芒果能减少皱纹?一项随机临床试验:少量可以,但吃多了会增加皱纹
对于女人来讲,永葆青春是终极梦想。因此,任何一种可能延缓衰老的方法女人们都愿意积极尝试。现在,又多了一种,不过一定要仔细看。近日,发表在《Nutrients》上的...
对于女人来讲,永葆青春是终极梦想。因此,任何一种可能延缓衰老的方法女人们都愿意积极尝试。现在,又多了一种,不过一定要仔细看。近日,发表在《Nutrients》上的...
美国统计局出具一份美国家庭收入与花费习惯的调查,呈现一些有趣的发现。《华尔街日报》报导,这份调查的支出项目分成住房、交通、养老金与保险、食物四大类,其中富人在四大...
母亲今年50,数月前确诊了多发性骨髓瘤,刚开始发现的时候颈椎下8公分占位胸腔,导致胸腔疼痛,当时,医生初步判断疑似多发性神经瘤。因为颈部神经被压迫,出现了疼痛,吃...
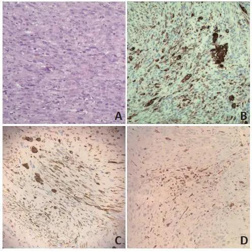
病例介绍 患者初诊信息: 蔡XX,男性,74岁。2018年5月因腹胀就诊于南昌大学第一附属医院。 MRI(2018.06.05)示:...
五年前,一位29岁未婚未育的女孩突然发现自己胸部不适,到当地医院检查后,医生明确地告诉她:“你患的就是乳腺癌,需要马上处理。” ...
每个季节都有它独到的美,79岁的苏景亮用一张张照片定格住他眼中的世界。湖边、山间,看着扛着相机拍得乐此不疲的他,谁能想到,这曾是一名脸色蜡黄、体重只有50公斤的肺...
福州3岁男童两年先后确诊两种癌症,2018年确诊神经母细胞瘤,一年后又确诊白血病,家里为了给孩子治病目前已花费300万,欠债约130万。 “...
入秋以后,天气复杂多变,对于我们成年人还好,小孩子抵抗力弱,感冒发烧是常有的事。再加上儿童的咽喉、气管和支气管都比较细小,秋冬季是婴幼儿支气管炎的高发期。&nbs...
生活就像一颗巧克力,你永远不知道下一颗是苦是甜,只有真正品尝过人生的人方知其中滋味。 突然被宣告死刑的肠癌晚期病人 七月,正值安徽的盛夏,深浅...
无论是去健身房,还是在家做撸铁等抗阻力训练,通常我们都只着重训练右臂(左撇子训练左臂),没能让另一只手臂得到同样的酸爽待遇。而当我们的主要手臂受伤时,似乎也只能静...
民政部公布的数据显示,截至2020年6月30日,全国注册志愿者超过1.72亿人,发布志愿服务项目超过390万个,记录志愿服务时间超过21.9亿小时。中国青年报社社...
"只有全程管理策略的贯彻,才能够让患者的生存得到保证,生活质量得到保证,让病人的利益最大化。”——肿瘤内科专家李进众所周知,宋美龄、江姐、王光美这几位乳腺癌患者的...
这是小章住院的第三个月,结束了一天的治疗后,小章坐在病床上安静的望着窗外的夜景,这是小章一天中最放松的时刻。 大约半年前,小章因为一次单位组织的体检中,...
病问医答:《多发性骨髓瘤病人很虚弱怎么办?》 病问: 您好,多发性骨髓瘤今年65,现在病人身体很虚弱不知道如何改善?目前胃不舒服,胃口不好,脸...
今年行走,我没有写常规的每日反馈,被小小地“催”了下作业。不做作业的理由可以有很多条,从不想写,到没空写,再到吃准樊老师不会追讨作业(溜了...
一直以来,神经外科都是公认的外科学中位于金字塔尖的分支学科,神经系统在人体中的重要性决定了神经外科在外科中的地位。在神经外科众多的亚专业中,小儿神经外科是一个特殊...
之前狗狗写过酸奶的购买攻略,事后就有好多小伙伴追着问那牛奶应该怎么选呢?看看这纯牛奶、鲜牛奶、还有复原乳,感觉好复杂呀!复原乳是什么鬼?和纯牛奶、鲜牛奶又有什么差...
说我们生活在史无前例的时代,似乎既夸张又轻描淡写。事态发展迅猛,但时间似乎停滞不前。因此,我们发现自己处于许多矛盾与现实的交汇处。COVID-19流行病动摇了我们...
“护士长,我PICC管子的手臂皮肤有点痒,你能帮我消毒一下吗?我住过总院的,质子中心这里的护士我都不认识,我怕她们弄得不好。” 张女士左手...
人们常说,世事无常。曾经的我,对于这四个字,从未有很深的体会。 1 身份转变,沉浸幸福时光 14年6月份,我结束了自...
据美联社报道 在这灾难不断的一年里,参加本周联合国年度会议的一些世界领导人警告说:“如果新冠病毒没有杀死我们,气候变化也会把我们杀死。”今年,西伯利亚出现了有记录...
不睡觉会死,但失眠睡不着也会让人愁死。失眠的原因有很多种,治疗失眠的方法也很多,如果你还在寻寻觅觅,那么这个“无药”治疗睡眠的方法也许适合...
原告:广东美格尔电器科技实业有限公司,住所地佛山市顺德区北滘镇工业园兴业路8号之一。 法定代表人:张卓文。 委托诉讼代理人:晏俊星,广东荆紫律...
谁都希望远离灾病、永远健健康康,因而养生的话题和需求从不会过时。但是和酒有假酒、药有假药一样,一套一套的养生说辞其实也雾里看花,真假难辨。 那些年我们一...
有句话说得好:“所谓的好日子,不过吃好睡好,所爱之人全部安好。” 经历世事百态,深知这句话的深刻内涵。 一个人想要的越...
生活就是要把你折腾的死去活来,你要做的就是咬牙坚持下去。 01·一颗要命的“黑痣” 秋日的暖...
近50年来,肺癌发病率占据全世界恶性肿瘤第一位。在我国,肺癌发病率位居我国男性第一位、女性第二位。其中肺鱗状细胞癌(又称肺鱗癌),约占所有肺癌的30%~35%。绝...
儿童大鱼际恶性蝾螈瘤1例黄闪 孙红启 李慧霞 王利娟 马丽娜 ( 郑州大学附属儿童医院)01 病例简介患儿, 男, 1岁2个月。2015年1月患儿无明显诱因...
上诉人(原审被告、反诉原告):新疆赛风居民服务有限责任公司,住所地新疆维吾尔自治区库尔勒市房。法定代表人:刘洋,该公司经理。委托诉讼代理人:张尉,新疆同袍律师事务...
对于大多数人而言,现在能做出的最大贡献就是限制自身的行动。不要动,待在家里,保持距离。可是,即便是待在家里也需要新的思维方式。而且,很多人已经开始确定我们能够以更...