帝的女儿,他是驸马。” 图片来源:新京报我们视频 李怿和辉仔都是心智障碍人士...
100元成功捐赠给一家抗疫社会组织后,梁同学莫名的兴奋,觉得这是自己在疫情期间做出的一个最正确的选择。这位来自中央民族大学2017级电子信息工程专业的学生在完成自...
2岁的小继弘现在已经会说一些简单的句子来表达自己的感受了,但小孩子天性使然,主要还是问爸爸妈妈讨要零食和玩具。当然,这是在他没检查出白血病之前。然而自从小继弘确诊...
小时候,我就经常想象着一家人出去旅游的场景: 等我毕业后,父母闲下来,我们就在某个天气晴朗的周末,去爬山、去骑行、去放风筝、去钓鱼,去享受一切普通家庭应...
你准备好了吗?每个初入职场的年轻人不尽相同,他们来自于各行各业,也有着截然不同的经历,但大部分年轻人都有一些共同特点:独生子女、家境普通、工作压力大以及抗风险能力...
今天,一则视频在网上广为遗传,更是以“31岁小伙因吃隔夜菜失明瘫痪”上热度榜单。很多网友看完后唏嘘,评论也各不相同:“健康太重...
一部电视剧《三十而已》火了。女主顾佳作为一名全职妈妈,双商和颜值在线。她将丈夫的公司和孩子的生活打理得井井有条,唯独在孩子的教育上操碎了心。顾佳为把儿子许子言送进...