八旬老太9成气管被堵 省肿瘤医院专家微创切除巨大气道内肿瘤
刘大娘今年84,30多年来,她有咳嗽的老毛病,最近一个多月出现了呼吸困难,到医院一检查,发现气管里长了一个巨大肿瘤,气管被堵了9成。日前,河南省肿瘤医院内科副主任...
刘大娘今年84,30多年来,她有咳嗽的老毛病,最近一个多月出现了呼吸困难,到医院一检查,发现气管里长了一个巨大肿瘤,气管被堵了9成。日前,河南省肿瘤医院内科副主任...
当华美的叶片落尽,生命的脉络才历历可见。——聂鲁达 小文1年前,认识小文的时候她刚确诊乳腺癌,正是花一样的年纪,对爱情、婚姻都还...
每个人一生中都会生病,究其原因时总会用“人吃五谷杂粮,哪有不生病的”这句老话来安慰自己。其实,很多疾病都跟饮食无关,而跟它有关。1心理因素,百病生于气,医病先医心...
我们的自我形象和个性是如何受到身体影响的?如果有一天我们的意识突然在好友的身体里醒来,那会是一种什么体验?我们的个性会改变吗? 灵魂拷问三连,线索马上揭晓。近日,...
利维坦按:如果用买菜来类比作者在文章中所表达的观点:我们对于什么样的蔬菜新鲜、健康,有着大致趋同的标准,就像是我们对于“怎样才是个理想伴侣”有着重合度很高的答案—...
在医院,金钱和生命的抉择每天都在上演。“穷”是我们面对病魔最可怜的姿态。 某天晚上,急诊科送来了一个得了主动脉夹层的男人。这病死亡率高达63%,想活命,只有马上做...
每一个孩子都是上天赐予的礼物,在家长的眼中孩子就像捧在手中的水晶球,每个家长都特别小心,不管是一场疾病、还是一个意外,对一个家庭都是毁灭性的打击。 小林...
2015年中国癌症统计数据显示,我国每年新发卵巢癌5.21万例,平均每天新增143位患者。目前我国每年新检出携带BRCA基因突变的新发卵巢癌患者约2,000人,从...
民生节目《小莉来帮忙》曾做过这样一期报道:崔女士年初就感到身体不适,和家人商量之后,去医院就诊。可偏偏出了诊断,马上要做手术的时候,老公竟然跑了。医生说:“她爱人...
血化验提示高钾,报告危急值 22 岁女性患者,因「感染、发热」在我院住院,诊断为「败血症」。 实验室检查:该患者血钾 6.93 mmol/L,...
2011年,iPhone手机在年轻人心中,还是身份的象征。 那时候,一个iPhone4,差不多要花一个普通上班族一个月的工资。 当年,最有名的...
“没有什么比健康更快乐的了,虽然他们在生病之前,并不觉得那是最大的快乐。”这是不少年轻人的生存现状。忙忙碌碌中,养生类的文章越看越多,熬夜放纵,几乎从不落下;病痛...
导 语世界卫生组织(WHO)在最新的报告《World HealthReport》中,从“医疗水平”,“接受医疗服务的难度&rd...
——若有一天你不幸患上罕见癌症,成为那百万分之一。你,还会相信奇迹吗? ——“会。” 他和她握紧彼此的手,坚定地说。家住成都的赵先生,在去年投保了微医保&mid...
01引子 65岁的张大娘来自大兴安岭林区。说话快言快语的她,向医生诉说着自己的遭遇。原来,去年冬天以来,她的手指关节莫名其妙地出现青紫,并伴...
原发性骨髓纤维化(Primary Myelofibrosis, PMF)是 BCR-ABL 融合基因阴性的、慢性、进展性恶性血液疾病。随着骨髓纤维化克隆造血加重,...
2020年8月26日,我院胰腺肿瘤MDT团队(胰腺外科、肿瘤内科、肝肿瘤外科、放疗科、介入科、病理科、内镜中心、医学影像科、核医学科、超声科等学科共同参与)利用午...
9月1日,开学第一天,本该在上幼儿园的5岁女孩妍妍(化名)却躺在重症监护室(ICU)里,出现在哈尔滨市公安局道里分局的警情通报里:2020年8月29日晚,我局接报...
据王女士介绍,之所以加入是因为平台帮助别人的同时对自己也有个保障,每个月平台扣款也就30块钱左右,费用透明看得到,很相信平台。 然而加入平台483天后不...
安罗替尼的上市填补了肺癌三线治疗的空白,延长了众多晚期肺癌患者的生命。福可维坚守“以循证指导临床实践的原则“,积极开展了针对肺癌治疗各个阶...
替雷利珠单抗是目前唯一一个对Fc段进行了特殊基因工程改造的PD-1单抗,也是目前全球第二个、国内第一个全面获得一线鳞状及非鳞状非小细胞肺癌(NSCLC)III期注...
我国淋巴瘤发病率呈逐年增高趋势,每年新发病例约10万。淋巴瘤的临床分型复杂,不同亚型预后情况不同,治疗手段也有所差异。但随着人们对疾病的深入认识及新药物和新治疗方...
肿瘤免疫治疗的特点在于激发特异性免疫反应,增强机体对肿瘤的免疫排斥能力,抑制和杀伤肿瘤细胞,从而降低肿瘤复发和转移能力。近年来,免疫治疗在肝癌领域不断取得进展,晚...
近日,92岁高龄的付爷爷因肝内外胆管再多发结石于我院肝胆外科接受了剖腹探查超声定位下胆总管切开肝内外胆道镜下探查取石术,术后第2天便能下床行走自如,这成为我院肝胆...
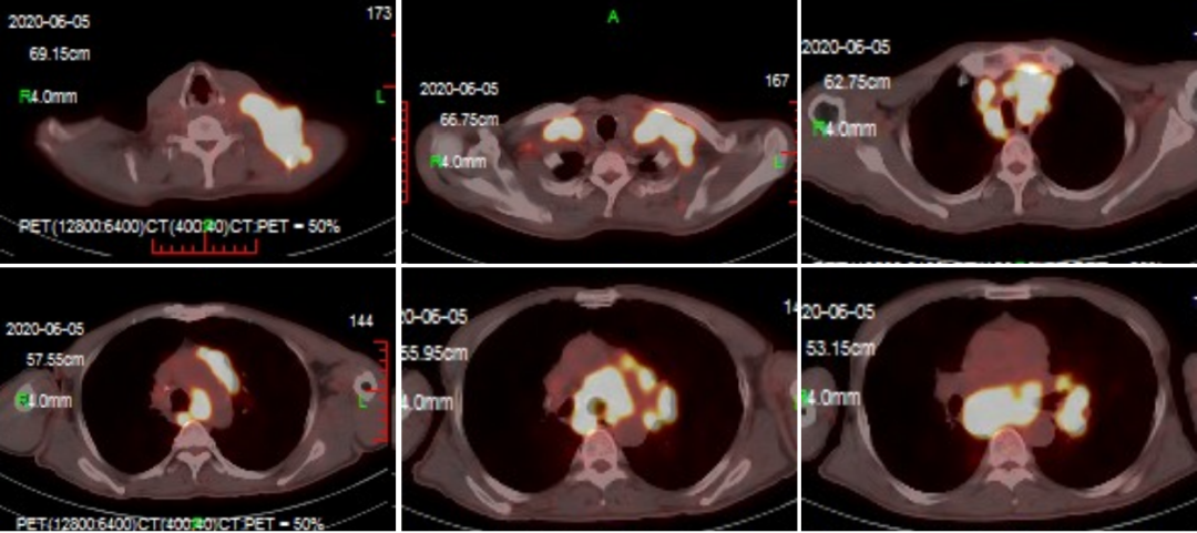
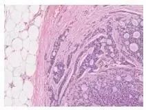
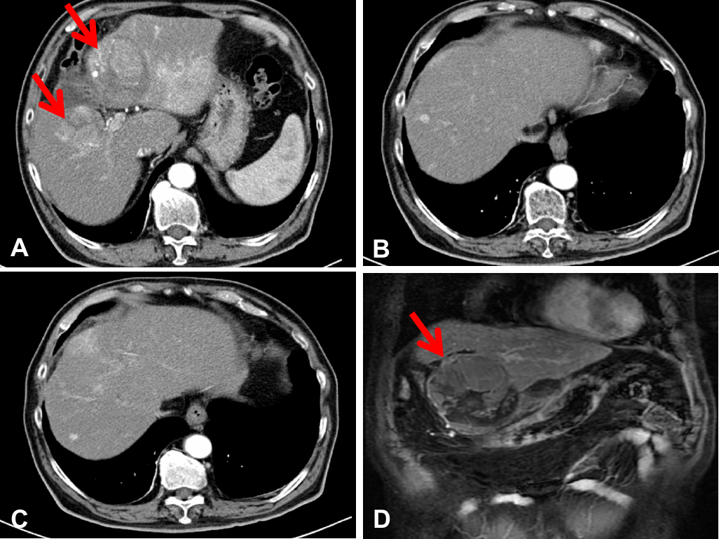
病例简介患者女性,46,因体检发现肝占位1周,于2019年2月就诊于浙江大学医学院附属第二医院。7年前因左乳腺肿物于外院行左乳腺癌改良根治术,术后未行放化疗。&n...
2013年,菲特台风过境,浙江省奉化市多处小区积水,奉化市大成路居敬小区严重积水,小区房屋在深达四五十厘米的水中浸泡了很长时间。 2013年年底,奉化市...
鹿城区府旁一间仅8.4平米的房子上架淘宝法拍,起拍价高达510000元,而评估价更是高达720000元。从现场图可以看到,这是一间标准的老破小。破败的铁门、老旧的...
原告:王某某,男,汉族,住长春市朝阳区。原告:张某某,女,汉族,住长春市朝阳区。委托诉讼代理人:宋士泉,吉林吉鹰律师事务所律师。委托诉讼代理人:杨东梅,女,汉族,...
今天,2020中国肿瘤学大会(CCO)新闻发布会在广州进行。中国抗癌协会理事长樊代明院士,秘书长王瑛教授,广东省卫健委段宇飞主任,广东省科协郑庆顺书记,中山大学常...
病例介绍病史及初诊情况患者男,现年57岁。 主诉:间断便血1年、便频伴里急后重1个月,排便困难1周。 现病史:因“间断便暗红色黏液血便1年,便频伴里急后重1月,排...