肿瘤抑郁症患者心理护理1例
肿瘤抑郁症患者心理护理1例陈桂霞 护师肿瘤营养与代谢治疗科中国科技大学附属第一医院西区 背景知识:肿瘤患者发生焦虑和抑郁概率是正常...
肿瘤抑郁症患者心理护理1例陈桂霞 护师肿瘤营养与代谢治疗科中国科技大学附属第一医院西区 背景知识:肿瘤患者发生焦虑和抑郁概率是正常...
“没有什么比健康更快乐的了,虽然他们在生病之前,并不觉得那是最大的快乐。”这是不少年轻人的生存现状。忙忙碌碌中,养生类的文章越看越多,熬夜放纵,几乎从不落下;病痛...
昼夜节律,即我们常说的生物钟,已得到科学家的广泛研究。昼夜节律赋予了人类行为和生理学的时间模式,使身体内在与外在环境的预期变化保持一致。被扰乱的昼夜节律会对健康产...
-编者按-十九大报告指出,新时代打造共建共治共享社会治理格局,要加强社区治理体系建设,推动社会治理重心向基层下移,发挥社会组织作用,实现政府治理与社会调节、居民自...
近日,家住鲖城镇的张某出现右下肢肿胀,为求进一步治疗,家人陪同张某来到泉河医院就诊。年仅40岁的张某,两年前病发脑出血,经过治疗后,右侧肢体活动不便。因肢体仍有障...
与癌症的斗争,是我们人类有史以来做过最伟大的一场战役。 从抗癌药物被发明的那一刻起,副作用就如同一把锋利的双刃剑,成了它的一个“标签&rdq...
医院的走廊,连接着生死两个世界。 文. 左手曦月右手清阳 要说与肿瘤抗争的故事,我身边是一抓一大把。因为我是一个根红苗正的癌三代。 ...
李大爷今年75,有”肝硬化“,“慢性支气管炎”、“糖尿病”等多种慢性病,因为身体不太好,他每年都定期体检。2017年体检时,发现肝脏S6段有一个直径约2㎝肿物,到...
曾有一个令人难过的消息在媒体圈“炸了”:一名年轻女记者突然离世! 这个就职于某媒体的姑娘,平时开朗活泼,眼睛特别单纯,喜欢种花,...
作为内镜科的一名小医生 ,给患者做过的结肠镜也有几千例了。今天轮到自己做检查,真的是百感交集。自从检查前两天就开始断续的喝泻药,害怕排不干净,影响观察。检查前一天...
美国时间9月13日,世界最权威排名机构之一 U.S. News & World Report 《美国新闻与世界报道》(以下简称U.S. News)官方最新发布了2...
现在很多人都知道我们摄入糖分过多的危害,但有一种我们日常经常吃的东西,比“糖”和“酒精”更可怕的健康致命物!然而我们不知不觉,很多人几乎天天会吃到!它就是——果葡...
提到重大疾病患者,你能想到什么?我会想到朋友圈里各种让人深感同情的事件描述,会想到媒体报道中出现的那些患者图片,会想起《我不是药神》里戴着口罩、面无血色的那群人。...
干咳不重视,检查却发现是鳞状细胞癌 56岁的金叔来自云南,一年前他便开始出现干咳,但他并没有重视,以为只是抽烟引起的普通咳嗽。在今年正月初,金叔参加免费...
中国有一句古话叫做一日夫妻百日恩,结婚后意味着对方就是没有血缘关系的最亲的亲人,是不管在任何时候最值得信赖和依赖的亲人。可是还有一句话叫做夫妻本是同林鸟,大难临头...
35岁的妮可·古拉特(Nicole Gularte)的抗癌经历可谓是历尽千帆、坎坷波折。在2019年5月,她在自己的博客发布了与白血病斗争的近况,在...
老朱又疼了,「死去活来」那种。人瘦脱了相,萎靡在病床上,像被疼痛摄去了魂魄。头发和上半身都被汗水打湿,枕套已经能拧出水来。儿子小朱在床边陪...
在不少人的印象中,癌症肿瘤这样的“疾病大魔王”,通常只会发生在成年人的身上。然而近期,湖南省肿瘤医院胸部内二科却收治了一名居住在永州的12...
导语9月9日,99公益日到来之际,第六十二期京师公益讲堂在京师大厦举行。国务院妇女儿童工作委员会办公室一级巡视员宋文珍以“新时代的儿童保护的现状与对策...
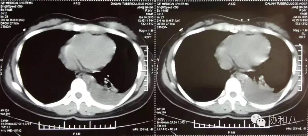
病例介绍患者女性,23 岁。主诉:胸痛、发热 9 月,肢端增粗 7 月,关节肿痛 2 月 。 1病史2014 年 12 月,出现左侧胸痛、胸闷;伴午后低...
第四届35under35活动已接近尾声,从报名到现在两个多月的时间,来自全国各地一百多位优秀青年医生大显身手,向着最终的目标进发。今天我们一起听听他们的参赛初心学...
上诉人中国人*化支公司因意外伤害保险合同纠纷一案,不服河北省遵化市人民法院(2013)遵民初字第3261号民事判决,向本院提起上诉,本院依法组成合议庭公开开庭审理...
有时候,生活因一纸癌症诊断书而失去了原有的色彩。可我们今天的主人公,55岁的贾阿姨受了8年肝癌和2年乳腺癌的“磨难”后,她的生活仍然光芒万...
上诉人(原审被告)浙商财产保险股份有限公司张家港支公司,住所地江苏省张家港市沙洲西路115号天霸商务楼C座1420室。负责人顾奇峰,该公司总经理。委托代理人方芳,...
“上帝用疾苦与我亲吻,我以微笑从容应对。”——小琦 从病房到名校:微笑女孩小琦的抗癌故事2020年的这个...
全国肿瘤登记中心的数据显示:2000年的时候,20岁到39的年轻人每10万人有大约40个肿瘤发病,2013年的指趾变成了70个,数据涨了80%,恶性肿瘤呈现出年轻...
这事情要从2014年春天开始讲起。 住在新安江边的钱阿姨,正在准备一家人的早餐,经常发作的头晕不凑巧地开始出现了,想着等会家人都要赶着去上班,她还是坚持...
年逾60的俞大爷2年前被确诊为左上肺癌,因为病例结果提示有基因突变,所以一直使用靶向药进行规律治疗,但效果一直不太理想,肺部病灶持续增大。期间还进行了数次化疗,令...
今年是我的本命年,35岁整!老人常说本命年有灾,需穿红色衣物挡灾保平安,我还是比较信的,于是我天天穿着红裤衩、红袜子,就希望能平平安安地度过这一年,然而不幸还是来...
妈妈与卵巢癌抗争,已有两年零八个月。 回顾妈妈的抗癌之路,有很多后悔的地方,很多地方我们没有做好。博士期间,我研究癌症机理,所以我对卵巢癌做了一些学习和...